AOTRAUMA.ORG Центр Илизарова  

Ортопедия и травматология Общие вопросы/General questions Help Информационные технологии в медицине
 вверх
 отправить
 поиск
 админ
 главная


Дистальный отдел tibia - 6 недель
Ортопедия и травматология Отправлено Alexander Chelnokov 28 Август 2004, 20:51
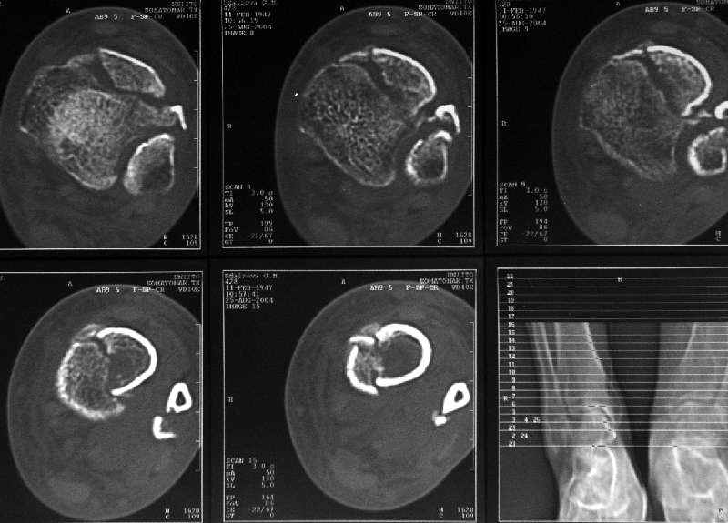
Дама 56 лет 6 недель назад получила спиральные переломы дистальных отделов костей голени. По месту жительства наложили гипс.
Сейчас вот, получается, спохватились. Снимки и КТ в приложении. Какой вариант тут предпочтительнее - открытая мобилизация, репозиция и внутренняя или наружная фиксация? Или ограничиться только резекцией костного шипа над шейкой тарана?Заранее спасибо.A female 56 y.o. 6 weeks ago sustained a fracture of the distal tibia/fibula. At the initial hospital a plaster cast was applied. Now she was referred to our unit. At the moment there is no pain, no obvious mobility. Images and CT attached.What is the best option here? Mobilize the fracture, perform open reduction and internal or external fixation? Or just to cut the anterior spike over the talar neck? THX in advance.

<  |  >

 

  • Сообщения о Ортопедия и травматология
  • Также Alexander Chelnokov
  • Связаться с автором
  • Ответить

    Re: Дистальный отдел tibia - 6 недель
    Michael Berenstein 28 Август 2004, 21:24
    Еще не поздно.
    6 недель после перелома у дамы 56 лет все еще можно сделать редукцию.
    Конечно открыто, а фиксация любая, или наружная или внутренняя, подходит и то, и другое. По моему вкусу луше всего фиксация внутренняя пластинкой с фиксирующими шурупами (LCP), но и Илизаров тоже хорошо сработает.

    Удачи
    Михаил Беренштейн
    [ Ответить ]

    Re: Дистальный отдел tibia - 6 недель
    dr Mike Schnaider 28 Август 2004, 21:25
    Я,поскольку являюсь аферистом по натуре, влез бы внутрь. Мне кажется, что не составит особых проблем сделать редукцию - и закрепить парочкой винтиков с компрессией. Добрый день!

    dr M.Schnaider
    Haifa
    [ Ответить ]

    Re: Дистальный отдел tibia - 6 недель
    vladimir 29 Август 2004, 04:45
    ув. коллеги. на мой взгляд предпочтительнее было бы сделать комбинированное вмешательство резекцию остеофита и наружную фиксацию любым внеочаговым аппаратом. с ув. старостенко владимир. украина. харьковская область.
    [ Ответить ]

    Re: Дистальный отдел tibia - 6 недель
    Bryan Neal, MD 29 Август 2004, 10:24
    It appears healed.

    Stated to be painless.

    I would leave it alone until something hurts.

