[Ortho] лопатка

Стас orthoforum на weborto.net
Ср Июл 3 14:06:24 YEKST 2019


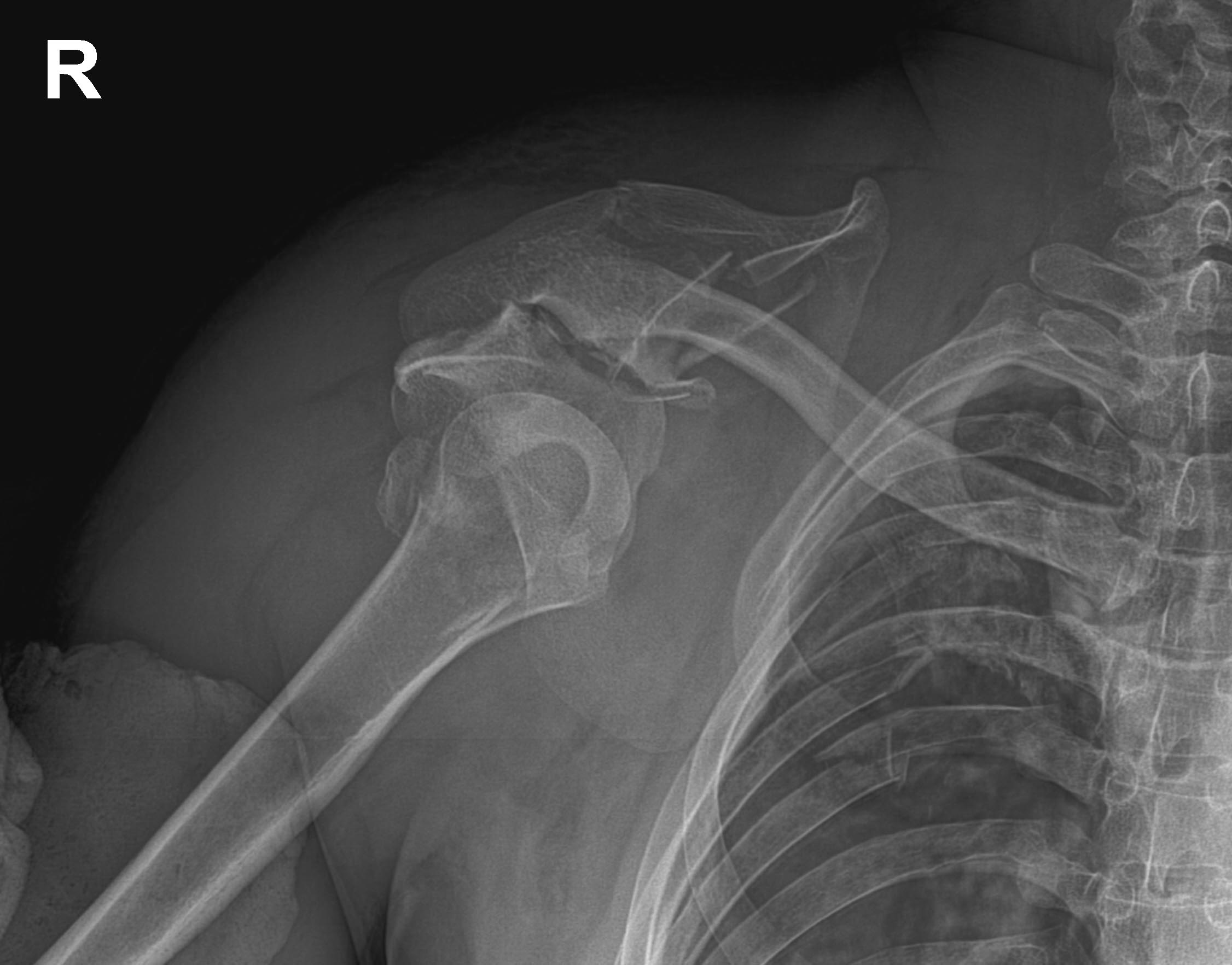
Добрый день, уважаемые коллеги. Поступил мотоциклист 1985 г.р.	

Сочетанная травма: множественные переломы ребер справа, 
гемопневмоторакс, оскольчатый перелом правой лопатки с вывихом плеча и 
вывихом акромиального конца ключицы. Справа же повреждение Монтеджи. 
СГМ, ссадины надплечья. Судя по всему, реберно-лопаточная 
диссоциация.Помогите, пожалуйста, определиться с тактикой и доступом. 
Легкое раздренировано, состояние среднетяжелое.
Стас


----------- следущая часть -----------
Вложение не в текстовом формате было извлечено…
Имя     : 1.2.840.10008.5.1.4.1.1.1.20190702.130108.68246.1.1.jpg
Тип     : image/jpeg
Размер  : 189897 байтов
Описание: отсутствует
Url     : http://weborto.net:8080/pipermail/ortho/attachments/20190703/91ee5a0d/attachment-0001.jpg 


Подробная информация о списке рассылки Ortho