[Periprosthetic] ППП(перипротезный перелом) Швайкина

Alexander Chelnokov alex61 на gmail.com
Чт Июн 23 13:44:10 YEKST 2016


Приветствую

23 июня 2016 г., 6:23 пользователь Владимир Фролов <fvp-15 at yandex.ru>
написал:

>
> Спасибо за чертеж. Он соответствует тому, который есть у нас, но это
> старая конструкция. Мы ее потом дорабатывали.
> Похожие ножки, только других размеров, были у Тараканова (октябрь 2014г.)
> и Марининой (декабрь 2013г).
>

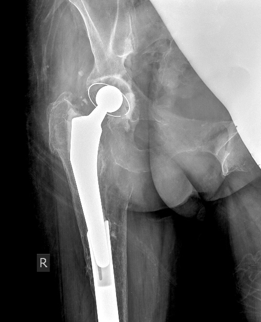
У Марининой получилось не совсем идеально - ножка не села в эти канавки.
Картинка (2 года в приложении) - видно, что пропил в гвозде не по центру
ножки. С полностью эллиптическим пазом под ножку этого не могло произойти,
гвоздь "автоматически" поворачивался (или ножка поворачивалась)
соответственно плоскости ножки.

-- 
Best regards,
 Alexander N. Chelnokov
-------------- next part --------------
An HTML attachment was scrubbed...
URL: http://weborto.net:8080/pipermail/periprosthetic/attachments/20160623/2c7354f3/attachment-0001.htm 
-------------- next part --------------
A non-text attachment was scrubbed...
Name: Маринина 2 года.jpg
Type: image/jpeg
Size: 97229 bytes
Desc: not available
Url : http://weborto.net:8080/pipermail/periprosthetic/attachments/20160623/2c7354f3/attachment-0001.jpg 


Подробная информация о списке рассылки Periprosthetic