[Ortho] Ложный сустав костей голени

Алексей Чигирёв orthoforum на weborto.net
Вт Фев 19 22:53:28 YEKT 2019


Уважаемые коллеги, куда можно направить пациентку в данном случае?

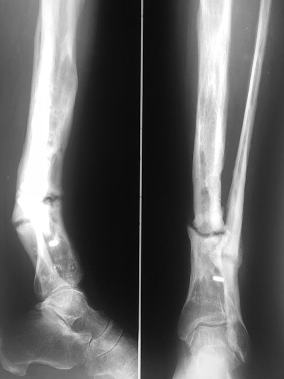
Добрый вечер! Обратилась пациентка с тугоподвижным ложным суставом 
костей правой голени в
н/3 с антекурвационной деформацией и укорочением. Кратко по анамнезу- в 
2011г. закрытый
перелом костей правой голени,выполнен накостный МОС, осложнение 
-нагноение в раннем п/о
периоде, Удаление м/к и ЧКДО аппаратом Илизарова. Далее -резекция 
большеберцовый кости в
процессе секвестрнекрэтомии,перемонтаж АВФ с попыткой билокального 
ЧКДО,далее , уже в
2014г. - открытое вмешательство- костная пластика и накостный МОС, через 
1 год закончилось
удалением м/к по поводу рецидивирующих свищей. В настоящее время тугой 
ложный сустав ,
деформация с укорочением 3-4см.; свищей в течение 2.5 лет не было. 
Вопрос-можно ли направить
в пациентку в один из федеральных центров травматологии? какой?
Алексей Чигирёв

----------- следущая часть -----------
Вложение не в текстовом формате было извлечено…
Имя     : 11.jpeg
Тип     : image/jpeg
Размер  : 44305 байтов
Описание: отсутствует
Url     : http://weborto.net:8080/pipermail/ortho/attachments/20190219/59aa4204/attachment-0001.jpeg 


Подробная информация о списке рассылки Ortho