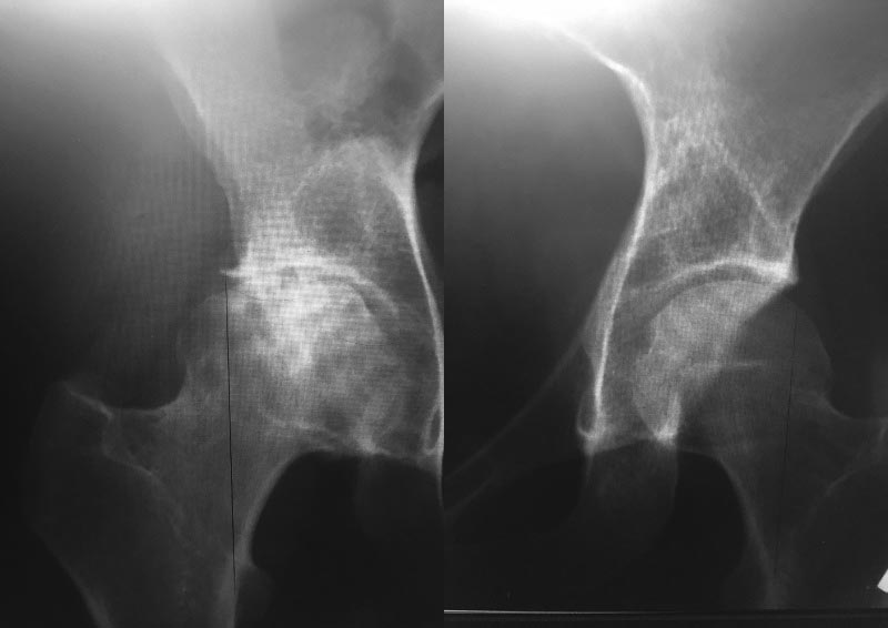
[Ortho] Дислпстический коксартроз ІІІ степени у молодой пациентки

Vlad Kozanchuk orthoforum на weborto.net
Сб Мар 31 14:50:39 YEKST 2018


Ещё снимки. Почему-то при сканировании качество на выходе ужасное
Vlad Kozanchuk

----------- следущая часть -----------
Вложение не в текстовом формате было извлечено…
Имя     : hip2.jpg
Тип     : image/jpeg
Размер  : 48184 байтов
Описание: отсутствует
Url     : http://weborto.net:8080/pipermail/ortho/attachments/20180331/c0c21a00/attachment-0001.jpg 


Подробная информация о списке рассылки Ortho