    Sincerely and respectively,

    M. Bryan Neal, MD
    Arlington Orthopedics and Hand Surgery Specialists, Ltd.
    1100 W. Central Road, Suite 304
    Arlington Heights, Illinois 60005
    [ Ответить ]

    Re: Дистальный отдел tibia - 6 недель
    Tom DeCoster 29 Август 2004, 10:25
    I like the suggestions of leaving it alone or excising the anterior bone that might impinge upon the talus. Taking it apart could turn into a disappointing exercise in futility.
    [ Ответить ]

    Re: Дистальный отдел tibia - 6 недель
    Dr. Ahmad Alssayegh 29 Август 2004, 10:26
    Dear Alexander:
    just cut the anterior tibial spike over the talar neck & let her go.

    sincerely

    Dr. A Alssayegh
    Orthosurgeon
    Anatomy Department
    Damascus Faculty of Medicine
    Alnoor Hospital -Emargency Department
    [ Ответить ]

    Re: Дистальный отдел tibia - 6 недель
    Mangal Parihar 29 Август 2004, 21:43
    Alex,

    What is her ankle range of movts.

    The anterior spike seems to be more antero-lateral, rather than anterior, in such a position that it may not hamper dorsiflexion.

    The ankle mortise as a unit is intact.

    I would therefore only remove the anterior spike, if it impedes dorsiflexion.
    If not, nothing at all.

    Mangal Parihar
    Orthopedic Surgeon, Mumbai
    [ Ответить ]

    • Re: Дистальный отдел tibia - 6 недель
      Отправитель: Андрей 30 Август 2004, 00:44
      Судя по рентгену, там вполне приличное сращение.Ось сохранена, укорочение - макс. 1,5 см. Чего ещё хотеть? Шип желатепьно убрать. Исключительно, чтобы
      улучшить Rtg-картинку и обезопасить больную от энтузиастов с горячими руками.
      С уважением Андрей.

      [ Ответить ]
    Re: Дистальный отдел tibia - 6 недель
    mike schnider 30 Август 2004, 09:31
    Ребятки! 6недель-нет сращения-КТ подтверждает! Лечение 3 мира оставьте для третьего мира - у вас не составит особого труда разделить фиброзную ткань и сделать анатомическую редукцию.Фиксация-чем б-г пошлёт.

    Низкий поклон И.Л.
    [ Ответить ]

    • Re: Дистальный отдел tibia - 6 недель
      Отправитель: Alexander Chelnokov 30 Август 2004, 09:58
      ms> Ребятки!6недель-нет сращения-КТ подтверждает!Лечение 3 мира
      ms> оставьте для третьего мира-у вас не составит особого труда

      Как видно, коллеги из США тоже достаточно сдержанны в хирургических предложениях, предлагают либо вообще оставить как есть, или максиммум срубить этот шип.

      ms> разделить фиброзную ткань и сделать анатомическую
      ms> редукцию.Фиксация-чем б-г пошлёт.

      Не будет ли это больше лечением рентгенограммы, чем больной? Чего у нее сейчас нету? Вилка сустава правильной формы и стабильна, ось правильная, укорочение невелико... Отека нет. Уже готова к разработке движений. А мы все разъединим, сместим, железом тем или другим нашпигуем - что этим улучшится? То есть затратим время и силы, подвергнем больную рискам того и сего для достижения каких благ?
      Клинически будет только то, что сейчас уже и так есть, плюс восстановление длины, которое некритично.

      ms> Низкий поклон И.Л.

      Передам. Аналогично твоим коллегам.

      [ Ответить ]
    Re: Дистальный отдел tibia - 6 недель
    V. M. Iyer 30 Август 2004, 09:32
    The fracture is already sticky.
    Though the upper tibia is not seen on the Xray and thus we cannot exactly see the amount of varus angulation, I presume it must be minimal and acceptable, otherwise you have noted and mentioned the same.
    6 weeks is too small a period to leave her without immobilisation.
    Considering all this I would suggest another 6 weeks of cast. This could be a PTB cast and no weight bearing.
    If her ankle dorsiflexion is being hampered because of the inferior projection of the tibia, excision of that spike may be done before the cast.
    I have seen the extra bone being absorbed in due course even without the surgery.
    Any form of fixation should be attempted only if one is very fussy to get an anatomical position.

