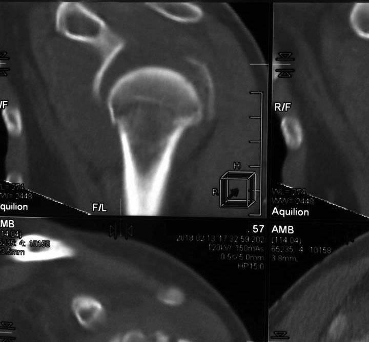
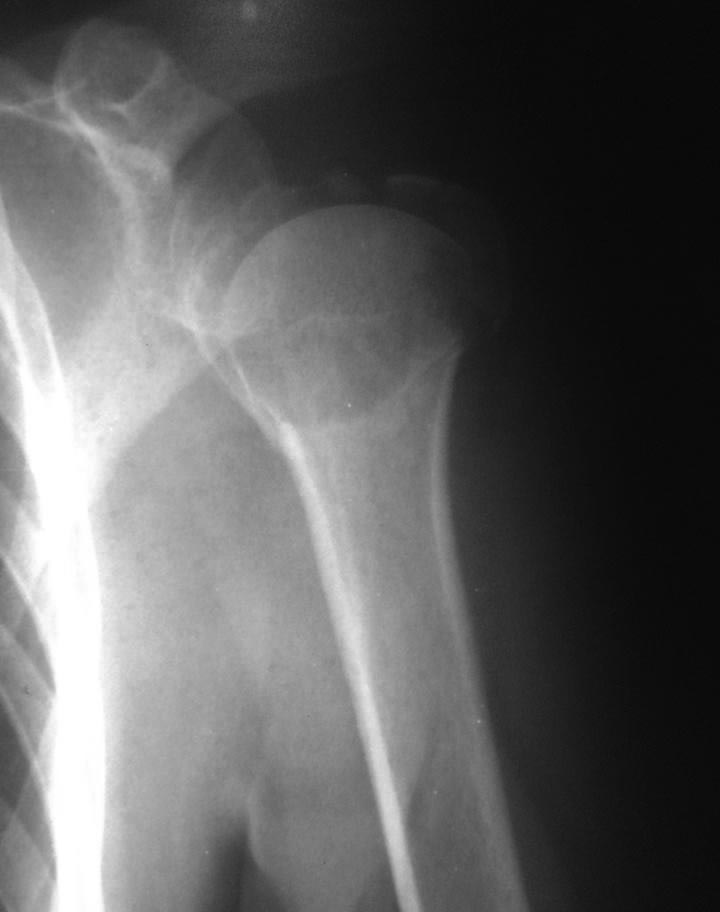
[Ortho] Перелом проксимального метаэпифиза плеча

Сергей orthoforum на weborto.net
Ср Фев 21 21:15:55 YEKT 2018


Дорогие коллеги! Мнение о тактике лечения пациентки в нашем отделении 
разделилось.
Требуется помощь зала)

травма 10 дней назад, падение при катании на обычных лыжах. Сама 
врач-рентгенолог 57 лет.
Левая рука, недоминатная. На данный момент ходит в косынке, вся в 
сомнениях, что делать.
Мнения по лечению: - ничего не делать - остеосинтез пластиной 
блокированной - первичное эндопротезирование (в наличие только геми, 
delta не потянет) Может кто-то что более дельное предложит.
Спасибо
Сергей


----------- следущая часть -----------
Вложение не в текстовом формате было извлечено…
Имя     : 1.jpg
Тип     : image/jpeg
Размер  : 48171 байтов
Описание: отсутствует
Url     : http://weborto.net:8080/pipermail/ortho/attachments/20180221/57e3555e/attachment-0006.jpg 
----------- следущая часть -----------
Вложение не в текстовом формате было извлечено…
Имя     : 2.jpg
Тип     : image/jpeg
Размер  : 46505 байтов
Описание: отсутствует
Url     : http://weborto.net:8080/pipermail/ortho/attachments/20180221/57e3555e/attachment-0007.jpg 
----------- следущая часть -----------
Вложение не в текстовом формате было извлечено…
Имя     : 3.jpg
Тип     : image/jpeg
Размер  : 86582 байтов
Описание: отсутствует
Url     : http://weborto.net:8080/pipermail/ortho/attachments/20180221/57e3555e/attachment-0008.jpg 
----------- следущая часть -----------
Вложение не в текстовом формате было извлечено…
Имя     : 4.jpg
Тип     : image/jpeg
Размер  : 88010 байтов
Описание: отсутствует
Url     : http://weborto.net:8080/pipermail/ortho/attachments/20180221/57e3555e/attachment-0009.jpg 
----------- следущая часть -----------
Вложение не в текстовом формате было извлечено…
Имя     : 5.jpg
Тип     : image/jpeg
Размер  : 64585 байтов
Описание: отсутствует
Url     : http://weborto.net:8080/pipermail/ortho/attachments/20180221/57e3555e/attachment-0010.jpg 
----------- следущая часть -----------
Вложение не в текстовом формате было извлечено…
Имя     : 6.jpg
Тип     : image/jpeg
Размер  : 91406 байтов
Описание: отсутствует
Url     : http://weborto.net:8080/pipermail/ortho/attachments/20180221/57e3555e/attachment-0011.jpg 


Подробная информация о списке рассылки Ortho