[Ortho] Локтевой сустав. Какие мысли?

Александр Ларионов alarionov2011 на gmail.com
Пт Июн 29 23:30:54 YEKST 2018


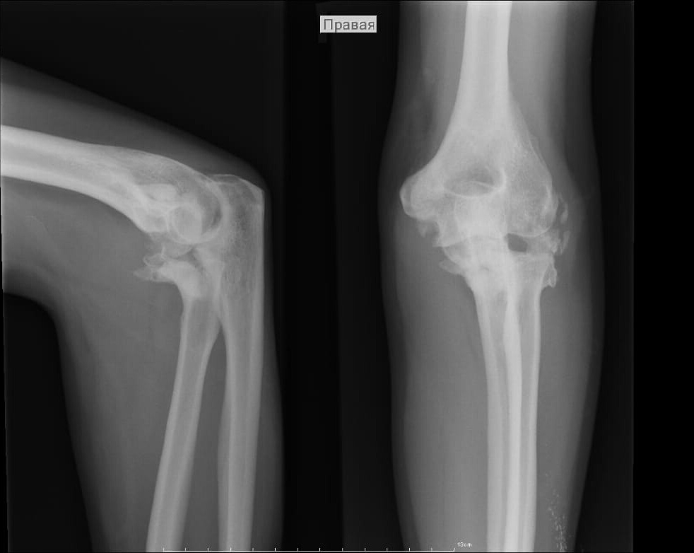
п÷п╟я├п╦п╣п╫я┌я┐ 38 п╩п╣я┌. п╒я─п╟п╡п╪п╟ п╡ я│п╣п╫я┌я▐п╠я─п╣ 2017 - п╡я▀п╡п╦я┘ п╩п╬п╨я┌п╣п╡п╬пЁп╬ я│я┐я│я┌п╟п╡п╟ я│
п╥п╟п╨я─я▀я┌я▀п╪ п╬я│п╨п╬п╩я▄я┤п╟я┌я▀п╪ п©п╣я─п╣п╩п╬п╪п╬п╪ пЁп╬п╩п╬п╡п╨п╦ п╩я┐я┤п╟. п▓ п╬п╢п╫п╬п╧ п╦п╥ п╠п╬п╩я▄п╫п╦я├ п°п╬я│п╨п╡я▀
п©я─п╬п╦п╥п╡п╣п╢п╣п╫п╬ п╡п©я─п╟п╡п╩п╣п╫п╦п╣ п╡я▀п╡п╦я┘п╟, я─п╣п╥п╣п╨я├п╦я▐ пЁп╬п╩п╬п╡п╨п╦ п╩я┐я┤п╟. п≤п╪п╪п╬п╠п╦п╩п╦п╥п╟я├п╦я▐ пЁп╦п©я│п╬п╪
п╩п╬п╨я┌п╣п╡п╬пЁп╬ я│я┐я│я┌п╟п╡п╟, п©п╬ я─п╣п╨п╬п╪п╣п╫п╢п╟я├п╦п╦ п╨п╩п╦п╫п╦п╨п╦
----------- следущая часть -----------
п▓п╩п╬п╤п╣п╫п╦п╣ п╡ я└п╬я─п╪п╟я┌п╣ HTML п╠я▀п╩п╬ п╦п╥п╡п╩п╣я┤п╣п╫п╬…
URL: http://weborto.net:8080/pipermail/ortho/attachments/20180629/a4f6c567/attachment-0001.html 
----------- следущая часть -----------
п▓п╩п╬п╤п╣п╫п╦п╣ п╫п╣ п╡ я┌п╣п╨я│я┌п╬п╡п╬п╪ я└п╬я─п╪п╟я┌п╣ п╠я▀п╩п╬ п╦п╥п╡п╩п╣я┤п╣п╫п╬…
п≤п╪я▐     : IMG_20180629_203000.jpg
п╒п╦п©     : image/jpeg
п═п╟п╥п╪п╣я─  : 87044 п╠п╟п╧я┌п╬п╡
п·п©п╦я│п╟п╫п╦п╣: п╬я┌я│я┐я┌я│я┌п╡я┐п╣я┌
Url     : http://weborto.net:8080/pipermail/ortho/attachments/20180629/a4f6c567/attachment-0001.jpg 


Подробная информация о списке рассылки Ortho