    Regards
    V M Iyer
    . Iyer Orthopaedic Centre,
    103,Railway lines Solapur India.
    [ Ответить ]

    Re: Дистальный отдел tibia - 6 недель
    CHERIAN KOVOOR 30 Август 2004, 09:35
    Mobilise see how the pt is - if needed shave of the anterior spike

    DR CHERIAN KOVOOR
    KOCHI
    INDIA
    [ Ответить ]

    Достоверность КТ при диафизарных переломах
    Alexander Artemiev 30 Август 2004, 23:53
    Здравствуйте, дорогие коллеги.
    Не думал, что этот случай вызовет такие дебаты.
    Всё-бы ничего, но несколько спорных моментов...

    ms>> Ребятки!6недель-нет сращения-КТ подтверждает!

    Почему нет? Есть.
    Однако именно по КТ как раз сложнее всего оценить состояние консолидации.
    В этой связи БОЛЬШОЙ ВОПРОС:
    Какова роль КТ при переломах диафиза длиннных костей:
    - оценка положения отломков
    - оценка сращения и пр.
    В подавляющем большинстве случаев мне это исследование кажется неинформативным (я имею в виду исключительно диафизарные переломы).
    Несколько раз пытался оценить сам, собирал толпу специалистов - рентгенологов, травматологов - никакой дополнительной информации к обычным рентгенограммам не удавалось получить. Несколько раз мнение было как раз ошибочным.
    Что на эту тему пишет просвещенный Запад и Восток?
    Предлагаю подискутировать на эту тему, изменив в будущем пиьсме название темы.
    Кроме того, на мой взгляд это исследование недёшево. Во всяком случае, не стоит того...

    По воводу дистального перелома...
    AC> Не будет ли это больше лечением рентгенограммы, чем больной? Чего у
    AC> нее сейчас нету? Вилка сустава правильной формы и стабильна, ось
    AC> правильная, укорочение невелико...

    Примерно 1,5 см.
    Предлагаю попробовать самим - походите дома в одном тапочке с каблуком 1,5 см. Неудобно...
    Что стоит устранить- остеотомия малоберцовки в нижней трети, остеосинтез аппаратом и постепенная дистракция - через месяц идеальное сращение без укорочения. Гораздо менее травматично, чем рубить шип.


    AC> Отека нет. Уже готова к разработке
    AC> движений. А мы все разъединим, сместим, железом тем или другим
    AC> нашпигуем

    Тем или другим - не надо...

    Всех благ и удачи
    Александр Артемьев

    [ Ответить ]

    • [Ortho] Достоверность КТ при диафизарных переломах
      Отправитель: Alexander Chelnokov 31 Август 2004, 00:32
      a> Здравствуйте, дорогие коллеги.
      a> Не думал, что этот случай вызовет такие дебаты.

      То есть какой-то вариант выглядел очевидным?

      a> В этой связи БОЛЬШОЙ ВОПРОС:
      a> Какова роль КТ при переломах диафиза длиннных костей:

      В нашей, например, практике - никакая. То есть для диафизарных переломов - не пользуемся, т.к. необходимости не испытываем. Суставы, таз - другое дело.

      a> В подавляющем большинстве случаев мне это исследование кажется
      a> неинформативным (я имею в виду исключительно диафизарные переломы).

      Оно избыточно. Обычная рентгенография дает все, что надо, для оценки диафизарного перелома.

      a> рентгенологов, травматологов - никакой дополнительной информации к
      a> обычным рентгенограммам не удавалось получить.

      Именно.

      a> Что на эту тему пишет просвещенный Запад и Восток?

      По-моему, нет мотивации этим интересоваться.


      [ Ответить ]
      • Re: [Ortho] Достоверность КТ при диафизарных пере
        Отправитель: Alexander Artemiev 31 Август 2004, 21:26
        Здравствуйте, Александр и коллеги.

        a>> Не думал, что этот случай вызовет такие дебаты.

        AC> То есть какой-то вариант выглядел очевидным?
        Я о нём и рассказал в предыдущем письме.



        a>> В подавляющем большинстве случаев мне это исследование кажется
        a>> неинформативным (я имею в виду исключительно диафизарные переломы).

