[Ortho] -.

Djoldas Kuldjanov orthoforum weborto.net
21 21:58:37 YEKT 2020


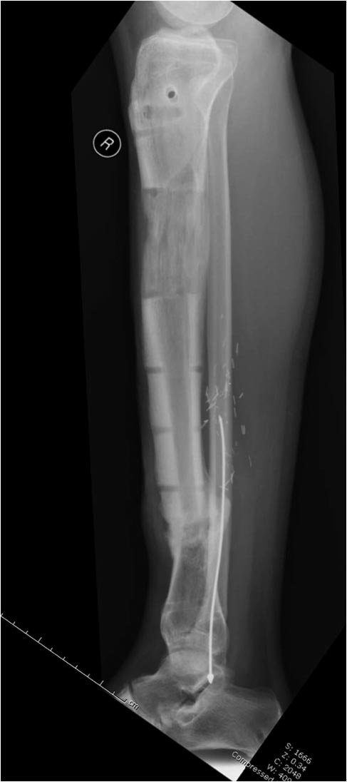
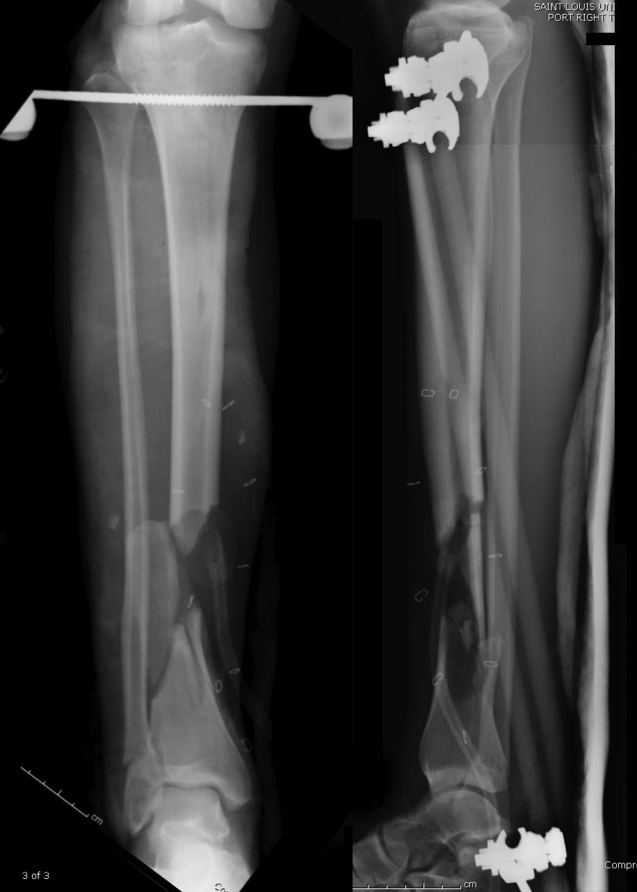
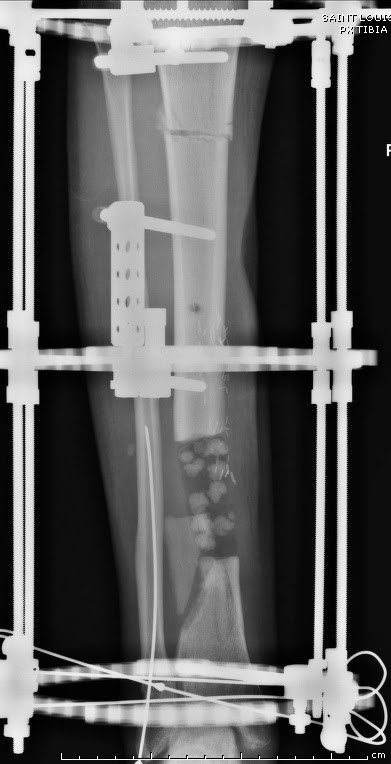
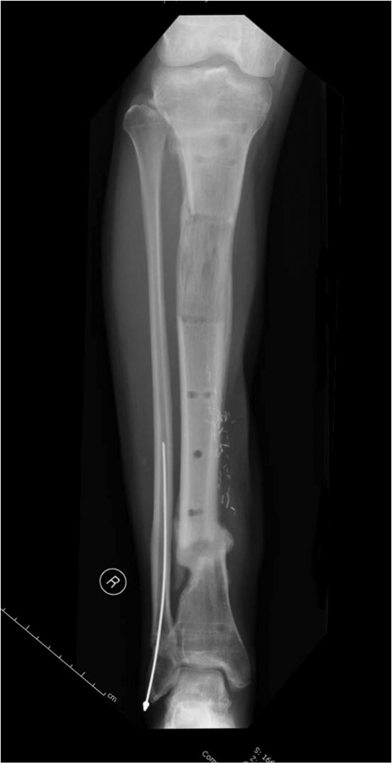
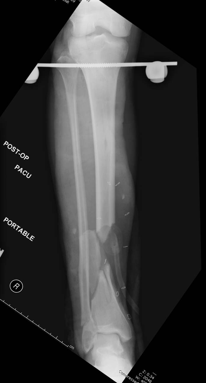
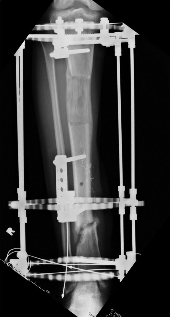
Данный случай не огнестрельная рана, а результат мотоциклетной аварии. 
Независимо от повреждения при таких обширных дефектах мягких и костной 
тканей применяется схожая тактика. Как видно, после нескольких I&D для 
создания “pseudo membrane” применили цилиндрический блок из цемента. 
Дефект мягких тканей закрыли свободным Anterior Thigh Graft. Из малого 
доступа цилиндр удален небольшими кусочками, а пространство заполнили 
бусами для освобождения пространства. По мере приближения регенерата 
освободили пространство удалением бус через небольшой разрез. Этап 
созревание регенерата можно было ускорить усилением интрамедуллярным 
гвоздем, но решили закончить методом Илизарова.
Djoldas Kuldjanov

-----------   -----------
Вложение не в текстовом формате было извлечено…
Имя     : GSW 1.jpg
Тип     : image/jpeg
Размер  : 54556 байтов
Описание: отсутствует
Url     : http://weborto.net:8080/pipermail/ortho/attachments/20200121/84ea9d55/attachment-0033.jpg 
-----------   -----------
Вложение не в текстовом формате было извлечено…
Имя     : GSW2.jpg
Тип     : image/jpeg
Размер  : 26229 байтов
Описание: отсутствует
Url     : http://weborto.net:8080/pipermail/ortho/attachments/20200121/84ea9d55/attachment-0034.jpg 
-----------   -----------
Вложение не в текстовом формате было извлечено…
Имя     : GSW3.jpg
Тип     : image/jpeg
Размер  : 125540 байтов
Описание: отсутствует
Url     : http://weborto.net:8080/pipermail/ortho/attachments/20200121/84ea9d55/attachment-0035.jpg 
-----------   -----------
Вложение не в текстовом формате было извлечено…
Имя     : GSW4.jpg
Тип     : image/jpeg
Размер  : 73936 байтов
Описание: отсутствует
Url     : http://weborto.net:8080/pipermail/ortho/attachments/20200121/84ea9d55/attachment-0036.jpg 
-----------   -----------
Вложение не в текстовом формате было извлечено…
Имя     : GSW10.jpg
Тип     : image/jpeg
Размер  : 80466 байтов
Описание: отсутствует
Url     : http://weborto.net:8080/pipermail/ortho/attachments/20200121/84ea9d55/attachment-0037.jpg 
-----------   -----------
Вложение не в текстовом формате было извлечено…
Имя     : GSW11.jpg
