[Ortho] Репозиция

������ orthoforum на weborto.net
Пн Фев 1 14:16:21 YEKT 2021


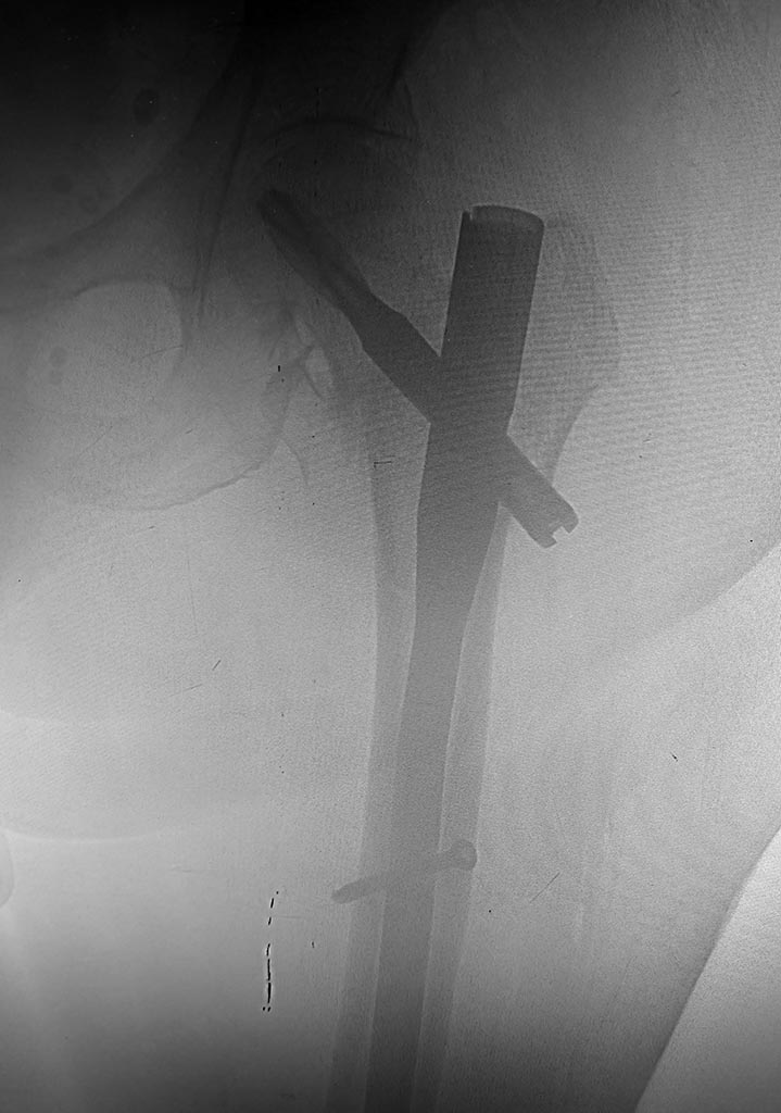
Использовали полер-спицы для форммрования канала и винт Шанца для 
удержания отломка б.вертела при заведении гвоздя.
Сергей


----------- следущая часть -----------
Вложение не в текстовом формате было извлечено…
Имя     : 2.jpg
Тип     : image/jpeg
Размер  : 91589 байтов
Описание: отсутствует
Url     : http://weborto.net:8080/pipermail/ortho/attachments/20210201/8a91d0aa/attachment-0002.jpg 
----------- следущая часть -----------
Вложение не в текстовом формате было извлечено…
Имя     : 3.jpg
Тип     : image/jpeg
Размер  : 145257 байтов
Описание: отсутствует
Url     : http://weborto.net:8080/pipermail/ortho/attachments/20210201/8a91d0aa/attachment-0003.jpg 


Подробная информация о списке рассылки Ortho