[Ortho] Удаление штифта из бедра

Ramil orthoforum на weborto.net
Вс Окт 14 20:49:16 YEKST 2018


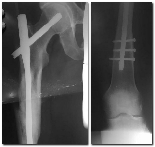
Здравствуйте! Пациент 31 год. Оперирован 3 года назад в другом 
учреждении. Штифт Санат
металл.Особенности удаления, послеоперационного ведения.


Ramil

----------- следущая часть -----------
Вложение не в текстовом формате было извлечено…
Имя     : weborto.net.jpg
Тип     : image/jpeg
Размер  : 43572 байтов
Описание: отсутствует
Url     : http://weborto.net:8080/pipermail/ortho/attachments/20181014/874166e9/attachment-0001.jpg 


Подробная информация о списке рассылки Ortho