[Ortho] Гонартроз; тактика хирургического лечения.

Алексей Чигирёв orthoforum на weborto.net
Пн Июн 11 21:23:04 YEKST 2018


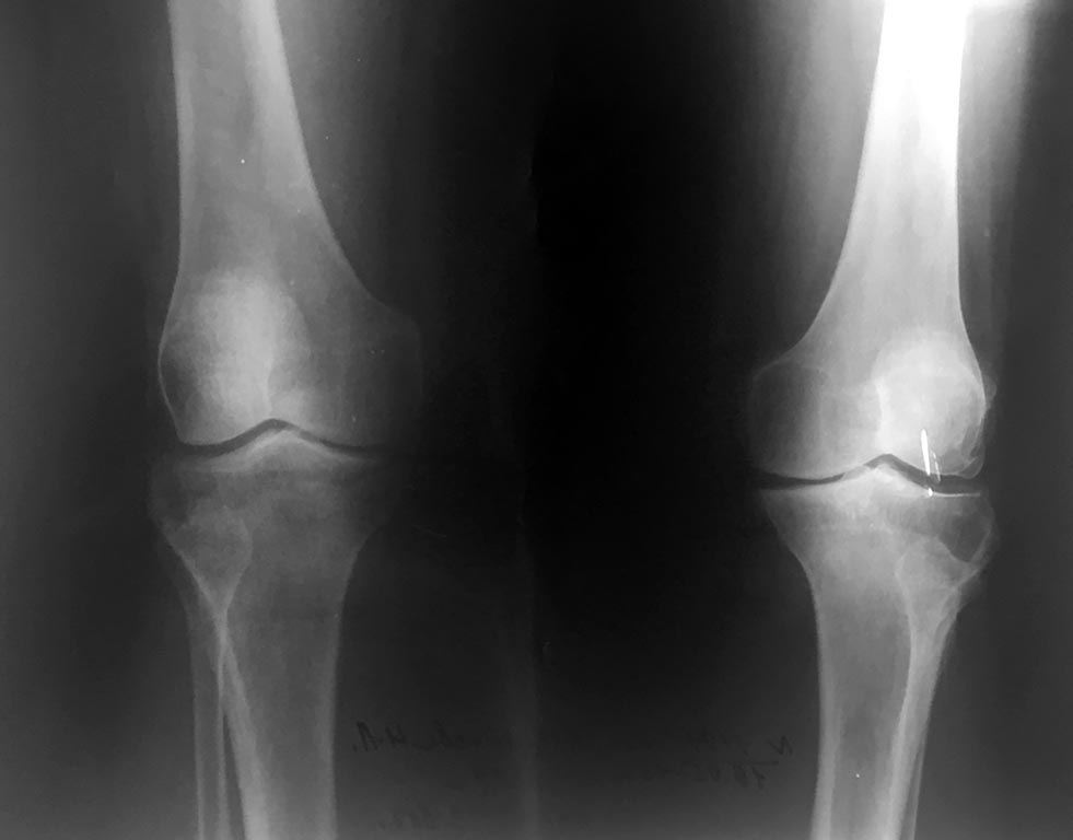
Добрый день, уважаемые коллеги!Прошу совета по рациональной тактике 
лечения пациентки с двусторонним гонартрозом.

Пациентка 67 лет. Страдает двусторонним гонартрозом 2 ст.В течении 
последнего года усилился и постоянно беспокоит болевой синдром. Варусная 
деформация выражено умеренно.
Объём движений 180-85 гр. Без значимой сопутствующей соматической
патологии.Консервативное лечение с малым эффектом. Какие варианты 
лечения в этом случае приемлемы? Возможна ли в данном случая 
корригирующая остеотомия ББК ? или показано эндопротезирование? 
одномыщелковое? Спасибо за ответы!
Алексей Чигирёв


----------- следущая часть -----------
Вложение не в текстовом формате было извлечено…
Имя     : IMG_5114.jpg
Тип     : image/jpeg
Размер  : 50235 байтов
Описание: отсутствует
Url     : http://weborto.net:8080/pipermail/ortho/attachments/20180611/d15b2e23/attachment-0001.jpg 


Подробная информация о списке рассылки Ortho