[Ortho] Повреждение проксимальных отделов radius+ulna

Адай Казыбеков orthoforum на weborto.net
Сб Мар 24 16:39:07 YEKT 2018


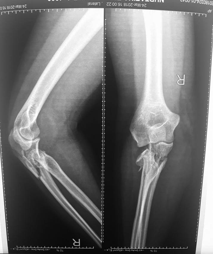
Добрый день, коллеги. Какие мнения будут по этому снимку?


Адай Казыбеков


----------- следущая часть -----------
Вложение не в текстовом формате было извлечено…
Имя     : 21.jpg
Тип     : image/jpeg
Размер  : 84729 байтов
Описание: отсутствует
Url     : http://weborto.net:8080/pipermail/ortho/attachments/20180324/6a61893c/attachment-0001.jpg 


Подробная информация о списке рассылки Ortho