        AC> Оно избыточно. Обычная рентгенография дает все, что надо, для оценки
        AC> диафизарного перелома.
        А для чего в данном случае это исследование было выполнено?
        Чего вы не разглядели на рентгенограмме?
        Не считаете Вы денежки.
        Я уверен, если бы больной просто заплатил за результат лечения фиксированную сумму, а Вы тратили эти деньги на какие-то исследования, то эту КТ не назначили бы.

        a>> Что на эту тему пишет просвещенный Запад и Восток?
        AC> По-моему, нет мотивации этим интересоваться.

        Мотивация есть.
        Ко мне приходят больные с этими картинками из других учреждений.
        И мне приходится морщить лоб и надувать щёки и показывать им, какой я умный. Или можно просто сказать - какой .....к рекомендовал Вам делать
        это исследование?

        С уважением
        Александр Артемьев

        [ Ответить ]
        • Re: [Ortho] Достоверность КТ при диафизарных пере
          Отправитель: Alexander Chelnokov 31 Август 2004, 21:29
          Приветствую, Александр,

          Tuesday, August 31, 2004, 5:26:10 PM, you wrote:

          AC>> То есть какой-то вариант выглядел очевидным?
          a> Я о нём и рассказал в предыдущем письме.

          Как видно, единодушия на этот счет не было. Этот вариант мы тоже рассматривали, но в итоге предпочли ограничиться резекцией.

          a> А для чего в данном случае это исследование было выполнено?
          a> Чего вы не разглядели на рентгенограмме?

          Здесь повреждение не диафизарное, смотрели состояние суставного конца кости и взаимоотношения таранной кости с этим шипом. Результаты КТ как раз повлияли на план, без нее пошли бы латеральным доступом, а после - передне-медиальным.

          a> Не считаете Вы денежки.

          Никаких дополнительных расходов не было.

          a> Я уверен, если бы больной просто заплатил за результат лечения фиксированную
          a> сумму, а Вы тратили эти деньги на какие-то исследования, то эту КТ не

          Чтобы определиться, без каких исследований можно обойтись, стоит начать их делать за счет зарплаты врачей.

          a> И мне приходится морщить лоб и надувать щёки и показывать им, какой я
          a> умный. Или можно просто сказать - какой .....к рекомендовал Вам делать

          ;-))) А попробовать что-то промежуточное? То бишь с нейтрально-доброжелательным выражением лица просмотреть все представленные данные? Стоит ли нервничать из-за каждой лишней картинки...

          [ Ответить ]
          • Re: [Ortho] Достоверность КТ при диафизарных пере
            Отправитель: Alexander Artemiev 31 Август 2004, 21:31
            Ещё раз здравствуйте...

            AC>>> То есть какой-то вариант выглядел очевидным?
            a>> Я о нём и рассказал в предыдущем письме.

            AC> Как видно, единодушия на этот счет не было. Этот вариант мы
            AC> тоже рассматривали, но в итоге предпочли ограничиться резецкцией.

            Значит, для вас этот вариант представился очевидным:)


            AC> Здесь повреждение не диафизарное, смотрели состояние суставного конца
            AC> кости и взаимоотношения таранной кости с этим шипом. Результаты КТ как
            AC> раз повлияли на план, без нее пошли бы латеральным доступом, а после -
            AC> передне-медиальным.

            Круто...

            a>> Не считаете Вы денежки.

            AC> Никаких дополнительных расходов не было.

            Если никто не платил - это не значит, что расходов не было. Расходные материалы, работы, износ оборудования и пр.


            AC> Чтобы определиться, без каких исследований можно обойтись, стоит
            AC> начать их делать за счет зарплаты врачей.

            Ну да...
            Доктору приносят коньяк.
            На что он топает ногами: А кто Вам прозволил расопряжаться моими деньгами.

            Удачи
            Александр Артемьев

            [ Ответить ]
            • Re: [Ortho] Достоверность КТ при диафизарных пере
              Отправитель: Alexander Chelnokov 31 Август 2004, 21:32
              a> Значит, для вас этот вариант представился очевидным:)

              Очевидный - если нет альтернатив и повода для обсуждения. А тут как раз вышли споры.

