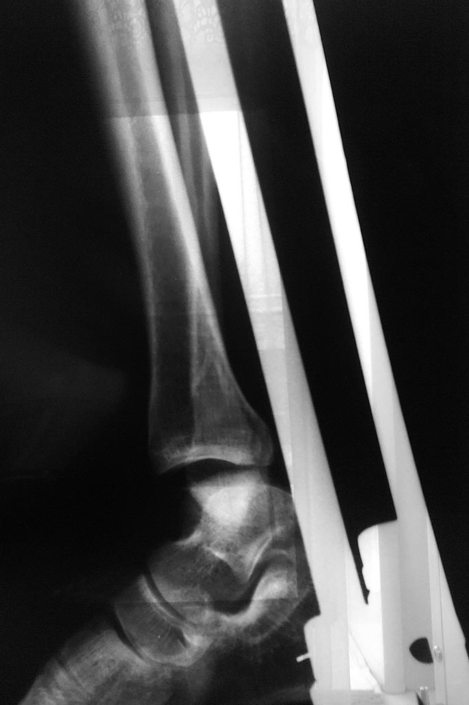
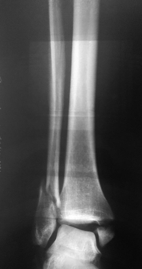
[Ortho] Лодыжки - подвывих стопы?

ctd orthoforum на weborto.net
Вс Фев 25 22:48:45 YEKT 2018


первично
ctd

----------- следущая часть -----------
Вложение не в текстовом формате было извлечено…
Имя     : 1.jpg
Тип     : image/jpeg
Размер  : 58633 байтов
Описание: отсутствует
Url     : http://weborto.net:8080/pipermail/ortho/attachments/20180225/ed17c2c1/attachment-0002.jpg 
----------- следущая часть -----------
Вложение не в текстовом формате было извлечено…
Имя     : 2.jpg
Тип     : image/jpeg
Размер  : 86782 байтов
Описание: отсутствует
Url     : http://weborto.net:8080/pipermail/ortho/attachments/20180225/ed17c2c1/attachment-0003.jpg 


Подробная информация о списке рассылки Ortho