вверх
отправить
поиск
админ
главная
|
Перелом бедра с эндопротезом |
 |
 |
 |
Отправлено Сергей Зырянов 19 Май 2003, 19:39
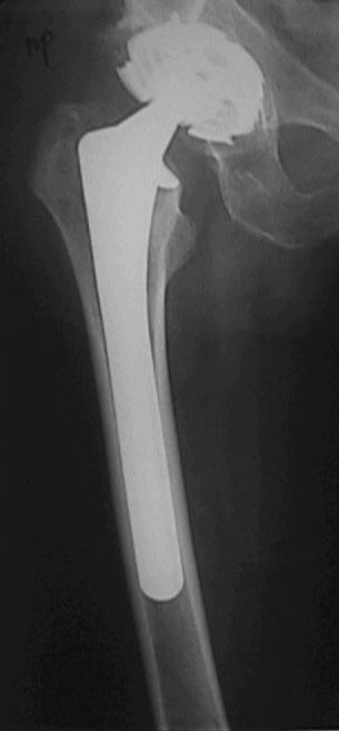
Больной оперирован в конце марта 2003 НИИТО г. Новосибирск. Не замечен перелом бедра р-ма 1.- 2 . (сделанных в НИИТО). Больному рекомендовали ходить приступая на конечность, отмечает усиление болей, появление укорочения.На контрольных рентгенограммах 19.05.03 рис 3 имеется перелом бедра со смещением, появлением периостальной мозоли. Больной ходит на костылях, приступая на конечность. Сгибание в т\б суставе 90 гр , сгибание в коленном суставе до 90 гр в положении стоя на костылях.Есть несколько вариантов.1. Провести открытую репозицию фиксацию пластиной с проведением винтов на уровне ножки протеза через кортикальный слой.2.Провести открытую репозицию фиксацию винтами с межфрагментарной компрессией. Думаем, как выполнить репозицию перелома по длине.3. Наложить кокситную повязку до окончательного сращения перелома4. Провести скелетное вытяжение репозицию.Сергей ЗыряновНовосибирская область г. Куйбышев ЦРБ
<
|
>
|
|
Ответить
|
Re: Перелом бедра с эндопротезом
Владимир Святенко 19 Май 2003, 22:08
|
Уважаемый Сергей Зырянов !
Не претендуя на оригинальность Позволю себе высказать мнение:
>1. Провести открытую репозицию фиксацию пластиной с проведением винтов на уровне ножки протеза через кортикальный слой.
Необходимо произвести открытую репозицию и фиксацию пластиной с проведением шурупов через оба кортикальных слоя до уровня конца ножки протеза ( на проксимальном фрагменте ,очевидно, возможно до трех шурупов ), далее - несколько, только в один кортикальный слой;
>2.Провести открытую репозицию фиксацию винтами с межфрагментарной компрессией. Думаем, как выполнить репозицию перелома по длине.
Не понятно, что Вы имеете ввиду под" межфрагментарной компрессией", репозицию по длине выполнить , думаю, удасться, с небольшим трудом ( по имеющимся RTG консолидация и мозоль не очень выражены );
>3. Наложить кокситную повязку до окончательного сращения перелома
Возможно при не желании провести операцию или невозможности по какой либо причине ( сопутствующая патология в настощее время , отсутствие адекватной металлоконструкции ), исход возможен не плохой, но пролонгирован ( очень );
>4. Провести скелетное вытяжение репозицию.
Думаю, не целесообразно, т.к. репозиция не удасться ( см. признаки имеющейся консолидации ), консолидация будет медленной, как и при кокситной повязке, но больной сможет находиться дома ( в случае N 3 );
Интересно, RTG-контроль после протезирования проведен только у Вас,при выписке RTG-контроль не был проведен ( или перелом не замечен ?)