              AC>> раз повлияли на план, без нее пошли бы латеральным доступом, а после -
              AC>> передне-медиальным.
              a> Круто...

              Что именно?

              AC>> Никаких дополнительных расходов не было.
              a> Если никто не платил - это не значит, что расходов не было.
              a> Расходные материалы, работы, износ оборудования и пр.

              Это и есть то, ради чего приобретен этот аппарат. Не могу согласиться, что в данном случае КТ была не показана или оказалась неинформативна,
              или не повлияла на тактику.

              Надо сказать, бывали по первости у нас споры с некоторыми рентгенологами (в основном из "кому за 30"), которые говорили - а зачем вам КТ при переломе пятки, вертлужной впадины, проксимального отдела tibia, таза, ... [нужное вписать], мол, "все и так видно", "это место невозможно заснять" и т.п. Не знаю, чем уж так их привлекала позиция "и сам не гам, и другим не дам".

              a> На что он топает ногами: А кто Вам прозволил расопряжаться моими
              a> деньгами.

              Наверно, есть и положительный момент в том, что заработок врача впрямую не зависит от занятости диагностического оборудования, а то наэкономили бы, особенно перед отпуском...

              [ Ответить ]
    • Re: Дистальный отдел tibia - 6 недель
      Отправитель: Alexander Chelnokov 31 Август 2004, 00:33
      a> Предлагаю попробовать самим - походите дома в одном тапочке с каблуком
      a> 1,5 см. Неудобно...

      Наверно, смотря сколько ходить... Тем более, начинать ей с послеиммобилизационного состояния. Поди, на фоне разработки движений и постепенного восстановления нагрузки и не заметит на костылях, так и привыкнет.

      Сколько в норме бывает разница в длине ног? Вроде подавляющее большинство не считает укорочение <2 см показанием к хирургической коррекции.

      a> Что стоит устранить- остеотомия малоберцовки в нижней трети,
      a> остеосинтез аппаратом и постепенная дистракция - через месяц идеальное
      a> сращение без укорочения.

      Это если удалось бы провести спицы отдельно за дистальный фрагмент, и разобщились бы отломки. Если сегодня отломки оказались бы подвижны - через месяц говорить о сращении рано.

      a> Гораздо менее трравматично, чем рубить шип.

      В итоге контрактура могла бы быть более тяжелая после дистракции.

      AC>> железом тем или другим нашпигуем
      a> Тем или другим - не надо...

      Все-таки ограничились остеотомией этого шипа. Снимок в приложении.

      Кликните для загрузки файла get_image.jpg
      23KB (24424 bytes)

      [ Ответить ]
    • Re: Достоверность КТ при диафизарных переломах
      Отправитель: Evgueny Tschekashkin 31 Август 2004, 09:53
      Согласен, поэтому никогда и не использую КТ для оценки сращения диафизарных переломов.
      Для диагностики внутрисуставных и вколоченных переломов томография информативна и практична, а если есть возможность трехмерной реконструкции, то это и наглядно представляет характер перелома.

      [ Ответить ]
    Re: Дистальный отдел tibia - 6 недель
    Chris Wilson 30 Август 2004, 23:55
    I vote minimum possible to restore function and to avoid long-term compromise ie. just excise the anterior spike.

    Regards
    Chris Wilson
    University Hosptal
    Cardiff
    UK
    [ Ответить ]