Тип     : image/jpeg
Размер  : 49458 байтов
Описание: отсутствует
Url     : http://weborto.net:8080/pipermail/ortho/attachments/20200121/84ea9d55/attachment-0038.jpg 
-----------   -----------
Вложение не в текстовом формате было извлечено…
Имя     : GSW12.jpg
Тип     : image/jpeg
Размер  : 231441 байтов
Описание: отсутствует
Url     : http://weborto.net:8080/pipermail/ortho/attachments/20200121/84ea9d55/attachment-0039.jpg 
-----------   -----------
Вложение не в текстовом формате было извлечено…
Имя     : GSW13.jpg
Тип     : image/jpeg
Размер  : 151349 байтов
Описание: отсутствует
Url     : http://weborto.net:8080/pipermail/ortho/attachments/20200121/84ea9d55/attachment-0040.jpg 
-----------   -----------
Вложение не в текстовом формате было извлечено…
Имя     : GSW14.jpg
Тип     : image/jpeg
Размер  : 97061 байтов
Описание: отсутствует
Url     : http://weborto.net:8080/pipermail/ortho/attachments/20200121/84ea9d55/attachment-0041.jpg 
-----------   -----------
Вложение не в текстовом формате было извлечено…
Имя     : GSW15.jpg
Тип     : image/jpeg
Размер  : 91870 байтов
Описание: отсутствует
Url     : http://weborto.net:8080/pipermail/ortho/attachments/20200121/84ea9d55/attachment-0042.jpg 
-----------   -----------
Вложение не в текстовом формате было извлечено…
Имя     : GSW22.jpg
Тип     : image/jpeg
Размер  : 255990 байтов
Описание: отсутствует
Url     : http://weborto.net:8080/pipermail/ortho/attachments/20200121/84ea9d55/attachment-0043.jpg 
-----------   -----------
Вложение не в текстовом формате было извлечено…
Имя     : GSW23.jpg
Тип     : image/jpeg
Размер  : 407209 байтов
Описание: отсутствует
Url     : http://weborto.net:8080/pipermail/ortho/attachments/20200121/84ea9d55/attachment-0044.jpg 
-----------   -----------
Вложение не в текстовом формате было извлечено…
Имя     : GSW24.jpg
Тип     : image/jpeg
Размер  : 406773 байтов
Описание: отсутствует
Url     : http://weborto.net:8080/pipermail/ortho/attachments/20200121/84ea9d55/attachment-0045.jpg 
-----------   -----------
Вложение не в текстовом формате было извлечено…
Имя     : GSW30.jpg
Тип     : image/jpeg
Размер  : 277439 байтов
Описание: отсутствует
Url     : http://weborto.net:8080/pipermail/ortho/attachments/20200121/84ea9d55/attachment-0046.jpg 
-----------   -----------
Вложение не в текстовом формате было извлечено…
Имя     : GSW32.jpg
Тип     : image/jpeg
Размер  : 163326 байтов
