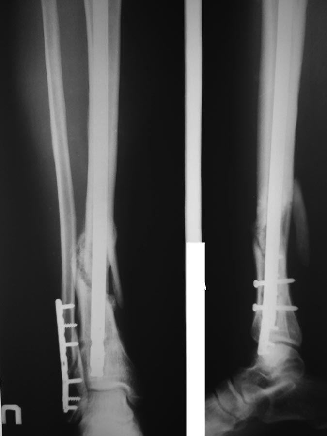
[Ortho] Замедленная консолидация ББК

Иван orthoforum на weborto.net
Чт Май 24 22:30:58 YEKST 2018


снимок
Иван


----------- следущая часть -----------
Вложение не в текстовом формате было извлечено…
Имя     : IMG_20180523_174235.jpg
Тип     : image/jpeg
Размер  : 45016 байтов
Описание: отсутствует
Url     : http://weborto.net:8080/pipermail/ortho/attachments/20180524/3ba87a2f/attachment-0001.jpg 


Подробная информация о списке рассылки Ortho