    Re: Дистальный отдел tibia - 6 недель
    Anatoly F. Lazarev 31 Август 2004, 21:37
    Глубокоуважаемые коллеги. Суть нашей деятельности не только в том, чтобы раненых добивать, но и восстановить утраченную в результате травмы функцию.
    Самый эффективный путь - максимально приближенное восстановление анатомии с учетом структурного обеспечения функции. В некоторых ситуациях мы можем не пренебречь, а признать, что не сможем соттановить все стрктуры или анатомию по ряду причин, из-за которых вмешательство становиться нерационально травматичным, но некоторые законы природы, а именно: обязательная конгруэнтность артикулирующих поверхностей, направление биомеханических осей и т.п., соблюдение которых обязательно для функции.
    В данном конкретном случае - лишнее убрать, восстановить конгруэнтность - вогнутую поверхность восстановить проще, больше допуски, создать условия, необходимые для репаративной регенерации кости и хряща.
    Т.О. резекция высттоящего отломка или остеоклазия по линии перелома с дистракцией до правильного сопоставления - это может получиться уже на операции, только не надо спешить - можно потратить 30 минут только на репозицию, затем согласно КТ создать межотломковую компрессию, скрепить отломки в кольцевых опорых под визуальным контролем суставной поверхности.
    Аппарат Илизарова или другой аппарат для чрескостного сотесинтеза со спицевой фиксацией еще по мнению Лаврищевой являются идеальным способом
    остеосинтеза, я полностью согласен и считаю, что это наша Волшебная палочка.
    Далее обеспечить ранние движения в г/ст. суставе без нагрузки весом тела.
    Пока все. ЛАФ. Успехов!!!
    [ Ответить ]

    Re: Дистальный отдел tibia - 6 недель
    Djoldas Kuldjanov, M.D. 31 Август 2004, 22:48
    Уважаемые коллеги,

    Позвольте и мне вызказать пару слов в вашем споре о тактике лечения 6 недельного перелома дистального отдела тибиа и необходимости компьютерной томограммы.

    Естественно, мы за максимально приближенное восстановление анатомии поврежденных конечностей и я думаю, это тот случай, когда вмешательство нерационально травматично в данном этапе восстановления.

    Уменьшение риска до минимума, то есть удаление выступающей части кости, который можно более информативно увидеть на компьютерной томограмме, по моему мнению, было разумным решением. (зачем экономить, если имеются показания)

    “Наша Волшебная палочка” не всегда творит волшебство, даже у тех “ортодоксальных Илизаровцев”, если сделать остеоклазию, при плохом сценарии, срастающий перелом может ухудшится ложным суставом.

    Повременить с реконструкцией, начать реабилитацию сустава, определить, насколько отстает длина конечности, если отставание длины только на 1.5-2см, решение о дальнейшей реконструкции оставить за больной.

    Мой вопрос к автору, который предлагает LCP пластину, как по вашему, которая пластина более подходит для фиксации: медиальная или латеральная, узкая 4.5мм или precontoured, какой диаметр шурупа и Ваш доступ?

    Насчет “коньяка” круто, узнаю родину,..как нас ценят бутылкой коняка, коньяк-то французский или
    "самопальный армянский"?

    С уважением,

    Djoldas Kuldjanov, M.D
    [ Ответить ]

    • Re: Дистальный отдел tibia - 6 недель
      Отправитель: Михаил Беренштейн 01 Сентябрь 2004, 11:57
      Уважаемый Djoldas Kuldjanov !

      Фрагменты относительно большие, по моему мнению оптимальный доступ передне-медиальный. После редукции пластинка медиальная, шурупы 4,5 мм, 1-2 первых компрессионные и как минимум по 3 фиксированных шурупа в дистальный и проксимальный фрагменты по два кортекса на каждый. Дополнительно 1/3 tub пластинка для возвращения длины фибулы и вы получаете устойчивую фиксацию, правильную анатомию, разработка сустава с первого дня, хороший функциональный результат и заслуженный коньяк.
      Перелом-то простой - суставная поверхность целая.

      [ Ответить ]
    Re: Дистальный отдел tibia - 6 недель
    Дрягин Виталий 01 Сентябрь 2004, 13:20
    Больного необходимо оперировать в 2 этапа.Первоначально по Илизарову с остеотомией малоберцовой кости Затем после восстановления длины голени метеллосинтез малоберцовой кости пластиной 1/3 трубки и клеверLCP на большеберцовую кость.Главное воостановить длину малоберцовой кости и зафиксировать её иначе ничего не получится. Аппарат нужен только для дистракции.
    [ Ответить ]


    ( Ответить )

    Powered by Zope  Squishdot Powered MedLink
    Посетитель: 0161064
      "По форме правильно, а по существу - издевательство" В.И.Ленин
    ©2001-2019Orthoforum Coordinator.
    [ Главная | Отправить сообщение | Поиск | Админ ]