[Ortho] Тазобедренные суставы

Сергей Анисимов orthoforum на weborto.net
Вс Янв 13 00:17:29 YEKT 2019


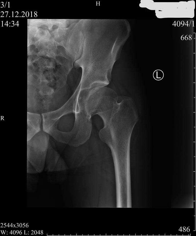
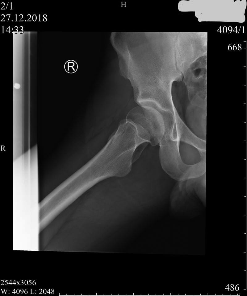
Пациент 27 лет: с 14-ти - "щёлканье" в тазобедренных суставах... 
Последние полгода - боль (особенно после вставания из положения сидя), 
которая устраняется "встряхиванием" ноги (правой) со "щелчком"...

В детстве (после рождения) - вроде бы "ничего такого" не было. 
Клинически - без особенностей...
Владимир Георгиевич Босых (профессор МГМСУ) полагает, что на 
рентгенограммах: "ярко выраженный подвывих бедра и в зависимости от 
клиники надо ставить вопрос о хирургической коррекции (возможно, тройной 
остеотомии таза)".
А каково ваше мнение, господа, по этому случаю? (публикуется по 
рекомендации д-ра Бирюкова в надежде привлечь к дискуссии проф. 
Кульджанова из Сент-Луиса...)
Сергей Анисимов


----------- следущая часть -----------
Вложение не в текстовом формате было извлечено…
Имя     : 1.jpg
Тип     : image/jpeg
Размер  : 57459 байтов
Описание: отсутствует
Url     : http://weborto.net:8080/pipermail/ortho/attachments/20190112/a9e4d168/attachment-0004.jpg 
----------- следущая часть -----------
Вложение не в текстовом формате было извлечено…
Имя     : 2.jpg
Тип     : image/jpeg
Размер  : 60736 байтов
Описание: отсутствует
Url     : http://weborto.net:8080/pipermail/ortho/attachments/20190112/a9e4d168/attachment-0005.jpg 
----------- следущая часть -----------
Вложение не в текстовом формате было извлечено…
Имя     : 3.jpg
Тип     : image/jpeg
Размер  : 66154 байтов
Описание: отсутствует
Url     : http://weborto.net:8080/pipermail/ortho/attachments/20190112/a9e4d168/attachment-0006.jpg 
----------- следущая часть -----------
Вложение не в текстовом формате было извлечено…
Имя     : 4.jpg
Тип     : image/jpeg
Размер  : 64305 байтов
Описание: отсутствует
Url     : http://weborto.net:8080/pipermail/ortho/attachments/20190112/a9e4d168/attachment-0007.jpg 


Подробная информация о списке рассылки Ortho