[Ortho] Лодыжки - подвывих стопы?

ctd orthoforum на weborto.net
Вс Фев 25 22:49:17 YEKT 2018


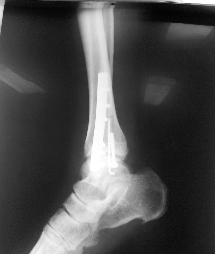
боковая
ctd


----------- следущая часть -----------
Вложение не в текстовом формате было извлечено…
Имя     : 3.jpg
Тип     : image/jpeg
Размер  : 83039 байтов
Описание: отсутствует
Url     : http://weborto.net:8080/pipermail/ortho/attachments/20180225/39c4f8c6/attachment-0001.jpg 


Подробная информация о списке рассылки Ortho