AOTRAUMA.ORG Центр Илизарова  

Ортопедия и травматология Общие вопросы/General questions Help Информационные технологии в медицине
 вверх
 отправить
 поиск
 админ
 главная


Некроз головки плеча?
Ортопедия и травматология Отправлено Alexander Chelnokov 29 Январь 2003, 18:32
12
34
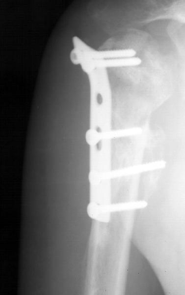
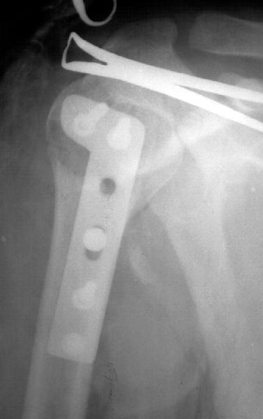
Мужчина 25 лет 16 августа 2002 г. в автоаварии получил перелом шейки плеча (снимок 1); 5 сентября в городской больнице выполнен остеосинтез пластинкой (снимок 2).К настоящему времени попал к нам на разработку ввиду выраженной контрактуры плечевого сустава. В течение последнего месяца беспокоят умеренные боли в области плечевого сустава, усиливающиеся при разработке, еще и торчит край пластинки. Нынешняя рентгенологическаякартина на снимках 3 и 4. Головка плеча уменьшается, сращение сомнительное.Кроме удаления пластинки, что еще на сегодня целесообразно сделать?Заранее спасибо.


<  |  >

 

  • Сообщения о Ортопедия и травматология
  • Также Alexander Chelnokov
  • Связаться с автором
  • Ответить

    Re: Некроз головки плеча?
    Й.Воск 30 Январь 2003, 08:10
    Дорогие коллеги,
    По поводу перелома шейки плеча. Случай действительно удивительный. Вначале дело шло о лечении очень обычного перелома, прекрасно заживающего в 4-6 недель иммобилизации обычной анти-ротационной повязкой ( Вельпо).
    1.Операция сделана через 3 недели после перелома, когда в месте перелома был уже фиброз - так это происходит нормально у молодого 25 лет человека и так мне видно на Х-фильме АР ( антеро-постериор). Решение оперировать в этот период абсолютно непонятно. Если решил сделать внутреннюю фиксацию, делай её до конца первой недели, а лучше в первые 3-4 дня. Решил лечить
    консервативно - проводи это лечение до явных признаков сращения или ложного сустава. После 3 недель, для осуществления внут. фиксации уже необходимо открыть и зачистить до живой кости фрагменты перелома, т.е. проводить внутри-суставную операцию, очень проблематичную для судьбы плечевого сустава. По-моему, наложению пластины зачистка перелома не предшествовала.
    2.Пластинка , на мой взгляд, худшее решение для перелома шейки плеча. Сама пластинка слишком груба и массивна, целая слесарня в очень чувствительной для повреждений суставе.
    3. Разработка "с крикаином", на мой взгляд худший способ стабилизировать обстановку и привести сустав в приемлимое функциональное состояние. Обычно это усиливает тугоподвижность и болевой синдром типа шейно-плечевой
    плексалгии и плексо-патии.
    4. Думаю, надо срочно избавиться от железа, поставить плечо на пару недель в отводящую повязку и сразу после сооружения повязки инфильтрировать лидокаином+дипроспаном корешки С4-5-6-7 на стороне перелома. Я использую для таких инфильтраций район внутреннего угла лопатки - не требуется операционной, процедура проста и безопасна. Мне не приходилось делать более 2 инфильтраций и не чаще раза в 2 недели. После этого- активная разработка ручными работами и плаванием.

    Й.Воск
    [ Ответить ]

    Re: Некроз головки плеча?
    Evgueny Tchekashkine 30 Январь 2003, 08:13
    Согласен с вашим мнением -асептический некроз головки плеча. Есть ли у вас надежды на реваскуляризацию головки ? Если надеетесь, то имеет смысл продолжать физио, если нет, то следует думать опротезировании.
    Переломовывих плеча сложная проблема и технически не уверен как для коллег, но для меня сколько я не встречался, технически сложно *вытянуть* вывихнутую головку из-под впадины. Последнее время не применяю пластины для фиксации перелома, а использую спицы и проволочную петлю (тем более часто и густо спонгиозные винты не держатся в головке прочно).

    Успехов, Евгений Чекашкин










    1

    2

    3


    [ Ответить ]

    • Re: Некроз головки плеча?
      Отправитель: Владимир 10 Март 2003, 02:04
      Интересный метод остеосинтеза !
      А на сколько он стабилен ?Не происходит ли миграция спиц? Какое количество наблюдений у Вас Евгений? Почему нельзя использовать только проволоку (сформировав для этого туннели в проксимальном и дистальном фрагменте ).

