[Ortho] Атрофический псевдоартроз бедра

Юрий orthoforum на weborto.net
Пт Мар 23 23:13:02 YEKT 2018


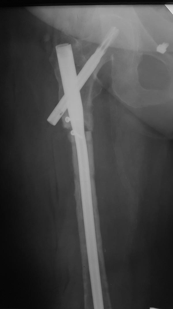
Операцию сделали, инфекции не выявлено, резецированы  концы бедренной 
кости на 10 - 20 мм с каждой стороны, дистальный конец был 
нежизнеспособен, щели перелома выполнены губчатым аутотрансплантантом, 
также по передней поверхности  фиксирован винтами губчато-кортикальный 
аутотрансплантант.
Юрий


----------- следущая часть -----------
Вложение не в текстовом формате было извлечено…
Имя     : 20180323_194906 (1).jpg
Тип     : image/jpeg
Размер  : 38480 байтов
Описание: отсутствует
Url     : http://weborto.net:8080/pipermail/ortho/attachments/20180323/a0e72c19/attachment-0001.jpg 


Подробная информация о списке рассылки Ortho