AOTRAUMA.ORG Центр Илизарова  

Ортопедия и травматология Общие вопросы/General questions Help Информационные технологии в медицине
 вверх
 отправить
 поиск
 админ
 главная


Клинковая пластина вырезалась
Ортопедия и травматология Отправлено Alexander Chelnokov 18 Февраль 2004, 19:43
1234
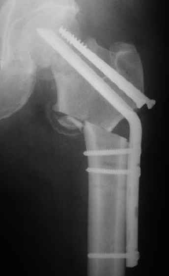
Мужчину 56 лет оперировали у нас в августе 2003 г. - вальгизируюшая остеотомия из-за позднего (через 2 мес. после травмы) поступления с переломом шейки бедра (картинки 1,2). Курильщик, соматической патологии не было. Сейчас поступил с жалобами на проблемы в области тазобедренного сустава, на снимках 3,4 видно вырезывание клинка.Чтоб можно посоветовать в этой ситуации? Заранее спасибо.
A male 56 years old was operated in Aug 2003 - valgus osteotomy performed because of delayed admission with neck fracture (2 months) images 1,2. Smoker, no other major medical problem. Now he re-admitted with the images 3,4.What would you do in the situation?THX in advance.

<  |  >

 

  • Сообщения о Ортопедия и травматология
  • Также Alexander Chelnokov
  • Связаться с автором
  • Ответить

    Re: Клинковая пластина вырезалась
    Виктор. П. Волошин 19 Февраль 2004, 00:46
    Уважаемый Александр, можно посетовать на судьбу-злодейку или на качество кости, а совет очевидный - ТЭП, это не хуже, чем при многооскольчатых переломо-вывихах. Ес-но, не с клиновидной, а с анатомической (AML,SF,Versys и проч.) ножкой. Если проксимальный отдел целый, как в этом случае, я готовлю канал раздельно в нем и в диафизе (только развертка), а потом так и штифтую на ножке.Только "тараписа ни нада".
    Желаю удачи, если есть желание что-то уточнить - всегда готов.
    В.Волошин, МОНИКИ
    [ Ответить ]

    Re: Клинковая пластина вырезалась
    Денис Елкин 19 Февраль 2004, 02:25
    По-моему, проблема не только в вырезывании клинка, но и в развитии аваскулярного (асептического) некроза головки бедра. Его развитие, кстати, представляется вполне закономерным при предпринятой тактике. Считаю наиболее рациональной тактикой сейчас удаление всех конструкций, реостеотомии (если само не развалится) на прежнем месте и тотальное эндопротезирование с использованием длинной ножки дистальной фиксации с воротником без цемента. Проксимальный фрагмент при этом будет являться аутотрансплантатом, нанизанным на ножку. После операции предписать более щадящий реабилитационный режим (ходьба с костылями месяцев до 4-х).
    [ Ответить ]

    Re: Клинковая пластина вырезалась
    Мнение 19 Февраль 2004, 02:34
    Сама собой просится идея о тотальном эндопротезировании тазобедренного сустава протезом по типу онкологического (обычный "сажать" уже некуда). Аргументы:
    1. Налицо рентгенологическая картина коксартроза. Деформирована головка, суставная щель сужена и т.д.
    2. Ждать от костных структур, которые не "сдюжили" межвертельную остеотомию с последующей достаточно серьезной фиксацией (головка, шейка, межвертельная зона), что они выдержат повторный каскад металлоконструкций - наверное, не стоит.
    3. Даже в случае удачного повтора попытки остеосинтеза прогрессирование коксартроза неизбежно, что в конечном итоге в недалеком будущем заставит задуматься о радикальном решении проблемы - эндопротезировании.
    [ Ответить ]

    Re: Клинковая пластина вырезалась
    V. M. Iyer 19 Февраль 2004, 08:01
    Real challenging case to treat now.
    Points to be thought about:
    The osteotomy seems to be showing bony union. (New bone at the medial aspect). There is a big step in the union. The distal fragment is way out laterally.There is overiding of the neck over the head. The screws are out superiorly and the blade also coming out. There is no union of the neck fracture. The head does not seem to be normal- distorted in shape and probably starting of AVN too.
    It will be a futile attempt now to get the neck fracture unite. The head has to come out and has to be replaced. Then comes the problem of the malaligned upper shaft. If it has united ( as what I think now) the union has to be undone and fragments aligned before introducing the stem.
    What I would do: The first step would be removing the implants. At that time the union status of the osteotomy will be known. Heavy skeletal traction for a couple of weeks will bring the neck inferiorly. Fresh Xray that time will also show
    the head more clearly to decide if it is worthwhile to attempt a reosteosynthesis. If yes, then insert a D H Screw into the neck and head to err on the inferior and posterior aspect) taking care that no thread is crossing the fracture site. Break the osteotomy. push the distal fragment
    medially and also abduct it and fix a 140* barrel. That way when brought to neutral position, the fracture line will become horizontal. A wedge of bone may have to be removed to have a full cortex contact and also abduction.
    If replacement is considered, the osteotomy has to be realigned as mentioned earlier.
    Possible reasons why this happened: 1) There is not sufficient purchase of the screws into the head. In fact one can see some threads crossing the fracture site. This will prevent union across. Even the blade probably has less purchase. 2) After the osteotomy the distal fragment will have to be pushed more medially ( as we used to do McMurray's osteotomy 30 years ago) or abducted and fixed so the the fracture line becomes horizontal when the limb is brought to neutral.There is no abduction (so it is not a valgus osteotomy) and in fact the fragment is pulled out laterally. The fracture line has remained vertical and on weight bearing the shearing forces have pulled the implants superiorly. I am waiting for the answer from the replacement specialists.