Описание: отсутствует
Url     : http://weborto.net:8080/pipermail/ortho/attachments/20200121/84ea9d55/attachment-0047.jpg 
-----------   -----------
Вложение не в текстовом формате было извлечено…
Имя     : GSW33.jpg
Тип     : image/jpeg
Размер  : 296073 байтов
Описание: отсутствует
Url     : http://weborto.net:8080/pipermail/ortho/attachments/20200121/84ea9d55/attachment-0048.jpg 
-----------   -----------
Вложение не в текстовом формате было извлечено…
Имя     : GSW36.jpg
Тип     : image/jpeg
Размер  : 205034 байтов
Описание: отсутствует
Url     : http://weborto.net:8080/pipermail/ortho/attachments/20200121/84ea9d55/attachment-0049.jpg 
-----------   -----------
Вложение не в текстовом формате было извлечено…
Имя     : GSW37.jpg
Тип     : image/jpeg
Размер  : 282983 байтов
Описание: отсутствует
Url     : http://weborto.net:8080/pipermail/ortho/attachments/20200121/84ea9d55/attachment-0050.jpg 
-----------   -----------
Вложение не в текстовом формате было извлечено…
Имя     : GSW38.jpg
Тип     : image/jpeg
Размер  : 67467 байтов
Описание: отсутствует
Url     : http://weborto.net:8080/pipermail/ortho/attachments/20200121/84ea9d55/attachment-0051.jpg 
-----------   -----------
Вложение не в текстовом формате было извлечено…
Имя     : GSW42.jpg
Тип     : image/jpeg
Размер  : 60449 байтов
Описание: отсутствует
Url     : http://weborto.net:8080/pipermail/ortho/attachments/20200121/84ea9d55/attachment-0052.jpg 
-----------   -----------
Вложение не в текстовом формате было извлечено…
Имя     : GSW43.jpg
Тип     : image/jpeg
Размер  : 283430 байтов
Описание: отсутствует
Url     : http://weborto.net:8080/pipermail/ortho/attachments/20200121/84ea9d55/attachment-0053.jpg 
-----------   -----------
Вложение не в текстовом формате было извлечено…
Имя     : GSW44.jpg
Тип     : image/jpeg
Размер  : 300957 байтов
Описание: отсутствует
Url     : http://weborto.net:8080/pipermail/ortho/attachments/20200121/84ea9d55/attachment-0054.jpg 
-----------   -----------
Вложение не в текстовом формате было извлечено…
Имя     : GSW45.jpg
Тип     : image/jpeg
Размер  : 88187 байтов
Описание: отсутствует
Url     : http://weborto.net:8080/pipermail/ortho/attachments/20200121/84ea9d55/attachment-0055.jpg 
-----------   -----------
Вложение не в текстовом формате было извлечено…
Имя     : GSW50.jpg
Тип     : image/jpeg
Размер  : 120236 байтов
Описание: отсутствует
