AOTRAUMA.ORG Центр Илизарова  

Ортопедия и травматология Общие вопросы/General questions Help Информационные технологии в медицине
 вверх
 отправить
 поиск
 админ
 главная


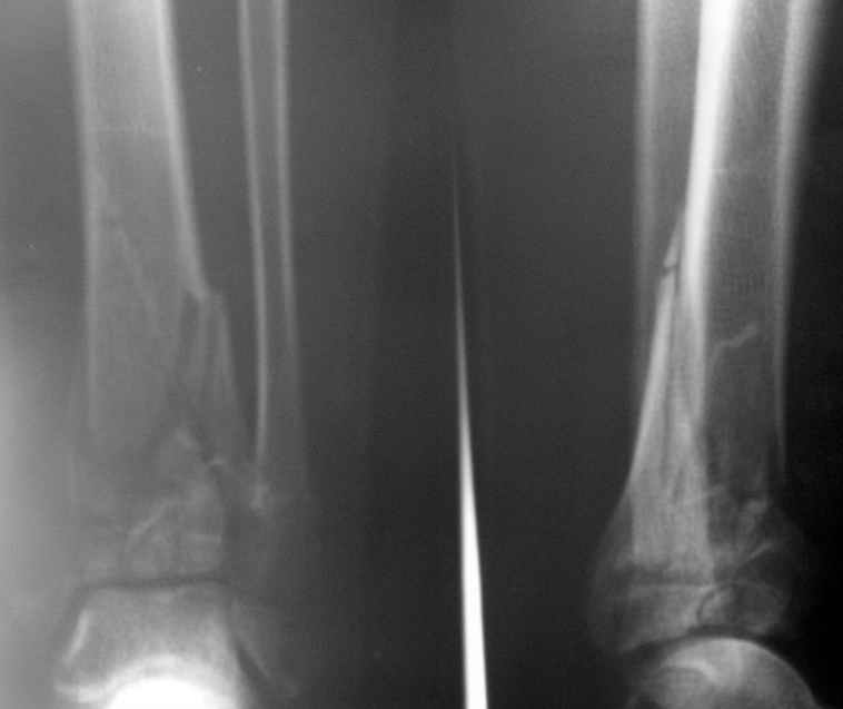
Перелом пилона 6-недельной давности
Ортопедия и травматология Отправлено Елена В. Рейно 09 Август 2004, 16:30
Глубокоуважаемые коллеги! Необходима ваша помощь.На консультацию обратился пациент 27 лет.
1,5 месяца назад при падении со скалы получил перелом пилона, лечился в районной больнице консервативно (циркулярная гипсовая повязка до средней 1/3 бедра). К нам попал только сегодня, сделали снимки и возник вопрос - делать ли что-то хирургически или уже пойти только на восстановительное лечение (продолжить иммобилизацию еще на 2-4 недели, потом разработка движений и т.п.)?Снимки прилагаю.

<  |  >

 

  • Сообщения о Ортопедия и травматология
  • Также Елена В. Рейно
  • Связаться с автором
  • Ответить

    Re: Перелом пилона 6-недельной давности
    Волошин В.П. 09 Август 2004, 22:00
    Уважаемая Елена, делать что-то хирургически через 6 недель на остеопорозе при хорошей анатомии не нужно.
    Виктор П. Волошин
    [ Ответить ]

    Re: Перелом пилона 6-недельной давности
    Jacob Odesky 10 Август 2004, 02:33
























    Уважаемые коллеги! Внутрисуставной перелом дистального конца б/б кости со смещением и подвывихом стопы должен был лечиться оперативно в раннем сроке.
    На мой взгляд оптимальным для такого перелома является аппарат Илизарова, который позволяет:
    1. Возможность раннего дефинитивного лечения.
    2. Возможность в некоторых случаях закрытой репозиции
    3. Ранняя разработка сустава в аппарате
    4. Частичная нагрузка с первых дней после операции
    5. Сравнительно быстрое сращение - 3 месяца.
    6. Снижение сроков реабилитации.

    Пример - довольно похожий перелом, оперированный в первые 8 часов после аварии у 40-летнего больного, страдающего тяжёлым сахарным диабетом 1 типа.
    По поводу обсуждаемого случая - 6-недельная фиксация такого перелома значительно увеличила шансы на артроз голеностопного сустава. Дальнейшая фиксация в гипсе практически сравняет эти шансы со 100%.
    Мне кажется, что есть два возможныых варианта дальнейшего ведения:
    1- открытая редукция с наложением аппарата Илизарова и разработка движений в суставе.
    2.- снятие гипса, разработка сустава, И коррегирующая супрамаллеолярная остеотомия с фиксацией в аппарате Идизарова через полгода.

