[Ortho] Врожденная патология голени - помощь в тактике лечения

Сергей orthoforum на weborto.net
Вт Фев 19 23:23:43 YEKT 2019


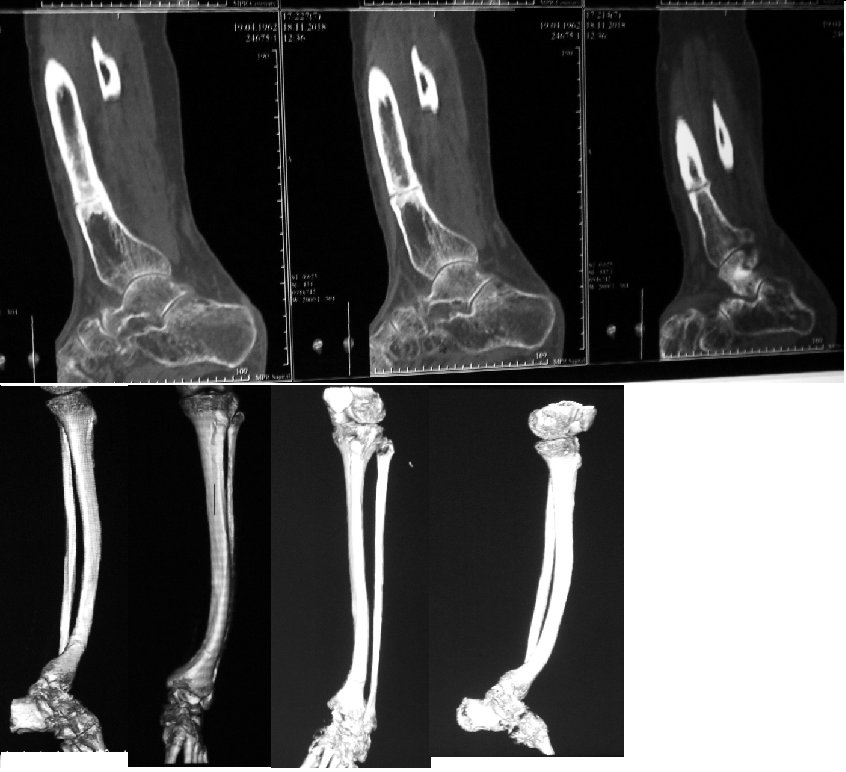
Тактика дальнейшего лечения.

Пациентка 1962 г.р. данная патология костей голени с детства, 
планировалось оперативное лечение в 18 лет (Вредена), операцию отменили, 
рекомендовали консервативное лечение. рентгенограммы 2018-2019гг.
Сергей

----------- следущая часть -----------
Вложение не в текстовом формате было извлечено…
Имя     : 1.jpg
Тип     : image/jpeg
Размер  : 78699 байтов
Описание: отсутствует
Url     : http://weborto.net:8080/pipermail/ortho/attachments/20190219/734522ce/attachment-0001.jpg 


Подробная информация о списке рассылки Ortho