[Ortho] PFN

Виталий Р orthoforum на weborto.net
Пт Фев 9 21:40:15 YEKT 2018


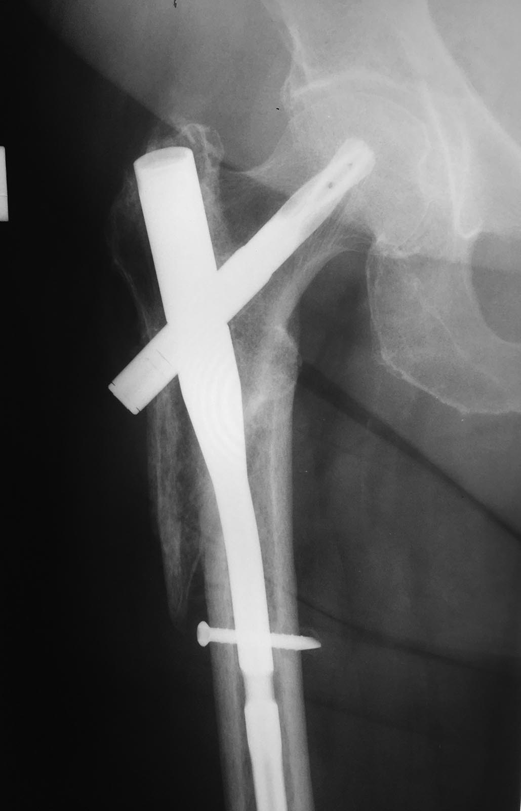
Ваше мнение о тактике ведения пациентки через 6 месяцев после остеосинтеза.

Пациентка 72 лет. 6 месяцев назад остеосинтез подвертельного перелома 
бедренной кости.
Ходит с костылем. Впервые обратилась на прием 2 месяца назад. 
Передвигалась с 2 мя костылями, рекомендовал перейти на 1 костыль. На 
сегодняшний день опереться на ногу оторвав здоровую от пола не опираясь 
руками не может. Аксиальный снимок к сожалению рентгенологи не могут
выполнить (4 месяц как работаю в госполиклинике, воюю с рентгенолагами, 
обьяснял, бесполезно - аксиальных снимков не делают). Сейчас отправил на 
МСКТ. Хотелось бы услышать Вашего мнения. Обращаться туда где 
оперировалась не хочет/не может (это так, для исключения подобных 
рекомендаций).
Виталий Р



----------- следущая часть -----------
Вложение не в текстовом формате было извлечено…
Имя     : IMG_0532.jpg
Тип     : image/jpeg
Размер  : 88251 байтов
Описание: отсутствует
Url     : http://weborto.net:8080/pipermail/ortho/attachments/20180209/59f38d24/attachment-0001.jpg 


Подробная информация о списке рассылки Ortho