[Ortho] Несращение межвертельного перелома

Евгений Чернюк orthoforum на weborto.net
Пт Фев 16 12:18:36 YEKT 2018


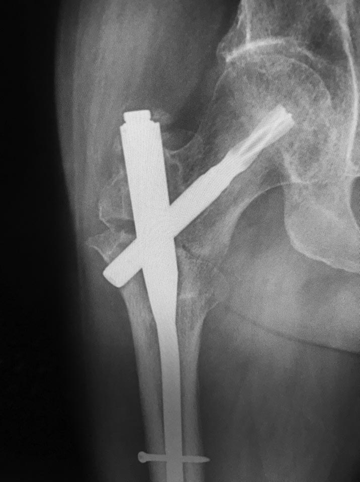
доброго времени суток! как бы вы поступили в данном случае? Пациент 52 
года, синтез 7 мес назад, ходьба с костылями.

   Боль при ходьбе. Два дистальных блокируемых винта в статике ( 
срезалось на фото)

Евгений Чернюк


----------- следущая часть -----------
Вложение не в текстовом формате было извлечено…
Имя     : evg.jpg
Тип     : image/jpeg
Размер  : 106055 байтов
Описание: отсутствует
Url     : http://weborto.net:8080/pipermail/ortho/attachments/20180216/9aad6308/attachment-0002.jpg 
----------- следущая часть -----------
Вложение не в текстовом формате было извлечено…
Имя     : lat.jpg
Тип     : image/jpeg
Размер  : 119685 байтов
Описание: отсутствует
Url     : http://weborto.net:8080/pipermail/ortho/attachments/20180216/9aad6308/attachment-0003.jpg 


Подробная информация о списке рассылки Ortho