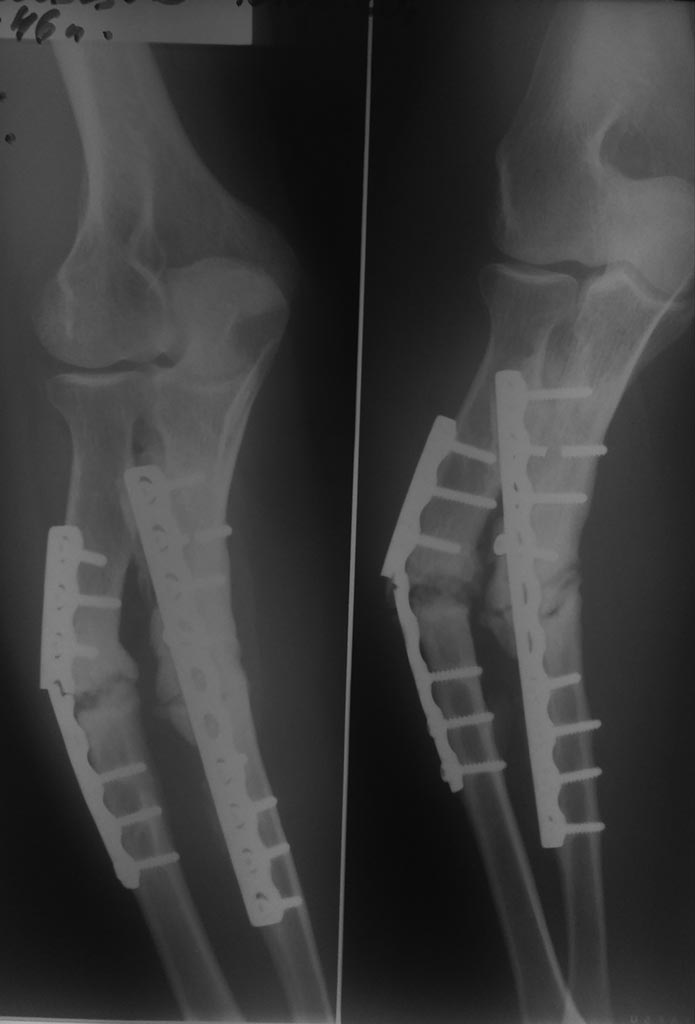
[Ortho] Ложный сустав обеих костей предплечья, несостоятельность остеосинтеза

������ orthoforum на weborto.net
Чт Мар 12 14:59:39 YEKT 2020


Снимок
Андрей

----------- следущая часть -----------
Вложение не в текстовом формате было извлечено…
Имя     : P_20200310_131019_1.jpg
Тип     : image/jpeg
Размер  : 45507 байтов
Описание: отсутствует
Url     : http://weborto.net:8080/pipermail/ortho/attachments/20200312/74f18ffa/attachment-0002.jpg 
----------- следущая часть -----------
Вложение не в текстовом формате было извлечено…
Имя     : P_20200312_133517_1.jpg
Тип     : image/jpeg
Размер  : 54949 байтов
Описание: отсутствует
Url     : http://weborto.net:8080/pipermail/ortho/attachments/20200312/74f18ffa/attachment-0003.jpg 


Подробная информация о списке рассылки Ortho