[Ortho] синтез или э/протезирование?

������ orthoforum на weborto.net
Пн Фев 1 14:14:47 YEKT 2021


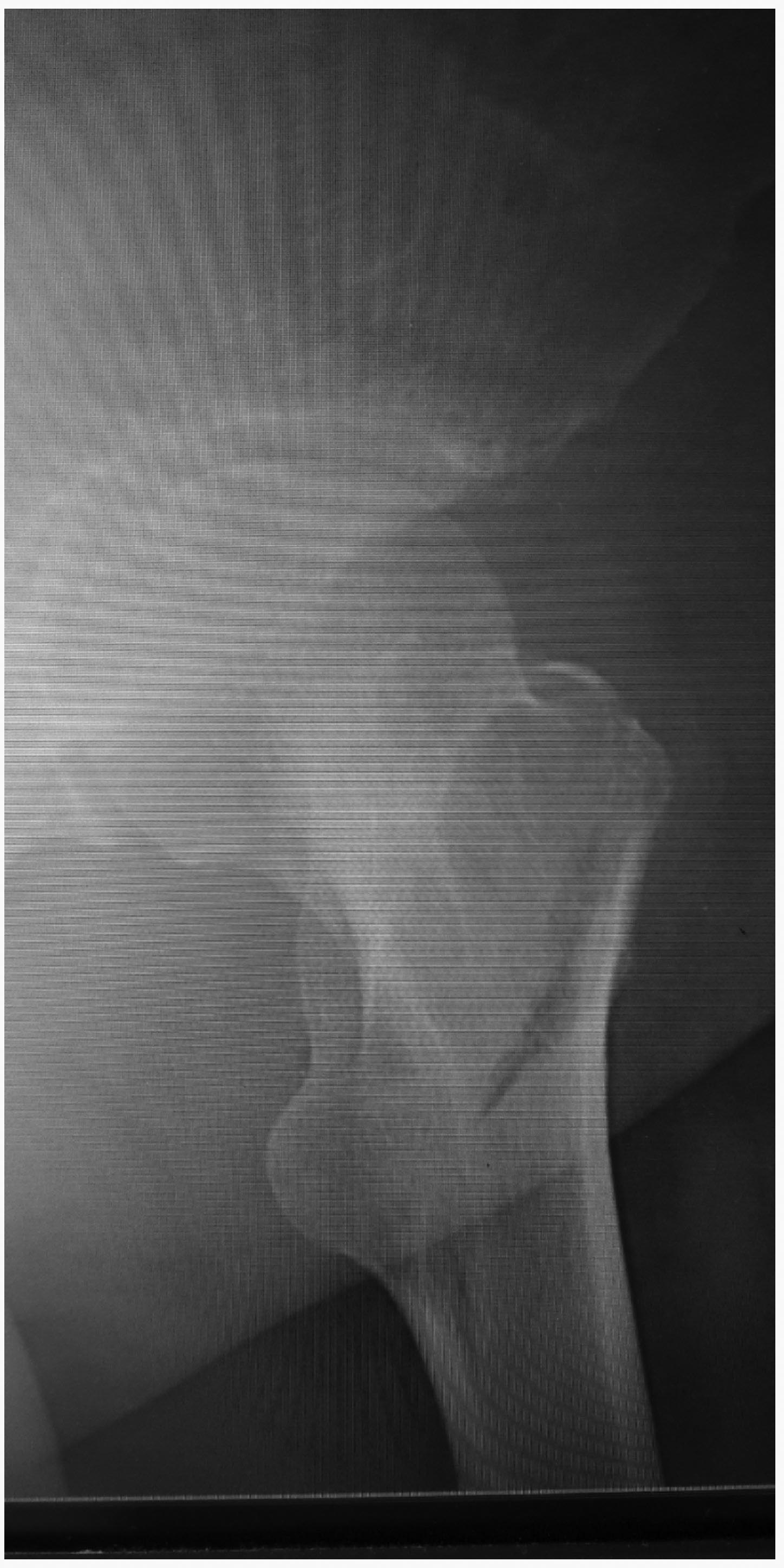
рентгенограммы

Сергей

----------- следущая часть -----------
Вложение не в текстовом формате было извлечено…
Имя     : 20210114_173255.jpg
Тип     : image/jpeg
Размер  : 316716 байтов
Описание: отсутствует
Url     : http://weborto.net:8080/pipermail/ortho/attachments/20210201/3902f88a/attachment-0002.jpg 
----------- следущая часть -----------
Вложение не в текстовом формате было извлечено…
Имя     : 20210114_174639.jpg
Тип     : image/jpeg
Размер  : 295840 байтов
Описание: отсутствует
Url     : http://weborto.net:8080/pipermail/ortho/attachments/20210201/3902f88a/attachment-0003.jpg 


Подробная информация о списке рассылки Ortho