[Ortho]

Alexander Chelnokov alex61 gmail.com
31 11:51:27 YEKST 2018


hi

26 марта 2018 г., 14:05 пользователь Александр Артемьев <
varus-valgus  yandex.ru> написал:

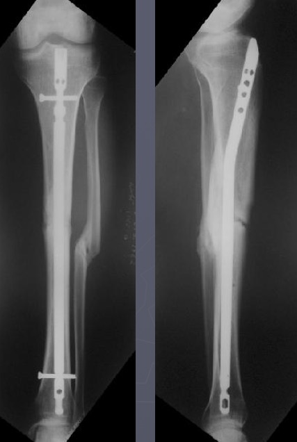
>  При интрамедуллярном остеосинтезе, конечно же, нужна максимальная
> конгруэнтность (параллельность) контактирующих поверхностей.



Совсем необязательно. Это при аппаратной фиксации, чтобы она не была
бесконечной, надо обеспечить максимальную площадь контакта, или делать
что-то дополнительное. Да и если фиксировать пластиной. А когда в диафизе
находится его эндопротез - достаточно сращения на ограниченном участке.

-- 
Best regards,
 Alexander N. Chelnokov
-----------   -----------
Вложение в формате HTML было извлечено&hellip;
URL: http://weborto.net:8080/pipermail/ortho/attachments/20180331/6be0b812/attachment-0001.html 
-----------   -----------
Вложение не в текстовом формате было извлечено&hellip;
Имя     : Снимок экрана 2018-03-31 в 8.38.26.jpg
Тип     : image/jpeg
Размер  : 39284 байтов
Описание: отсутствует
Url     : http://weborto.net:8080/pipermail/ortho/attachments/20180331/6be0b812/attachment-0003.jpg 
-----------   -----------
Вложение не в текстовом формате было извлечено&hellip;
Имя     : Снимок экрана 2018-03-31 в 8.38.51.jpg
Тип     : image/jpeg
Размер  : 30924 байтов
Описание: отсутствует
Url     : http://weborto.net:8080/pipermail/ortho/attachments/20180331/6be0b812/attachment-0004.jpg 
-----------   -----------
Вложение не в текстовом формате было извлечено&hellip;
Имя     : Снимок экрана 2018-03-31 в 8.39.03.jpg
Тип     : image/jpeg
Размер  : 40988 байтов
Описание: отсутствует
Url     : http://weborto.net:8080/pipermail/ortho/attachments/20180331/6be0b812/attachment-0005.jpg 


Ortho