AOTRAUMA.ORG Центр Илизарова  

Ортопедия и травматология Общие вопросы/General questions Help Информационные технологии в медицине
 вверх
 отправить
 поиск
 админ
 главная


Ятрогенный перелом
Ортопедия и травматология Отправлено Alexander Chelnokov 17 Июнь 2003, 08:14
26.07.2002
Делали остеосинтез большеберцовой кости гвоздем мужчине 30 лет, 2 недели после травмы, открытый 2Б перелом в нижней трети. Уже когда увезли из операционной, на ополнительном снимке выявился перелом метафиза. Завтра надо будет фиксировать.
У нас первое такое осложнение, из где-то 80 случаев за полтора года. Еще и гвоздь вводила клинический ординатор, изящная девочка, у меня все руки чесались у нее молоток забрать да треснуть посильнее.Отчего случился перелом, как полагаете? И как лучше вести его? Планирую наложить аппаратик, после репозиции ввести винт в 45-градусное отверстие. может быть, дополнить еще 1-2 межфрагментарными винтами.

<  |  >

 

  • Сообщения о Ортопедия и травматология
  • Также Alexander Chelnokov
  • Связаться с автором
  • Ответить

    Re: Ятрогенный перелом
    Peter Trafton 17 Июнь 2003, 17:07
    I don't think I've seen such a proximal tibial fracture ? through nail entry site in many more than 80 IM nailings. How did you prepare the entry and introduce the nail? Any information that might help us avoid similar problems? Presumably no evidence of fracture there before?

    I'm not sure the 45 degree screw (I assume through the nail) would do much good - too low.

    I'd fix with 2 lag screws from front to back, angled proximally, one on each side of the nail, starting low enough to have thick enough bone anteriorly. I'd probably use a posteromedial plate to "neutralize", but imagine the same could be done with an ex fix.

    Good luck,

    Peter Trafton
    Rhode Island Hospital

    [ Ответить ]

    • Re: Ятрогенный перелом
      Отправитель: Alexander Chelnokov 18 Июнь 2003, 20:42
      PT> nail entry site in many more than 80 IM nailings.

      My colleagues attended AO basic course recently reported about a half such fractures on artificial bones used at a workshop on the technique :-)

      PT> How did you prepare the entry and introduce the nail?

      As usual by an awl. I assisted our resident, a very graceful and subtle girl so all looked very gently and delicate. All the surgery may hands was itching to take away the hammer and show her what is a real impact...

      PT> Any information that might help us avoid similar problems?

      Intuitively i suppose two probable reasons - too low entry hole and the awl wasn't penetrated deep enough.

      PT> Presumably no evidence of fracture there before?

      Exactly. Except no complaints about the site before the surgery.

      PT> I'm not sure the 45 degree screw (I assume through the nail) would

      [...]

      PT> do much imagine the same could be done with an ex fix.

      Agree. THX for the suggestion, it supported my plan. Xrays in the next reply.

      [ Ответить ]
    Re: Ятрогенный перелом
    DR T. I. GEORGE 17 Июнь 2003, 21:41
    All of us do have complications and each of these do teach us what could go wrong so that we can attempt to prevent them in future. But for these happenings how will the text books have the section on operative complications. The "funny" thing about it is that only few are gracious enough to admit their complication and discuss them in public.

    I feel the problem could have been that the entry hole that got extended. How do you make the opening in the entry point? Do you use an awl and find your way with oscillating movements or do you use any instrument that needs banging? Other possibilty is or added factor could be that a small crack that was present during making the entry hole got extended during the nail entry with the nail impacting on the posterior cortex. Some how I make it a point to screen the lateral view during making the entry hole with an awl and nail entry number of times, since even during the most confident of times, I have seen the image betraying my confidence and found awl and nail hitting the posterior cortex.

    Having said so much, I suppose this fracture can be managed in a number of ways. An above knee slab or a cast that immobilises the knee could get the upper fracture to unite. An ex fix or long oblique screws or even a small plate could be considered. I feel any of these fixations may not be adequate to mobilse the knee confidently and hence why not just immobilisation of the knee?

    Do let us know what you have done.Best of luck.

    DR T I GEORGE.
    Head of Orthopaedics Unit III
    Little Flower Hospital,
    Angamaly,Kerala State,
    India.
    [ Ответить ]

    • Re: Ятрогенный перелом
      Отправитель: Alexander Chelnokov 18 Июнь 2003, 20:47
      DTIG> use an awl and find your way with oscillating movements

      Yes.

      DTIG> making the entry hole got extended during the nail entry with the
      DTIG> nail impacting on the posterior cortex.

      Hmmm... I didn't think of that. The nail was inserted manually for first 10-12 cm., and only further a hammer was used.

      DTIG> oblique screws or even a small plate could be considered. I feel
      DTIG> any of these fixations may not be adequate to mobilse the knee

      I suppose combination of external and minimal internal fixation would allow to mobilize the knee as well as partial WB.

      DTIG> Do let us know what you have done.Best of luck.

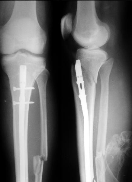
      I applied a simple Ilizarov frame, and after reduction inserted a locking screw into a 45 degree hole and two AP screws "miss a nail".
      X-rays attached.

