[Ortho] Перелом лучевой кости

���������� orthoforum на weborto.net
Чт Май 14 17:52:22 YEKST 2020


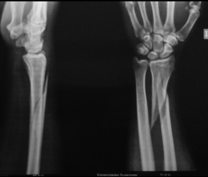
Уважаемые коллеги, прошу совета по погружному остеосинтезу перелома 
лучевой кости.

Пациент: здоровый мужчина, слегка повышенного питания.
Вопросы такие: какие конструкции и из какого доступа, вы бы 
посоветовали? Желательно, несколько вариантов.
Константин

----------- следущая часть -----------
Вложение не в текстовом формате было извлечено…
Имя     : IMG_20200511_154412.jpg
Тип     : image/jpeg
Размер  : 42981 байтов
Описание: отсутствует
Url     : http://weborto.net:8080/pipermail/ortho/attachments/20200514/7f6fb6b8/attachment-0001.jpg 


Подробная информация о списке рассылки Ortho