AOTRAUMA.ORG Центр Илизарова  

Ортопедия и травматология Общие вопросы/General questions Help Информационные технологии в медицине
 вверх
 отправить
 поиск
 админ
 главная
 Предыдущее
 Весь тред


Re: Open supracondylar femur fx
Zsolt Balogh 31 Октябрь 2004, 12:13
Dear Alex,
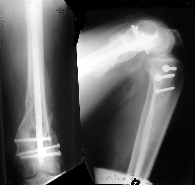
This is what we have done... As generally true for LISS look at the bone not the hardware.
There are two more srews above. The one not completely in got damaged head.

Zsolt














  • Сообщения о Ортопедия и травматология
  • Также Zsolt Balogh
  • Связаться с автором
  • Ответить

    Re: Open supracondylar femur fx
    Alexander Chelnokov 31 Октябрь 2004, 20:44

















    And why LISS is superior here than nail?
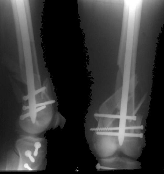
    Look what we would have done.

    [ Ответить ]

    • Re: Open supracondylar femur fx
      Отправитель: Zsolt Balogh 31 Октябрь 2004, 20:46
      I would not say that the LISS is superior to the nail. If I would, I had not post original mail. I wanted to generate discussion. Your option is a very viable one. I feel a little bit shaky the distal femur, but it is just gut feeling no science behind it. Any way nice fixation, congarts!

      Best regards,

      Zsolt

      [ Ответить ]
      • Re: Open supracondylar femur fx
        Отправитель: Alexander Chelnokov 31 Октябрь 2004, 20:55
        ZB> would, I had not post mail original mail. I wanted to generate
        ZB> discussion.

        Hope it will be.

        ZB> Your option is a very viable one. I feel a little bit shaky
        ZB> the distal femur, but it is just gut feeling no science behind it.

        What do you mean?

        ZB> Any way nice fixation, congarts!

        Same to you ;-))
        I presented the series at EuroTrauma in May. The "Distal Femur" section of the meeting was very interesting.

        [ Ответить ]

     

    ( Ответить )

    Powered by Zope  Squishdot Powered MedLink
    Посетитель: 0143738
      "По форме правильно, а по существу - издевательство" В.И.Ленин
    ©2001-2019Orthoforum Coordinator.
    [ Главная | Отправить сообщение | Поиск | Админ ]