ВХОД ДЛЯ ПАЦИЕНТОВ
вверх
поиск
админ
главная
исходное
|
Re: На фоне остеопороза
послал Юрий Алекссевич Булахтин 15 Январь 2005, 11:37
|
Ниже рентгенограммы

До операции 28 июля
|

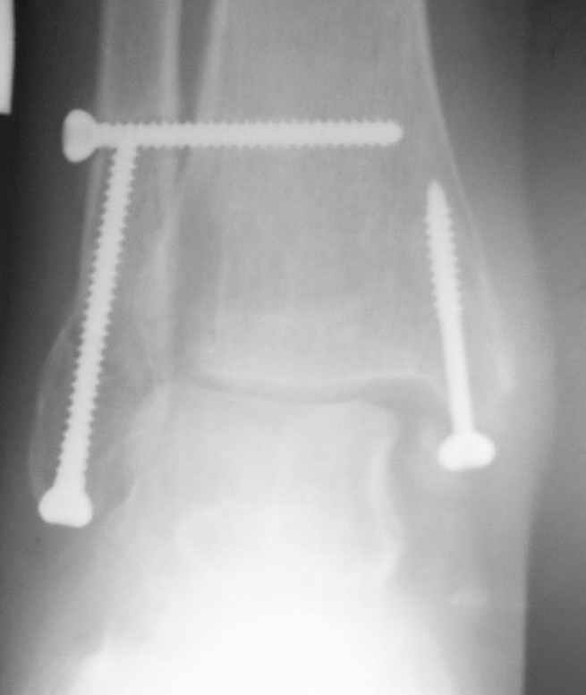
Операция 29 июля
|

Через месяц
|

Боковой через месяц
|

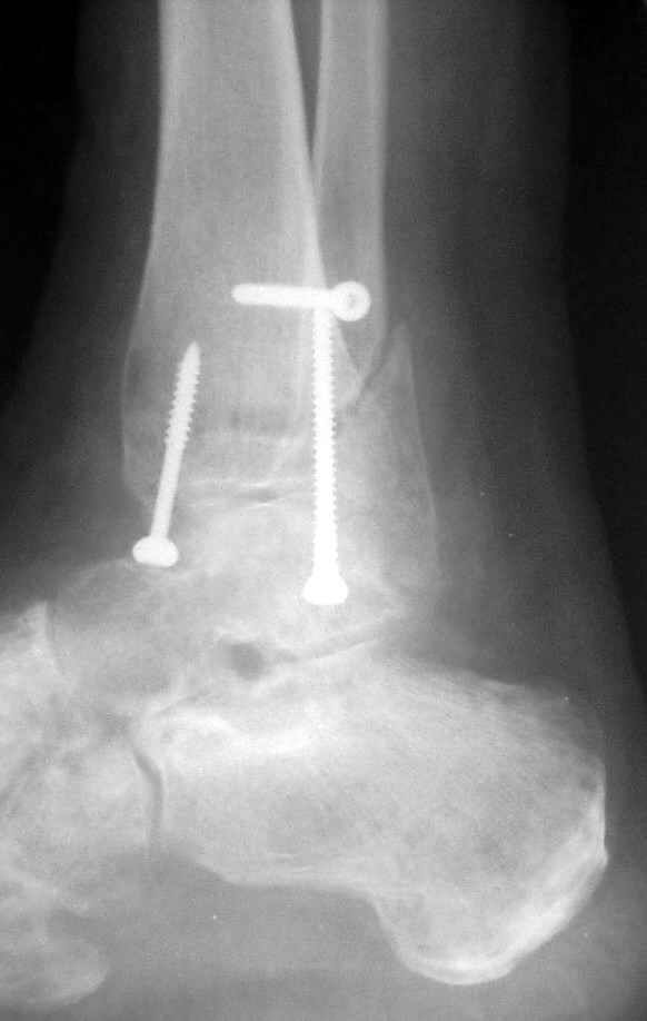
15 ноября прямой
|

15 ноября боковой
|

15 ноября трехчетвертной
|

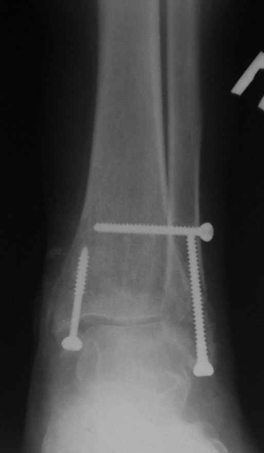
12 января прямой
|

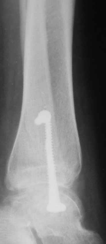
12 января боковой
|

12 января трехчетвертной
|
|
| Послать ответ |
Обратите внимание: Поля с жирными названиями обязательны.
Старайтесь отвечать в рамках обсуждаемой темы, а не начинать новые обсуждения.
Указывайте адекватную тему сообщения, чтобы было ясно, о чем оно.
Не послайте сообщений не по теме (оффтопик), раздраженных, грубых или обидных комментариев. Здесь это неуместно.
|