[Ortho] Плечо!!

Sergey delinikaitis на yandex.ru
Вт Дек 11 17:08:13 YEKT 2018


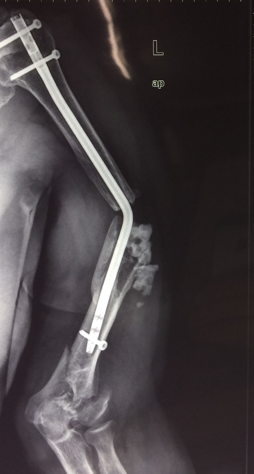
п·я┤п╣п╫я▄ п╫я┐п╤п╣п╫ я│п╬п╡п╣я┌ п╨п╬п╩п╩п╣пЁ, п╨я┌п╬ п╡я│я┌я─п╣я┤п╟п╩ п©п╬п╢п╬п╠п╫я▀п╣ я│п╩я┐я┤п╟п╦. 
п п╟п╨ я┐п╢п╟п╩я▐я┌я▄ пЁп╡п╬п╥п╢я▄, п©п╬п╫п╟п╢п╬п╠я▐я┌я│я▐ п╨п╬я│я┌п╫я▀п╣ я┌я─п╟п╫я│п©п╩п╟п╫я┌п╟я┌я▀, п©п╬п╡я┌п╬я─п╫п╟я▐ я└п╦п╨я│п╟я├п╦я▐ -
п÷п╩п╟я│я┌п╦п╫п╟ п╦п╩п╦ пЁп╡п╬п╥п╢я▄? 
п║ я┐п╡п╟п╤п╣п╫п╦п╣п╪, 
п║п╣я─пЁп╣п╧

----------- следущая часть -----------
п▓п╩п╬п╤п╣п╫п╦п╣ п╫п╣ п╡ я┌п╣п╨я│я┌п╬п╡п╬п╪ я└п╬я─п╪п╟я┌п╣ п╠я▀п╩п╬ п╦п╥п╡п╩п╣я┤п╣п╫п╬…
п≤п╪я▐     : IMG_3045.jpg
п╒п╦п©     : image/jpeg
п═п╟п╥п╪п╣я─  : 331101 п╠п╟п╧я┌п╬п╡
п·п©п╦я│п╟п╫п╦п╣: п╬я┌я│я┐я┌я│я┌п╡я┐п╣я┌
Url     : http://weborto.net:8080/pipermail/ortho/attachments/20181211/a768a297/attachment-0001.jpg 
----------- следущая часть -----------


Sent from my iPhone


Подробная информация о списке рассылки Ortho