AOTRAUMA.ORG Центр Илизарова  

Ортопедия и травматология Общие вопросы/General questions Help Информационные технологии в медицине
 вверх
 отправить
 поиск
 админ
 главная


Перелом и вывих плеча
Ортопедия и травматология Отправлено Alexander Chelnokov 15 Апрель 2002, 09:54
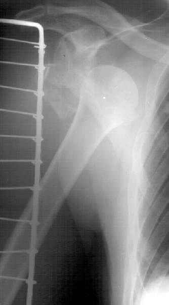
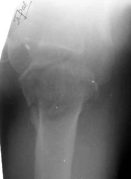
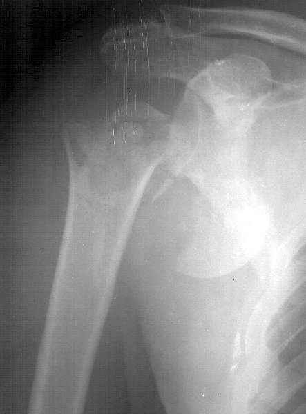
Мужчина 61 г., получил 6.04.02 в ДТП (лобовое столкновение) вывих плеча с переломом большого бугорка и не бросающимся в глаза переломоманатомической шейки (см здесь ). В ЦРБ под в/в наркозом дежурный врач (ЛОР по специальности) попытался вправить плечо. Контрольный снимок
сделан через день (фас, аксиальная). Из сопутствующей патологии - болезнь Рейно, 2 года назад какая-то сосудистая операция (выписки нет, 15 см рубец под мышкой), от которой положительного эффекта не отметил.Есть холодность и мраморность предплечья и кисти, стойкие контрактуры пальцев. Эндопротезирование плечевого сустава в число доступных методик не входит. Намереваемся сделать открытую репозицию и фиксировать пластинкой, если будет нестабильность, то и спицами трансартикулярно. Очевидно, что есть высокий риск аваскулярного некроза головки, о чем пациент предупрежден. Есть ли альтернативы такому плану? Может быть, какая-то подвешивающая операция тут предпочтительнее, или дополнить остеосинтез подвешиванием плеча к акромиону? Или вообще не оперировать, а пойти на раннюю функцию по стихании болевого синдрома? Заранее спасибо. -- Best regards, Alexander N. Chelnokov

<  |  >

 

  • Сообщения о Ортопедия и травматология
  • Также Alexander Chelnokov
  • Связаться с автором
  • Ответить

    Powered by Zope  Squishdot Powered MedLink
    Посетитель: 0168821
      "По форме правильно, а по существу - издевательство" В.И.Ленин
    ©2001-2019Orthoforum Coordinator.
    [ Главная | Отправить сообщение | Поиск | Админ ]