[Ortho] Эндопротезирование на фоне рубцов

Игорь orthoforum на weborto.net
Ср Фев 28 00:05:08 YEKT 2018


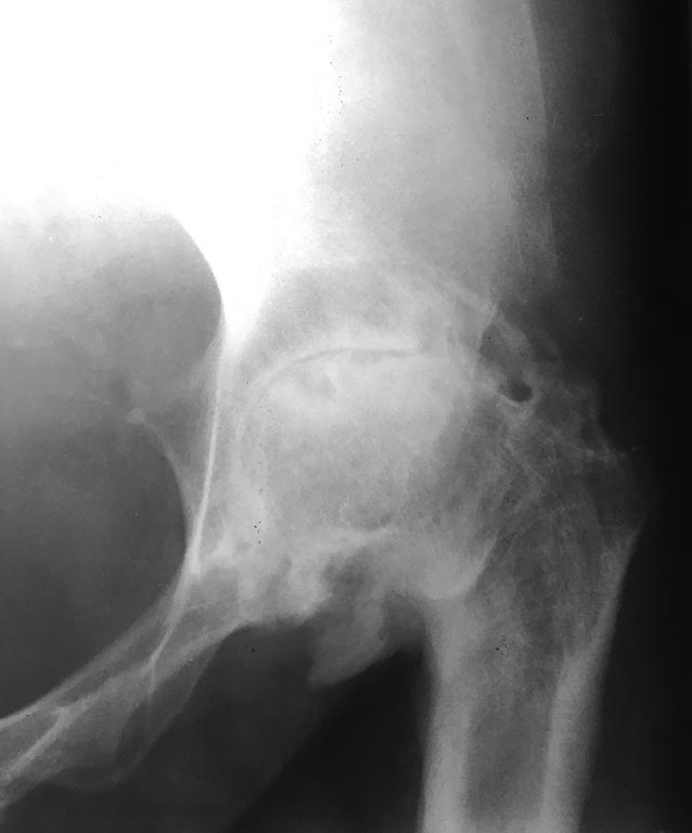
Пациентка 38 лет, жалобы на ограничение движений, боль в области 
тазобедренного сустава, укорочение конечности, хромоту.

В возрасте 6 лет открытое вправление пропущенного врожденного вывиха 
левой бедренной кости, осложнившееся кокситом. На данный момент: 
Сгибательная приводящая установка в суставе, движения отсутствуют. 
Обращает на себя внимание втянутый рубец, плотно спаянный
непосредственно с костью в области большого вертела без подлежащих 
мягких тканей.

Больная настаивает на эндопротезировании. Пункция т/бедренного сустава: 
без роста. С реактивный белок отрицательный.

╚ Костный этап ╩ больших вопросов не вызывает, а вот состояние мягких
тканей и перспективы оставить протез ╚ под кожей ╩ несколько смущают. 
Уважаемые коллеги, наверняка кто-то сталкивался с подобной проблемой. 
Можно ли уверенно обойтись местными тканями или возможно потребуется 
мышечная пластика? И если потребуется, то какие известны методики?
Игорь

----------- следущая часть -----------
Вложение не в текстовом формате было извлечено…
Имя     : weborto.net.jpg
Тип     : image/jpeg
Размер  : 42313 байтов
Описание: отсутствует
Url     : http://weborto.net:8080/pipermail/ortho/attachments/20180227/385ee0e8/attachment-0001.jpg 


Подробная информация о списке рассылки Ortho