[Ortho]

Sergey delinikaitis yandex.ru
5 00:34:17 YEKT 2018


Дорогие коллеги,
Очень нужен совет!
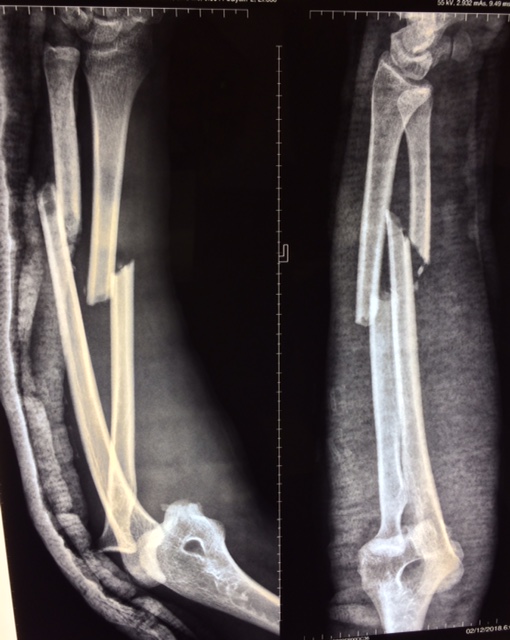
Парень, 24г., Авария, ЧМТ, перелом обеих костей предплечья, вывих локтевого сустава и перелом короноида (?).Рана 1 см, ушита при поступлении. Без осложнений, кисть - норм. функция.
КТ не делали.
Полностью стабилен, неделя после травмы.
Подскажите последовательность фиксации (исходя из Вашего личного опыта).
Мы склоняемся в пользу пластин сначала, затем устранения вывиха и возможно фиксации короноида. Нужно ли стабилизировать локтевой сустав и чем?
С уважением,
Сергей.

-----------   -----------
Вложение не в текстовом формате было извлечено…
Имя     : IMG_3021.jpg
Тип     : image/jpeg
Размер  : 101294 байтов
Описание: отсутствует
Url     : http://weborto.net:8080/pipermail/ortho/attachments/20181204/40d06804/attachment-0002.jpg 
-----------   -----------




-----------   -----------
Вложение не в текстовом формате было извлечено…
Имя     : IMG_3022.jpg
Тип     : image/jpeg
Размер  : 48159 байтов
Описание: отсутствует
Url     : http://weborto.net:8080/pipermail/ortho/attachments/20181204/40d06804/attachment-0003.jpg 
-----------   -----------



Sent from my iPhone


Ortho