С уважением, Владимир Святенко.
|
[
Ответить ]
|
Re: Перелом бедра с эндопротезом
Отправитель: Сергей Зырянов 22 Май 2003, 11:06
|
>Непонятно, что Вы имеете в виду под" межфрагментарной компрессией
Выражусь точнее фиксация стягивающими винтами, создание межфрагментарной компрессии(Межфрагментарная компрессия (эффект ее): Статическая сила сжатия, приложенная к зоне перелома, стабилизирует фрагменты и, таким образом, уменьшает раздражение. (Miiller et al. 1974).
>Интересно, RTG-контроль после протезирования проведен только у Вас, при выписке RTG-контроль не был проведен (или перелом не замечен?)
Рис-2 сделаны в НИИто через неделю после операции
Сергей Зырянов
Новосибирская область г. Куйбышев ЦРБ
|
[
Ответить ]
|
|
Re: Перелом бедра с эндопротезом
Anatoly A. Yakushin 20 Май 2003, 22:22
|
Вы знаете, коллега, любой предложенный Вами вариант имеет право на существование. Все зависит от конкретных условий.
Лично я выбрал бы остеосинтез пластиной АО с использованием специальных петель для проволочного серкляжа, вставляемых в отверстия пластины. Хотя в данном случае расстояние в проксимальном фрагменте до ножки эндопротеза, на мой взгляд достаточно для стабильной фиксации. Верхние винты можно провести через кортикальный слой.
--
Rgrds,
Anatoly A. Yakushin
Orthopaedic departmen
Veteran's Hospital # 3
Moscow
|
[
Ответить ]
|
Re: Перелом бедра с эндопротезом
Alexander Chelnokov 21 Май 2003, 01:30
|
А насколько выражена подвижность и болезненность в месте перелома?
Насколько пациент расстроен имеющимся укорочением? Может, вообще оставить как есть? Сращение, похоже, наступит, если неожиданностей
каких-то не случится.
z> Есть несколько вариантов.
z> 1. Провести открытую репозицию фиксацию пластиной с проведением винтов на
z> уровне ножки протеза через кортикальный слой.
Если не получится вернуть пациента в клинику, где делали эндопротзирование или каким-то иным путем от него избавиться (в хорошем смысле ;-), то этот вариант выглядит наиболее рациональным.
Согласен с мнеением коллег, что на центральном отломке места достаточно для введения достаточного количества винтов ниже ножки протеза. Перед разрезом лучше бы провести спицу спереди назад в области б.вертела, вторую - в проксимальный отдел большеберцовой кости, наложить дистрактор из двух дуг аппарата Илизарова, соединенных 3-4 телескопическими стержнями, и растянуть бедро. Остеосинтез делать в этом же в дистракторе. Постараться сделать без полного скелетирования отломков, возможно, пожертвовав идеальной репозицией в пользу сохранения васкуляризции и уже имеющейся костной ткани.
|
[
Ответить ]
|
Re: Перелом бедра с эндопротезом
Ильдар Ф. Ахтямов 26 Май 2003, 09:04
|
Имел подобную неприятность у больного 30 лет после тотального эндопротезирования. Он решил покататься на коньках и получил винтообразный перелом бедра на уровне дистального конца эндопротеза. Наложил ему несколько серкляжных колец после открытой репозиции, далее фиксация кокситной гипсовой повязкой. Возможно в Вашем случае применима фиксация пластиной и винтами, поскольку центральный отломок относительно длинный, а м.б. дополнить фиксацию центрального отломка и секляжными кольцами. АИФ.
|
[
Ответить ]
|
Re: Перелом бедра с эндопротезом
Святенко Владимир 18 Июнь 2003, 22:47
|
Уважаемый г-н Зырянов !
Каков результат лечения Вашего больного ?
Если возможно, предоставте RTG.
С уважением, Святенко Владимир.
|
[
Ответить ]
|
Re: Перелом бедра с эндопротезом
Федор 12 Июль 2009, 01:54
|
Все верно.
|
[
Ответить ]
|
( Ответить )
|
|