    С уважением! Одесский. Я. А.



    [ Ответить ]

    Re: Перелом пилона 6-недельной давности
    А.В.Владзимирский 10 Август 2004, 11:03
    Если судить по представленной рентгенограмме, то, с учетом давности травмы, операция уже вряд ли необходима. Я бы продолжил гипс и назначил хондропротекторы и витамины.
    [ Ответить ]

    • Re: Перелом пилона 6-недельной давности
      Отправитель: Alexander Chelnokov 10 Август 2004, 12:14
      А кроме народной традиции, есть какие-то основания для применения хондропротекторов и витаминов в такой ситуации? Заранее можно согласиться с тем, что хуже не будет, наверно. А будет ли лучше? Встречал ли кто-то "эвиденсы" на этот счет?

      [ Ответить ]
      • Re: Перелом пилона 6-недельной давности
        Отправитель: Djoldas Kuldjanov, M.D. 10 Август 2004, 22:50
        После 7 недельного консервативного лечения дистального эпи-метафиза, Pylon type (кстати неплохой сустав)перелома, вряд ли поможет операция, наложить гипс на 3 недели и начать разработку сустава, ледующие снимки подскажут время нагрузки на конечность.

        Не могу разобраться с хондропротекторами, это типа тех лекарств, которые рекламируются в России...? запатентован в америке..., даже с номерами патента. По просьбе, занимался как-то, но в лекарственных каталогах не нашел, в разделе к пищевым добавкам было множеств информации.

        Джолдас Кульджанов


        [ Ответить ]
        • Re: Перелом пилона 6-недельной давности
          Отправитель: А.В.Владзимирский 11 Август 2004, 12:06
          Хондропротекторы - имелись в виду "Цель-Т", "Траумель", "Альфлутоп" и их аналоги.
          Упаси Боже вести речь о пищевых добавках :)

          [ Ответить ]
          • Re: Перелом пилона 6-недельной давности
            Отправитель: Alexander Chelnokov 11 Август 2004, 17:12
            Ну а названные-то чем лучше? Первые два - вообще гомеопатия, последний - "экстракт из 4 видов морских рыб.". Есть какие-то подтверждения их пользы на уровне рандомизированных контролируемых испытаний?

            [ Ответить ]
          • Re: Перелом пилона 6-недельной давности
            Отправитель: Evgueny Tschekashkin 11 Август 2004, 17:13
            Препараты продаются в аптеках среди лекарственных средств, но несмотря на экзотические названия и хорошо развитую рекламу и очень привлекательным *лечебным* эффектом, фармацевты их относят к группе пищевых добавок вместе с витаминами по типу : и вреда не будет, а может даже и поможет. Ни одна страховая компания не покрывает даже частично покупку хондропротекторов и вся их реализация скорее основана на мощной рекламной компании. Все препараты содержат составляющие компоненты гиалинового хряща (хондроитин сульфат, глюкозамин)в сочетании с витаминами, но мне кажется, что довольно-таки наивно надеяться, что проглотив одну такую пилюлю можно рассчитывать на то, что составляющие компоненты достигнут своей цели - осядут именно в зоне поврежденного хряща, а не продолжат свой дальнейший путь в ЖКТ с финальной точкой терапевтического воздействия в унитазе. Наивно ведь предполагать, что остеопороз можно лечить приемом кальция с витаминами. Хотя , впрочем, многие коллеги могут иметь и отличную от моей точку зрения.

            С наилучшими пожеланиями,
            Евгений Чекашкин

            [ Ответить ]
            • Re: Перелом пилона 6-недельной давности
              Отправитель: Mike Shnider 17 Август 2004, 01:34
              Poprobujte poiskatj statji na familiju Halperin (Israel)

