[Ortho] повреждение таза с необычным смещением

Maxim Agalakov orthoforum на weborto.net
Чт Июл 12 03:31:16 YEKST 2018


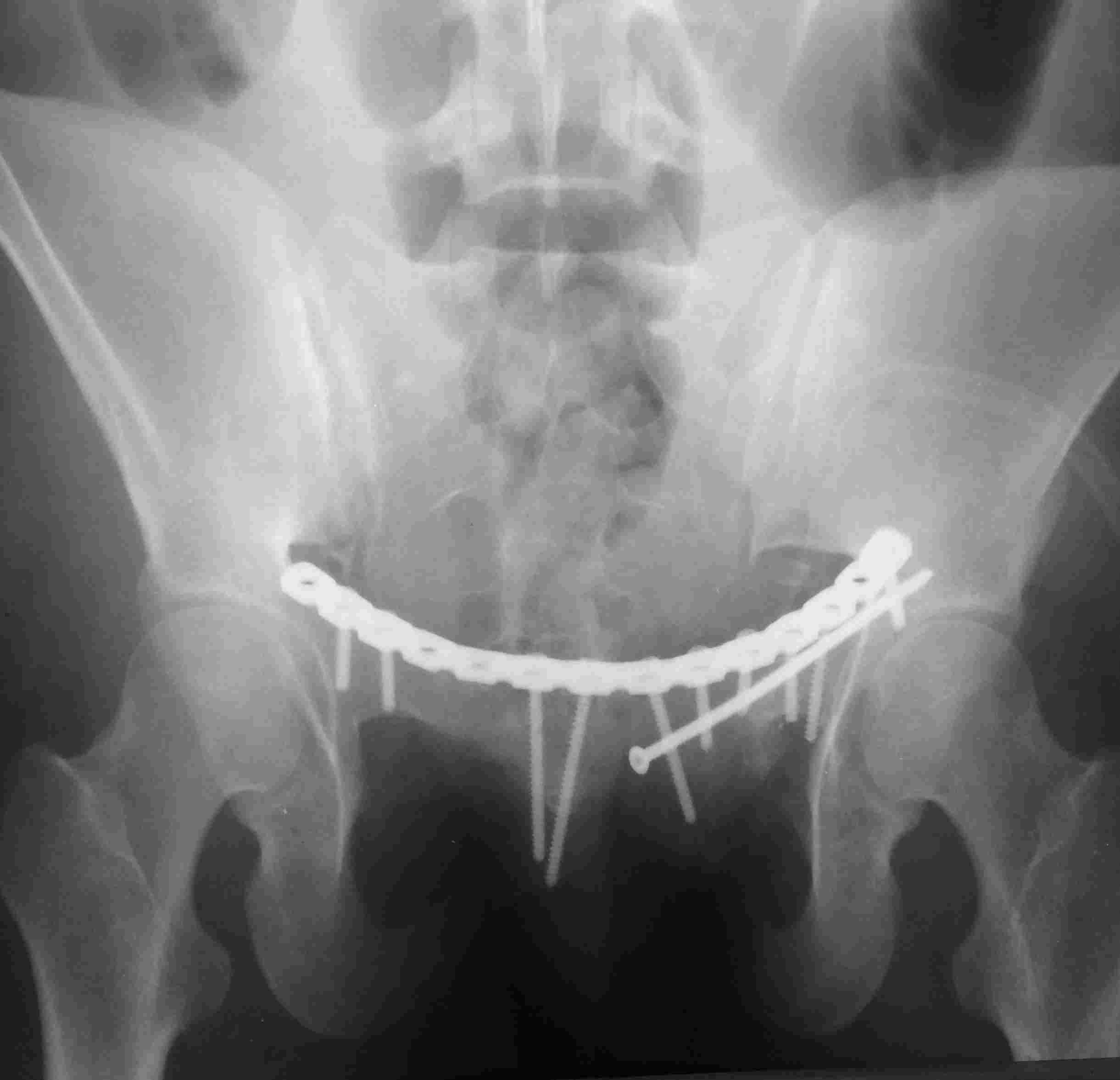
Постоп. Верхняя ветвь возле шейки мочевого пузыря, нижняя так же где-то 
глубоко в мышцах, ротирована. Обе практически лишены кровоснабжения. 
лонное сочленение фактически свободно лежащее, справа  почти целое, но 
ветви сломаны возле него. Слева часть лонного сочленения цела на 2/3. 
интраоперационно подвижность правой половины таза. Постоп все стабильно, 
но все же планирую дополнительно провести IS винт справа.
Maxim Agalakov


----------- следущая часть -----------
Вложение не в текстовом формате было извлечено…
Имя     : IMG_0630.JPG
Тип     : image/jpeg
Размер  : 100842 байтов
Описание: отсутствует
Url     : http://weborto.net:8080/pipermail/ortho/attachments/20180712/0e4b1081/attachment.jpe 
----------- следущая часть -----------
Вложение не в текстовом формате было извлечено…
Имя     : IMG_0631.JPG
Тип     : image/jpeg
Размер  : 92747 байтов
Описание: отсутствует
Url     : http://weborto.net:8080/pipermail/ortho/attachments/20180712/0e4b1081/attachment-0003.jpeg 
----------- следущая часть -----------
Вложение не в текстовом формате было извлечено…
Имя     : IMG_0632.JPG
Тип     : image/jpeg
Размер  : 115439 байтов
Описание: отсутствует
Url     : http://weborto.net:8080/pipermail/ortho/attachments/20180712/0e4b1081/attachment-0004.jpeg 


Подробная информация о списке рассылки Ortho