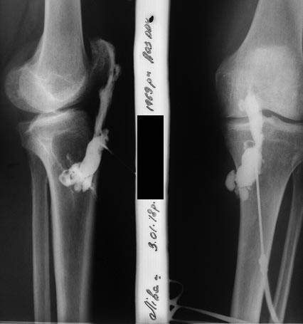
[Ortho] Остеомиелит надколенника

Андрей orthoforum на weborto.net
Ср Янв 3 18:57:56 YEKT 2018


фистулография
Андрей

----------- следущая часть -----------
Вложение не в текстовом формате было извлечено…
Имя     : 4.jpg
Тип     : image/jpeg
Размер  : 43313 байтов
Описание: отсутствует
Url     : http://weborto.net:8080/pipermail/ortho/attachments/20180103/43a43083/attachment-0001.jpg 


Подробная информация о списке рассылки Ortho