[Ortho] Polytrauma

Djoldas Kuldjanov orthoforum на weborto.net
Вс Апр 22 20:44:11 YEKST 2018


/>Интрамедуллярный остеосинтез бедра PFN Long. Интрамедуллярный 
остеосинтез плеча лучше в одну операцию при стабильном общем состоянии/



Фиксировать одним интрамедулярным гвоздем несколько переломов неплохая 
идея, но это не всегда удается. Для репозиции перелома шейки с вывихом 
головки (кстати, часть головки до сих пор остается внутри суставной 
впадины), потребуется много времени. Здесь каждый перелом требует 
особого подхода: например, для сохранения сферичности головки 
потребуется обширный доступ, а для остальных переломов различные трюки, 
что затрудняет фиксацию одним имплантатом!


При подборе фиксатора необходимо ориентироваться на следующие моменты: 
максимальный бенефит при минимальной инвазивности, создание стабильности 
при многоуровневом переломе, и наличие опыта работы с имплантатом. А 
предложенный фиксатор (PFN Long) не отвечает требованиям, потому что 
фиксатор предназначен для чрез-под вертельных и для высоких переломов 
бедра. Сомнения по поводу толстого (11 мм) болта в головку, хотя более 
пожилым с агрессивными конструкциями в головку проблем не бывает, а для 
молодых без надобности большие конструкции не рекомендуются. Лучше менее 
агрессивные, например, тонкие параллельные или перекрестные винты в 
проксимальном отделе гвоздя.

При лечении ипислатеральных переломов шейки и бедра лучший 
биомеханический эффект обеспечивают независимые друг от друга 
имплантаты, например, винты или DHS, и отдельная фиксация диафиза бедра. 
Можно интрамедуллярную фиксацию, но тогда, закрывая диафиз, мы отрезаем 
возможности фиксировать перелома шейки и головки!

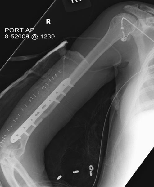
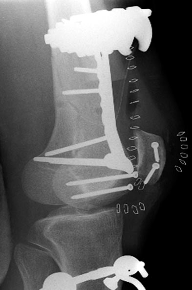
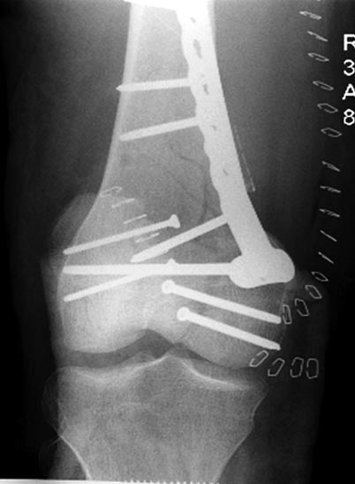
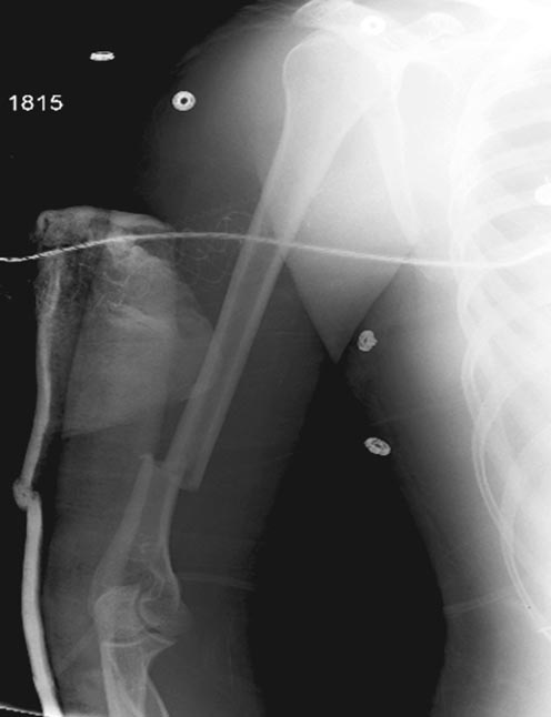
Раны в области коленного сустава и на плече до сих пор чистые, остаются 
открытыми. Отсутствует признаки инфекции, решили превратить недостаток в 
преимущество, т.е. фиксировать через открытые раны пластинами.

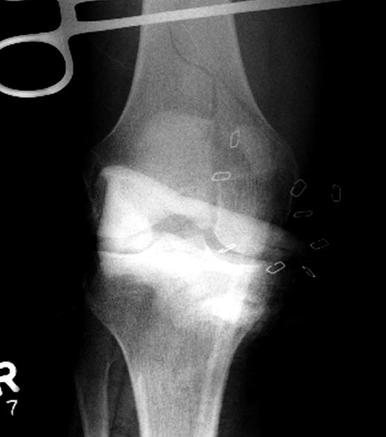
На 9й день фиксация дистального бедра, где фрагмент Hoffa и вертикальный 
перелом надколенника, зафиксированы винтами.

На 11й день фиксация плеча также пластиной.


Djoldas Kuldjanov, MD

----------- следущая часть -----------
Вложение не в текстовом формате было извлечено…
Имя     : Picture17.jpg
Тип     : image/jpeg
Размер  : 48254 байтов
Описание: отсутствует
Url     : http://weborto.net:8080/pipermail/ortho/attachments/20180422/08a20c43/attachment-0007.jpg 
----------- следущая часть -----------
Вложение не в текстовом формате было извлечено…
Имя     : Picture18.jpg
Тип     : image/jpeg
Размер  : 37972 байтов
Описание: отсутствует
Url     : http://weborto.net:8080/pipermail/ortho/attachments/20180422/08a20c43/attachment-0008.jpg 
----------- следущая часть -----------
Вложение не в текстовом формате было извлечено…
Имя     : Picture19.jpg
Тип     : image/jpeg
Размер  : 39920 байтов
Описание: отсутствует
Url     : http://weborto.net:8080/pipermail/ortho/attachments/20180422/08a20c43/attachment-0009.jpg 
----------- следущая часть -----------
Вложение не в текстовом формате было извлечено…
Имя     : Picture20.jpg
Тип     : image/jpeg
Размер  : 40146 байтов
Описание: отсутствует
Url     : http://weborto.net:8080/pipermail/ortho/attachments/20180422/08a20c43/attachment-0010.jpg 
----------- следущая часть -----------
Вложение не в текстовом формате было извлечено…
Имя     : Picture21.jpg
Тип     : image/jpeg
Размер  : 49511 байтов
Описание: отсутствует
Url     : http://weborto.net:8080/pipermail/ortho/attachments/20180422/08a20c43/attachment-0011.jpg 
----------- следущая часть -----------
Вложение не в текстовом формате было извлечено…
Имя     : Picture22.jpg
Тип     : image/jpeg
Размер  : 38925 байтов
Описание: отсутствует
Url     : http://weborto.net:8080/pipermail/ortho/attachments/20180422/08a20c43/attachment-0012.jpg 
----------- следущая часть -----------
Вложение не в текстовом формате было извлечено…
Имя     : Picture23.jpg
Тип     : image/jpeg
Размер  : 49676 байтов
Описание: отсутствует
Url     : http://weborto.net:8080/pipermail/ortho/attachments/20180422/08a20c43/attachment-0013.jpg 


Подробная информация о списке рассылки Ortho