[Ortho] Перелом ключицы

�������� orthoforum на weborto.net
Вт Окт 22 15:06:29 YEKST 2019


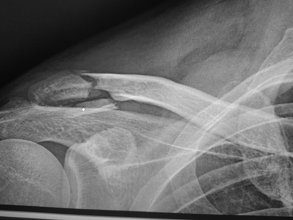
Мужчина, 47 лет. Оперировать или само срастётся. Нужно мнение сообщества.

Владимир

----------- следущая часть -----------
Вложение не в текстовом формате было извлечено…
Имя     : IMG_20191022_113818.jpg
Тип     : image/jpeg
Размер  : 89041 байтов
Описание: отсутствует
Url     : http://weborto.net:8080/pipermail/ortho/attachments/20191022/cfc40d2c/attachment-0001.jpg 


Подробная информация о списке рассылки Ortho