    Regards
    V M Iyer
    . Iyer Orthopaedic Centre,
    103,Railway lines Solapur India.413001
    [ Ответить ]

    Re: Клинковая пластина вырезалась
    René Hartel 19 Февраль 2004, 08:03
    The head seems to be lost, the acetabulum has suffered and I would propose a hip replacement, with a long stem, to prevent fracture at the screw holes. With a cables and a cable plate it should be possible to reconstruct the proximal femur.

    René Hartel
    CH Argentan
    France
    [ Ответить ]

    Re: Клинковая пластина вырезалась
    Tom DeCoster 19 Февраль 2004, 11:20
    Wow

    I suggest hip arthroplasty at this time with a combined "osteotomy/arthroplasty" technique where the cementless femoral stem stabilizes the subtrochanteric osteotomy (or in this case, repeat osteotomy).

    References: J of Arthroplasty "Osteotomy Arthroplasty 2 yr followup" circa 1989 DeCoster Incavo Frymoyer and Iowa Orthop Journal "Osteotomy Arthroplasty 10 yr followup" circa 1998 same authors.

    TD
    [ Ответить ]

    Re: Клинковая пластина вырезалась
    Andrea E. Salvi 20 Февраль 2004, 13:40
    Dear colleague,

    A revision stem would be preferred.

    Best Regards,

    Andrea E. Salvi - Orthopaedic and Traumatologic Clinic of Brescia (ITALY)


    [ Ответить ]

    Re: Клинковая пластина вырезалась
    Волокитина Елена 20 Февраль 2004, 14:06
    Согласна с мнением авторов о необходимости эндопротезирования. Признаки некроза головки были уже и на первых снимках. В данной ситуации можно посоветовать убрать все металлические пластины,выполнить реостеотомию, устранить медиализацию, сопоставить фрагменты. Имплантировать ножку сразу при подвижном проксимальном фрагменте, фиксировать его дополнительно после установки ножки проволокой или накостной пластинкой. Или же второй вариант -выполнить остеосинтез бедра в откорректированном положении аппаратом внешней фиксации, разрешить назрузку на ногу, а после срашения бедра взять на протезирование. Это будет дольше, но менее травматичною
    [ Ответить ]

    Re: Клинковая пластина вырезалась
    Александр Г. Рыков 23 Февраль 2004, 12:17
    Уважаемый Александр! К сожалению, в данном случае уже в августе было ясно, что шансов на сращение практически нет, несмотря на все наши потуги (даже если удалось бы полностью "положить" линию перелома при остеотомии), мертвое к живому не прилипает, а рентгенологически головка и шейка уже начали лизироваться. Дальше мы лишь наблюдали продолжение этого процесса.
    Ретроспективно - больной нуждался в первичном эндопротезировании при обращении к Вам.
    Что сейчас. Трудновасто, но другого выхода, как вернуть все назад в подвертельной зоне и эндопротезировать с реконструкцией, не вижу. Компоновка протеза несложная: чашка - банальная, ножка с дистальной фиксацией (вариант Вагнер, TPF и др.), проксимальный отдел нанижется на ножку, как шашлык. "Крови" будет средне - больной малососудистый (раз АНГБК так быстро и в таком
    возрасте - курит ведь!). Есть вариант - поставить ножку ТРР (Хагглера - Берайтера) с бесканальной фиксацией, не разрушая сращение в области остеотомии и заполнив "угол" трансплантатом, но это круто, и дорого, и много дыр от винтов и
    клинка, и тот ли это пациент, и ... В общем первый путь классичнее.
    С праздником защитников Отечества. А Рыков. Хабаровск.
    [ Ответить ]

    • Re: Клинковая пластина вырезалась
      Отправитель: Денис Елкин 23 Февраль 2004, 17:42
      А Вы, теоретик, однако! Оказывается для АНГБК при переломе шейки через 2 мес. нужно еще и курить и быть "малососудистым"! Не знал, что это так сложно. :)

      [ Ответить ]
    Re: Клинковая пластина вырезалась
    Nikolaj Wolfson 24 Февраль 2004, 01:56
    At this stage:
    1. Rule out infection
    2. If no infection: remove hardware, reduce osteotomy( back to normal position), and do Total Hip ( ceramic on ceramic, press fit, in my place).
    3. Good luck

    Nikolaj


    [ Ответить ]

    Re: Клинковая пластина вырезалась
    Владимир Святенко 24 Февраль 2004, 20:59
    Если возможно - поясните, почему при поступлении к Вам выбрана именно такая тактика лечения ? Возможно сохранились RTG до операции ?
    Владимир.
    [ Ответить ]

    • Re: Клинковая пластина вырезалась
      Отправитель: Alexander Chelnokov 26 Февраль 2004, 00:36
      При позднем поступлении, на наш взгляд, уместно трактовать ситуацию как более близкую к несросшемуся перелому. А при несросшихся переломах и псевдартрозах шейки бедра вальгизирующая остеотомия, в общем, вполне рутинный способ лечения.

      [ Ответить ]
      • Re: Клинковая пластина вырезалась
        Отправитель: Владимир Святенко 03 Март 2004, 21:08
        А вариант цервикокапитального протезирования при позднем поступлении ? Возможно учли возраст ?
        Или были другие соображения ? В настоящее время полностью согласен с коллегами, но хотел бы понять для себя Вашу тактику при поступлении этого больного в августе 2003 года.
        Влалимир.

        [ Ответить ]

     

    ( Ответить )

    Powered by Zope  Squishdot Powered MedLink
    Посетитель: 0171484
      "По форме правильно, а по существу - издевательство" В.И.Ленин
    ©2001-2019Orthoforum Coordinator.
    [ Главная | Отправить сообщение | Поиск | Админ ]