              [ Ответить ]
          • Re: Перелом пилона 6-недельной давности
            Отправитель: Anton Vladzimirskyy 11 Август 2004, 17:49
            Вопросы об эффективности тех или иных медикаментов, рандомизированных исследованиях и проч. очень просто ставить, куда труднее на них отвечать. Я могу подобрать полдюжины статей про отличное "лечение остеопороза кальцием и витаминами" - чего греха таить, это "заказные"
            исследования от фармфирм.Таких "рандомизаций" - большинство.
            Совершенно верно, что можно до хрипоты спорить об эффективности того или иного средства, но если аргументы не подтверждены статистикой - это пустой лепет. Кстати! Как аргументы "за" так и "против".
            Покажите мне рандомизированное контролируемое испытание, указывающее на отрицательный эффект названных мною препаратов. Я соглашусь.
            Я предложил те схемы, которые традиционно используются у нас. Никто не претендует на абсолютную верность и непогрешимость. Мы тут все высказываем свои мнения, а лечащий врач принимает окончательное решение.
            Кстати, нас тут большое количество врачей из самых различных учреждений, вот и давайте обсудим возможности проведения совместных научных исследований в подобном направлении. Почему бы не воспользоваться возможностями информационного общества?

            С уважением,
            А.В.Владзимирский

            [ Ответить ]
            • Re: Перелом пилона 6-недельной давности
              Отправитель: Alexander Chelnokov 11 Август 2004, 18:26
              AV> исследованиях и проч. очень просто ставить, куда труднее на них
              AV> отвечать.

              Не так сложно: если убедительных данных о пользе препарата нет, РКИ даже не проводили, кроме рекламных посулов ничего нет, это повод не использовать такой препарат.

              AV> Я могу подобрать полдюжины статей про отличное "лечение
              AV> остеопороза кальцием и витаминами" - чего греха таить, это "заказные"
              AV> исследования от фармфирм. Таких "рандомизаций" - большинство.

              То, что и при остеопорозе тоже всякий хлам рекламируют как панацею, не повод идти на поводу (почти каламбур) рекламы в других клинических ситуациях.
              Кстати, независимых рандомизированных контролируемых испытаний (РКИ) про ряд препаратов при остеопорозе есть, и мета-анализы есть.
              В серьезных международных журналах для авторов обязательно disclosure agreement - авторы обязаны указать степень финансовой заинтресованности.

              AV> Совершенно верно, что можно до хрипоты спорить об эффективности того или
              AV> иного средства, но если аргументы не подтверждены статистикой - это
              AV> пустой лепет.

              Золотые слова. Так стоит ли рекомендовать препараты, основываясь на этом "пустом лепете"?

              AV> Покажите мне рандомизированное контролируемое испытание, указывающее на
              AV> отрицательный эффект названных мною препаратов. Я соглашусь.

              А что, отсутствие доказанного вреда означает наличие пользы? С этих позиций куда практичнее рекомендовать кипяченую воду по чайной ложке три раза в день, уж точно вреда не будет, и дешевле.

              AV> Я предложил те схемы, которые традиционно используются у нас.

              Отношение к такой практике меняется уже и xUSSR. Вполне уместно задуматься, есть ли доказательная база для применения этих схем. Очевидно, что внедрились они только благодаря агрессивной рекламе, поскольку подвтерждения в виде РКИ не было ни тогда, ни сейчас. И второй момент - лишь на основе анализа текущей практики вывод о пользе этих препаратов сделать невозможно, для этого нужны РКИ.

              AV> Никто не претендует на абсолютную верность и непогрешимость. Мы тут все
              AV> высказываем свои мнения, а лечащий врач принимает окончательное решение.

              Это конечно.

              AV> Кстати, нас тут большое количество врачей из самых различных учреждений,
              AV> вот и давайте обсудим возможности проведения совместных научных
              AV> исследований в подобном направлении. Почему бы не воспользоваться

              Совместные исследования вполне могут проводиться с координацией по сети, но мне кажется, можно более актуальные темы найти, чем тратить время на изучение заведомого плацебо. Можно объединить материал, когда одну патологию лечат по-разному, можно редкие случаи сложить, да еще много чего. Вот коллега Коробушкин подкинул задачку - надо в грязь лицом не ударить с рекомендациями для конгресса!

              [ Ответить ]
      • Re: Перелом пилона 6-недельной давности
        Отправитель: Anton V. Vakulenko 11 Август 2004, 17:10
        Зачем задавать вопросы, ответы на которые очевидны? :))))))

        [ Ответить ]
    Re: Перелом пилона 6-недельной давности
    Александр Г.Рыков 11 Август 2004, 17:09
    Не делать. Закон ортопедии 1 "..от добра добра не ищут..."
    [ Ответить ]


    ( Ответить )

    Powered by Zope  Squishdot Powered MedLink
    Посетитель: 0015431
      "По форме правильно, а по существу - издевательство" В.И.Ленин
    ©2001-2019Orthoforum Coordinator.
    [ Главная | Отправить сообщение | Поиск | Админ ]