Url     : http://weborto.net:8080/pipermail/ortho/attachments/20200121/84ea9d55/attachment-0056.jpg 
-----------   -----------
Вложение не в текстовом формате было извлечено…
Имя     : GSW51.jpg
Тип     : image/jpeg
Размер  : 129343 байтов
Описание: отсутствует
Url     : http://weborto.net:8080/pipermail/ortho/attachments/20200121/84ea9d55/attachment-0057.jpg 
-----------   -----------
Вложение не в текстовом формате было извлечено…
Имя     : GSW52.jpg
Тип     : image/jpeg
Размер  : 78549 байтов
Описание: отсутствует
Url     : http://weborto.net:8080/pipermail/ortho/attachments/20200121/84ea9d55/attachment-0058.jpg 
-----------   -----------
Вложение не в текстовом формате было извлечено…
Имя     : GSW53.jpg
Тип     : image/jpeg
Размер  : 15083 байтов
Описание: отсутствует
Url     : http://weborto.net:8080/pipermail/ortho/attachments/20200121/84ea9d55/attachment-0059.jpg 
-----------   -----------
Вложение не в текстовом формате было извлечено…
Имя     : GSW57.jpg
Тип     : image/jpeg
Размер  : 61070 байтов
Описание: отсутствует
Url     : http://weborto.net:8080/pipermail/ortho/attachments/20200121/84ea9d55/attachment-0060.jpg 
-----------   -----------
Вложение не в текстовом формате было извлечено…
Имя     : GSW58.jpg
Тип     : image/jpeg
Размер  : 67604 байтов
Описание: отсутствует
Url     : http://weborto.net:8080/pipermail/ortho/attachments/20200121/84ea9d55/attachment-0061.jpg 
-----------   -----------
Вложение не в текстовом формате было извлечено…
Имя     : GSW60.jpg
Тип     : image/jpeg
Размер  : 39987 байтов
Описание: отсутствует
Url     : http://weborto.net:8080/pipermail/ortho/attachments/20200121/84ea9d55/attachment-0062.jpg 
-----------   -----------
Вложение не в текстовом формате было извлечено…
Имя     : GSW61.jpg
Тип     : image/jpeg
Размер  : 41620 байтов
Описание: отсутствует
Url     : http://weborto.net:8080/pipermail/ortho/attachments/20200121/84ea9d55/attachment-0063.jpg 
-----------   -----------
Вложение не в текстовом формате было извлечено…
Имя     : GSW63.jpg
Тип     : image/jpeg
Размер  : 52881 байтов
Описание: отсутствует
Url     : http://weborto.net:8080/pipermail/ortho/attachments/20200121/84ea9d55/attachment-0064.jpg 
-----------   -----------
Вложение не в текстовом формате было извлечено…
Имя     : GSW64.jpg
Тип     : image/jpeg
Размер  : 44248 байтов
Описание: отсутствует
Url     : http://weborto.net:8080/pipermail/ortho/attachments/20200121/84ea9d55/attachment-0065.jpg 


Ortho