[Ortho] нагрузка после таза С3

MAKSIM AGALAKOV orthoforum на weborto.net
Вт Окт 30 12:45:47 YEKT 2018


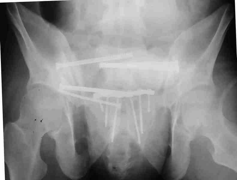
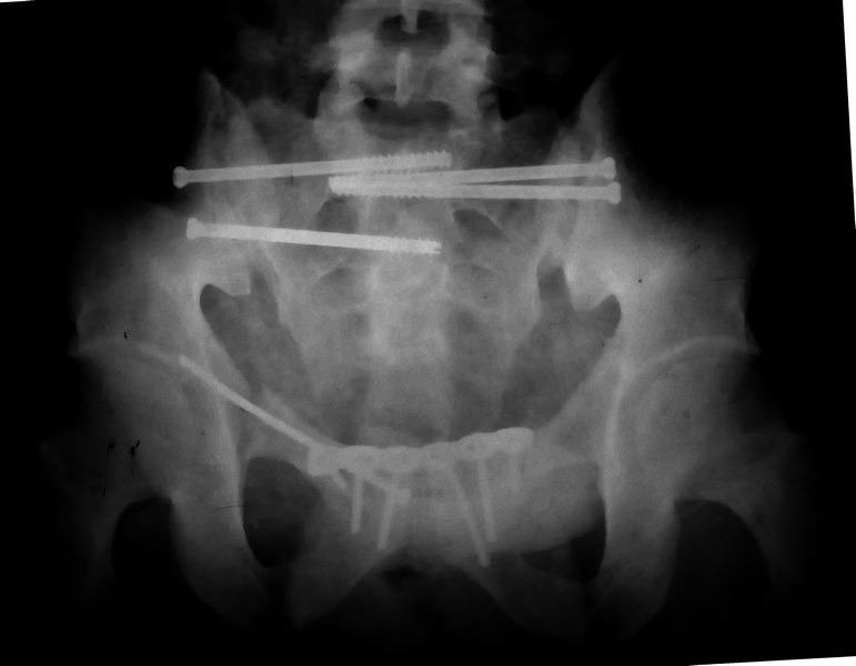
Коллеги, как и когда вы бы разрешили нагрузку в такой ситуации.

Молодой парень, без соматики. Сейчас чуть больше 2-х нед после операции, 
швы сняты, мочится сам. Был тяжелый, после операции дней 10 пытался 
выполнить лежа поперечный шпагат (успешно, так и лежал большей частью, 
может быть из-за обширной гематомы промежности). Репозиция не
идеальная, но фиксация довольно надежная, за 2 нед ничего не 
разъехалось". Сейчас пришел в ум. Когда, по-вашему, можно дать нагрузку, 
и на какую ногу, или на обе? Или вообще подскажете
программу реабилитации.

PS Заранее извиняюсь за качество снимков, до не делали (body scan),
если не видно - то - полные разрывы КПС с двух сторон. после КТ 
сломался. Неврологии вроде бы нет.
MAKSIM AGALAKOV

----------- следущая часть -----------
Вложение не в текстовом формате было извлечено…
Имя     : 1.jpg
Тип     : image/jpeg
Размер  : 95601 байтов
Описание: отсутствует
Url     : http://weborto.net:8080/pipermail/ortho/attachments/20181030/e7516668/attachment-0007.jpg 
----------- следущая часть -----------
Вложение не в текстовом формате было извлечено…
Имя     : 2.jpg
Тип     : image/jpeg
Размер  : 81785 байтов
Описание: отсутствует
Url     : http://weborto.net:8080/pipermail/ortho/attachments/20181030/e7516668/attachment-0008.jpg 
----------- следущая часть -----------
Вложение не в текстовом формате было извлечено…
Имя     : 3.jpg
Тип     : image/jpeg
Размер  : 30170 байтов
Описание: отсутствует
Url     : http://weborto.net:8080/pipermail/ortho/attachments/20181030/e7516668/attachment-0009.jpg 
----------- следущая часть -----------
Вложение не в текстовом формате было извлечено…
Имя     : 4.jpg
Тип     : image/jpeg
Размер  : 80002 байтов
Описание: отсутствует
Url     : http://weborto.net:8080/pipermail/ortho/attachments/20181030/e7516668/attachment-0010.jpg 
----------- следущая часть -----------
Вложение не в текстовом формате было извлечено…
Имя     : 5.jpg
Тип     : image/jpeg
Размер  : 35109 байтов
Описание: отсутствует
Url     : http://weborto.net:8080/pipermail/ortho/attachments/20181030/e7516668/attachment-0011.jpg 
----------- следущая часть -----------
Вложение не в текстовом формате было извлечено…
Имя     : 6.jpg
Тип     : image/jpeg
Размер  : 14258 байтов
Описание: отсутствует
Url     : http://weborto.net:8080/pipermail/ortho/attachments/20181030/e7516668/attachment-0012.jpg 
----------- следущая часть -----------
Вложение не в текстовом формате было извлечено…
Имя     : 7.jpg
Тип     : image/jpeg
Размер  : 84057 байтов
Описание: отсутствует
Url     : http://weborto.net:8080/pipermail/ortho/attachments/20181030/e7516668/attachment-0013.jpg 


Подробная информация о списке рассылки Ortho