      [ Ответить ]
      • Re: Некроз головки плеча?
        Отправитель: Evgueny Tchekashkine 12 Март 2003, 17:10
        Интересный метод остеосинтеза !
        Добавил бы к вашим комментариям ещё - дёшево надежно и мало травматично.
        Момент , который следует учитывать при использовании такого рода фиксации - необходимо быть уверенным , что спицы не проникают в сустав, поэтому полезно пользоваться ЭОпом для контроля или интраоперационными рентгенограммами
        перед ушиванием раны.
        А на сколько он стабилен ?
        Фиксация получается достаточно стабильная, правда мои заключения основаны только на клинических наблюдениях, возможности протестировать прочность фиксации в лабораторных условиях нет. Я не автор данного типа фиксации в основе его лежит принцип напряженной фиксации (Weber tension Band fixation). Когда-то у нас использовали фиксатор проф Сеппо при переломах
        шейки бедра - принцип работы аналогичен, только менее громоздкие элементы конструкции и более доступные для применения в любых условиях.
        Не происходит ли миграция спиц?
        Я использую обычные 2 мм спицы и пока в 8 случаях , что применял подобную фиксацию миграции не было, хотя вполне вероятна такая возможность и видимо оптимальнее использовать спицы с резьбой на конце, что должно предотвратить потенциальный риск миграции. Хотя если спица начинает пальпироваться под кожей и доставлять неудобство больному, то её легко удалить в условиях перевязочной. На мой взгляд миграция спицы мложет произойти только тогда,
        когда пациент начинает активно работать рукой, к этому времени перелом уже срастется, поэтому опасности скомпрометировать стабильность фиксации уже не будет.
        Почему нельзя использовать только проволоку (сформировав для этого туннели в проксимальном и дистальном фрагменте ).
        Я такой же практик как и Вы, поэтому решать можно или нельзя использовать только проволочную петлю решать Вам, хотя на мой взгляд, обычная проволочная петля не создает многоплоскостной стабильности фиксации, а только лишь в плоскости проведенных отверстий в проксимальном и дистальном фрагментах и другой момент зачастую такие переломы случаются у пожилых людей с порозной костью, тогда, как понимаете, проволочная петля может легко прорезаться через кость и не о какой стабильной фиксации уже речи быть не может в то время как спицы держаться в порозной кости тем более, что при такой фиксации создается момент силы, направленный не на вытягивание спицы из кости.

        [ Ответить ]
    Re: Некроз головки плеча?
    Abdelsalam Eid 31 Январь 2003, 15:32
    I think the AVN is at least stage 3 with deformity of the head. I would advise a removal of implant and a cementless humeral head replacement. Or if you have the experience and the implant, as well as adequate bone stock, maybe a resurfacing prosthesis like the Copeland shoulder. I am not sure if you can do it one or two stages. You can perhaps do it in one stage if there is no sign of infection and if the patient condition allows it. You should not worry too much about age since this is a non
    weight bearing joint. If done well and no complications you could probably give him 15 years of painless mobile shoulder or even more.

    Good luck
    Abdelsalam Eid
    Assistant Lecturer
    Zagazig University
    Egypt
    [ Ответить ]

    Re: Некроз головки плеча?
    Hannan Mullett 01 Февраль 2003, 22:46
    The current xrays indicate failure of the implant with losening. I would make sure there was no evidence of infection ( exam,ESR,CRP etc.) . I would agree with implant removal . I think this would be a suitable case for a circular ring fixator and compression, either a standard IIizarov or Taylor Spatial frame would be appropriate. I note from your previous cases that you have a high level of experience with this method.

    All the best
    Hannan Mullett
    Tallaght Hospital
    Dublin,Ireland.
    [ Ответить ]

    Re: Некроз головки плеча?
    Hannan Mullett 07 Февраль 2003, 14:12
    One could perform MRI following implant removal. However I think Compresion or a combination of compression and distraction using IIizarov would give the best chance of preserving the native head even if there is AVN present.

    All the best
    Hannan
    [ Ответить ]

    Re: Некроз головки плеча?
    Андрей 15 Март 2003, 02:06
    Думаю, что надо удалять железо с одновременной ревизией ротаторной манжеты и субакромиального пространства. При необходимости - акромиопластика. А вообще, прогноз сомнительный. На западе в конечном итоге такое кончается эндопротезированием.
    У меня было 2 похожих случая - обошлось акромиопластикой. Результат - терпимый( абд. -80*).
    С ув. Андрей.
    [ Ответить ]


    ( Ответить )

    Powered by Zope  Squishdot Powered MedLink
    Посетитель: 0161051
      "По форме правильно, а по существу - издевательство" В.И.Ленин
    ©2001-2019Orthoforum Coordinator.
    [ Главная | Отправить сообщение | Поиск | Админ ]