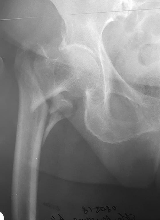
[Ortho] БИОС PFNA варусного бедра

Юрий orthoforum на weborto.net
Ср Май 23 12:29:12 YEKST 2018


Первичный снимок
Юрий


----------- следущая часть -----------
Вложение не в текстовом формате было извлечено…
Имя     : 20180523_085314.jpg
Тип     : image/jpeg
Размер  : 50405 байтов
Описание: отсутствует
Url     : http://weborto.net:8080/pipermail/ortho/attachments/20180523/98b45c42/attachment-0001.jpg 


Подробная информация о списке рассылки Ortho