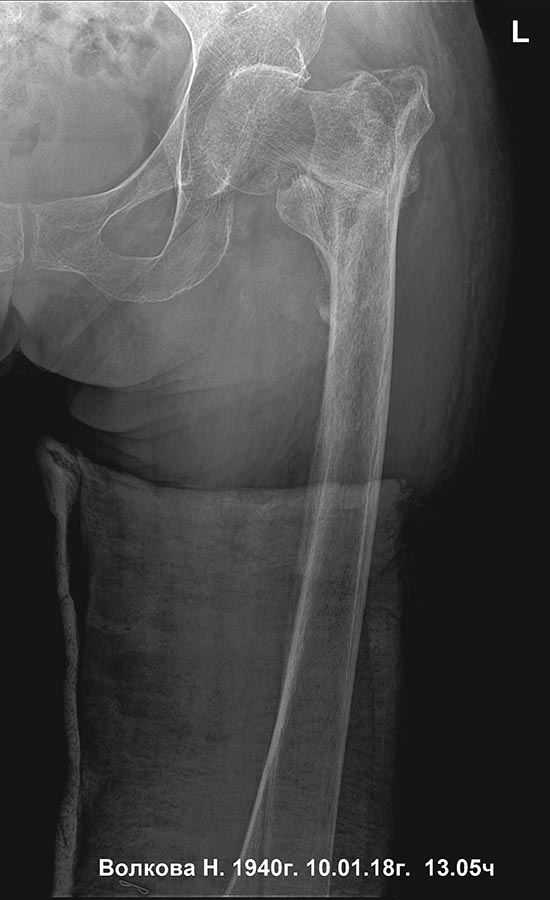
[Ortho] Сросшийся чрезвертельный и перелом н\3 бедра

Стас orthoforum на weborto.net
Ср Янв 10 13:48:06 YEKT 2018


прямая проекция
Стас

----------- следущая часть -----------
Вложение не в текстовом формате было извлечено…
Имя     : 1.jpg
Тип     : image/jpeg
Размер  : 71695 байтов
Описание: отсутствует
Url     : http://weborto.net:8080/pipermail/ortho/attachments/20180110/8dd7d5aa/attachment-0001.jpg 


Подробная информация о списке рассылки Ortho