      Кликните для загрузки файла get_image.jpg
      22KB (22846 bytes)

      [ Ответить ]
      • Re: Ятрогенный перелом
        Отправитель: James Carr 18 Июнь 2003, 20:53
        Nice bailout Alex. One cause of proximal fracture in addition to starting too distal is extending the knee during insertion. This can lever the nail against the femur. There are jigs to do full extension nailing with a more lateral starting point- I have not personally used them. Jim Carr

        James B. Carr, MD
        Palmetto Health Orthopedics
        5 Medical Park Drive
        2 West

        [ Ответить ]
    Re: Ятрогенный перелом
    Rajesh 17 Июнь 2003, 21:42
    Why not just do a couple of interfragemntary screws percutaneously, angled proximally from the distal fragment? Unless the frame will allow you to mobilise the patient weight bearing, I can't see the point in going to that extent.

    rajesh

    Dr.K.R.Rajesh,MS,DipNB,FRCS,FRCS(Orth)
    Consultant Orthopaedic surgeon
    Lords Hospital & Cosmopolitan Hospital
    Trivandrum
    India.
    [ Ответить ]

    Re: Ятрогенный перелом
    Денис Елкин 18 Июнь 2003, 10:42
    Уважаемый Александр!
    1. А Вы уверены, что перелома не было до операции? Каков был механизм травмы?
    2. Что касается тактики, то внеочаговый остеосинтез вполне логично применить в данном случае. Я бы использовал спицы с упорами с задней стороны метафиза.
    3. Кстати, а в обычных ситуациях как Вы ведете больных в послеоперационном периоде?
    [ Ответить ]

    • Re: Ятрогенный перелом
      Отправитель: Alexander Chelnokov 18 Июнь 2003, 20:49
      ДЁ> 1. А Вы уверены, что перелома не было до операции? Каков был
      ДЁ> механизм травмы?

      Cнимка с захватом этого отдела нет. Был сбит мотоциклом. Но признаков повреждения в этой зоне не было, а хоть кровоизлияние-то за две недели проступило бы...

      ДЁ> вполне логично применить в данном случае. Я бы использовал спицы с
      ДЁ> упорами с задней стороны метафиза.

      Так и сделали. Плюс винт в 45 градусное отверстие и два в передне-заднем направлении. Снимок в приложении выше.

      ДЁ> 3. Кстати, а в обычных ситуациях
      ДЁ> как Вы ведете больных в послеоперационном периоде?

      Если торцовый упор есть, то без ограничения нагрузки, если нет, то частичная нагрузка до 6-8 недель. Или какой аспект интересует?


      [ Ответить ]
    Re: Ятрогенный перелом
    Dr Gobinder Singh 18 Июнь 2003, 17:16
    I've done over a hundred of these without problems at insertion of the nail, although having the occasional usual later complications of delayed union, screw breakage, etc. Until 2 weeks ago, when my patient (and I....) suffered
    an almost exact dupicate of Alexander's posted xray. I am sure it was caused by nail impingement at the posterior cortex, using a stiff AO cannulated tibial nail. Unlike the old tibial nails, which were basisically modified
    Kuntcher-nials, these are very stiff and do not allow you to "skate off" the posterior cortex as well as before. The trick, I feel must be to over-ream the insertion point if there is any worry about the posterior cortex. I ended up
    fixing the proximal fracture with a plate laterally, plus lag screws and changed the proximal locking screw to an AP screw. Seems OK now, .....touch wood.

    Gobinder

    ___________________________
    GOBINDER SINGH, FRCS
    Consultant Orthopaedic Surgeon
    Pantai Medical Centre
    Kuala Lumpur
    Malaysia
    Fax: + 60 3 - 2283 3478
    [ Ответить ]

    Re: Ятрогенный перелом
    Святенко Владимирsvjatenko@dr.lv 18 Июнь 2003, 22:42
    Уважаемый Александр!
    Согласен с г-ом Елкиным , возможно , перелом был и до провенения операци? Метаэпифизарные переломы часто протекают клинически без выраженного отека и гематомы( личные наблюдения ), фасциальные перемычки плотнее к эпифизарным зонам, что и обусловливает особенности клинических проявлений переломов этой зоны.
    Хотелось бы увидеть RTG до проведения операции,а так же узнать характер открытого перелома (размер и проекцию раны, состояние кожного покрова). По предоставленной информации и результату лечения
    ( т.е. наличие стержня + K-D аппарат ), возможно изночально было бы целесообразно применить другой фиксатор ?
    Если допустить, что перелом произошел во время операции, сила ударов не ведущая, стержень при входе в канал шел под углом с нагрузкой на дорзальную стеку б/б кости ( угол введения ближе к 90 градусам). Имел один подобный случай в своей практике ( ятрогенный перелом при введении стержня ).
    Успехов ! Святенко Владимир.
    [ Ответить ]


    ( Ответить )

    Powered by Zope  Squishdot Powered MedLink
    Посетитель: 0176615
      "По форме правильно, а по существу - издевательство" В.И.Ленин
    ©2001-2019Orthoforum Coordinator.
    [ Главная | Отправить сообщение | Поиск | Админ ]