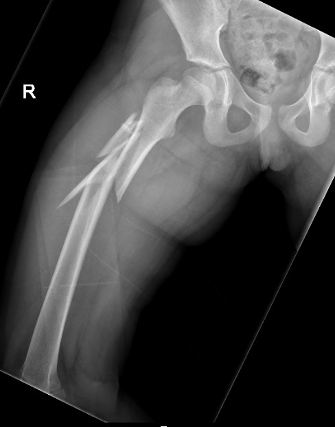
[Ortho] Перелом бедра, девочка 11 лет

Alexander Chelnokov orthoforum на weborto.net
Пн Ноя 23 23:41:32 YEKT 2020


Приветствую, коллеги
Поступила пациентка 11 лет после падения с электросамоката.
Других повреждений нет.

Перелом закрытый. Какой вариант фиксации оптимален, на ваш взгляд?
Alexander Chelnokov


----------- следущая часть -----------
Вложение не в текстовом формате было извлечено…
Имя     : Снимок экрана 2020-11-23 в 20.30.02.jpg
Тип     : image/jpeg
Размер  : 45334 байтов
Описание: отсутствует
Url     : http://weborto.net:8080/pipermail/ortho/attachments/20201123/8ebec69d/attachment-0001.jpg 


Подробная информация о списке рассылки Ortho