Ответить
|
Re: На фоне остеопороза
Aleksei Sh. 13 Январь 2005, 21:08
|
Извиняюсь... но я не нашел приложение с Р-граммами.
|
[
Ответить ]
|
Re: На фоне остеопороза
Виктор П. Волошин 14 Январь 2005, 12:28
|
Уважаемый Юрий Алексеевич, к сожалению это не единичные операции, до сих пор по разным субъективным и объективным причинам приходится оперировать такие переломы в поздние сроки. С одной стороны "минус-кость", с другой остеопороз - все делаем "на цыпочках", ничего не выделяется тупо, только острым путем. Конечно адекватно восстановить сустав не всегда возможно и приходится его замыкать. Трудно судить без Ртг, но по описанию Вашему пациенту предстоит именно такая операция. Если он пока не готов, а насильно добро не делают - пусть "дозреет".
P.S. Для артродеза предпочтительно внешняя фиксация.
ВВП, МОНИКИ
|
[
Ответить ]
|
Re: На фоне остеопороза
Alexander Chelnokov 15 Январь 2005, 11:03
|
Приветствую, Юрий Алексеевич,
Thursday, January 13, 2005, 6:37:09 PM, you wrote:
ЮАБ> жительства почти 4 месяца, на ногу не наступал. Переломы не срослись.
Что, и малоберцовая?
ЮАБ> устранение подвывиха стопы. При ревизии места переломов
ЮАБ> установлено наличие выраженного остеопороза дистальных отломков лодыжек.
За 4 месяца у молодого человека вполне ожидаем значительный локальный остеопороз от бездействия.
ЮАБ> послеоперационном периоде на фоне установки массивных разнородных
ЮАБ> имплантов проводилась длительная катетеризация бедренной артерии.
Не чересчур для профилактики? Даже для лечения нагноений это не рядовая мера.
ЮАБ> Послеоперационный период протекал без нагноений. Однако отмечено
ЮАБ> дительное незаживление кожных ран до 2-х месяцев.
Были краевые некрозы? Или прямо-таки гладенькие розовые кожные края после снятия швов разошлись? Может, цинга у него?
ЮАБ> устранен. Рекомендован прием препататов - кальций- D3 – никомед
ЮАБ> по схеме; - миакальцик – назальный спрей (два флакона с
?! Кто, когда и как доказал, что это в подобной ситуации приносит пользу?
ЮАБ> Рекомендую удаление фиксаторов, остеосинтез малоберцовой кости
ЮАБ> пластиной с угловой стабильностью.
А что с малоберцовой костью произошло? Да и не пора ли перестать "пилить гири"? Они не золотые - восстановительные операции в таких условиях все сложнее, а толку от них все меньше...
ЮАБ> Вопросы: 1. По просьбе пациента - возможно-ли консервативное
ЮАБ> лечение (тяжело выходил из наркоза, разочарован в медицине).
А пусть попробует - дайте ему подвигать стопой и походить с возрастающей нагрузкой несколько месяцев, и пусть сам решит, устраивает ли его такая нога. Да и чтобы остеопороз начал регрессировать.
ЮАБ> 2. Сроки операции?
Не горит.
ЮАБ> костная аутопластика? хронос? или еще что-то подобное?
Важнее - какую операцию делать. Похоже, тут куда более оправдан артродез.
ЮАБ> 3. Варианты фиксации.
Оптимально - аппаратом, видимо. Хватает по паре тольстых спиц в большеберцовую и таран. Плюс спица с петлевым упором, чтобы притянуть млоберцовую кость. Если пластинка на ней сейчас лежит сзади (снимков не показали), то можно ее и не убирать. Пойти L-образным доступом кпереди от млоберцовой с поворотом кзади по нижнему краю наружной лодыжки, пересечь малоберцовую кость выше пластины, откинуть единый кожно-подкожно-костный лоскут кзади, и снять коркоый слой с медиальной поверхности малоберцовой кости, сформировать соответствующий паз по латеральной поверхности таранной и большеберцовой костей.
ЮАБ> 4. Послеоперационное ведение с учетом остеопороза.
Ходьба с возрастающей нагрузкой с первых дней. Поэтому никаких опор не надо выносить на подошвенную поверхность.
ЮАБ> Оперировал-ли кто-то, вообще, лодыжки через 4-е месяца после
ЮАБ> травмы?
И позже приходится. Выбрать между восстановительной операцией и первичным артродезом бывает непросто. Как было лет 20 назад показано в кандидатской диссертации А.М.Лаврукова, в отдаленные сроки функциональные результаты хорошо сделанных восстановительных операций и артродезов практически одинаковые.
|
[
Ответить ]
|
Re: На фоне остеопороза
Юрий Алекссевич Булахтин 15 Январь 2005, 11:37
|
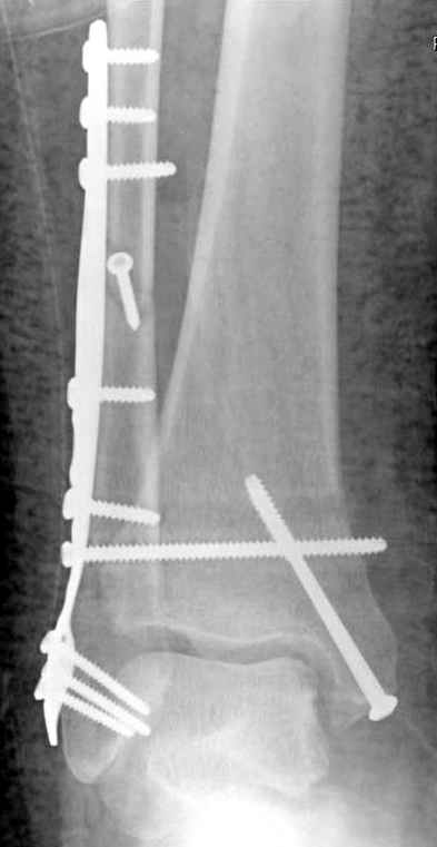
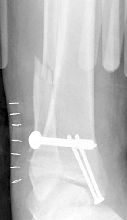
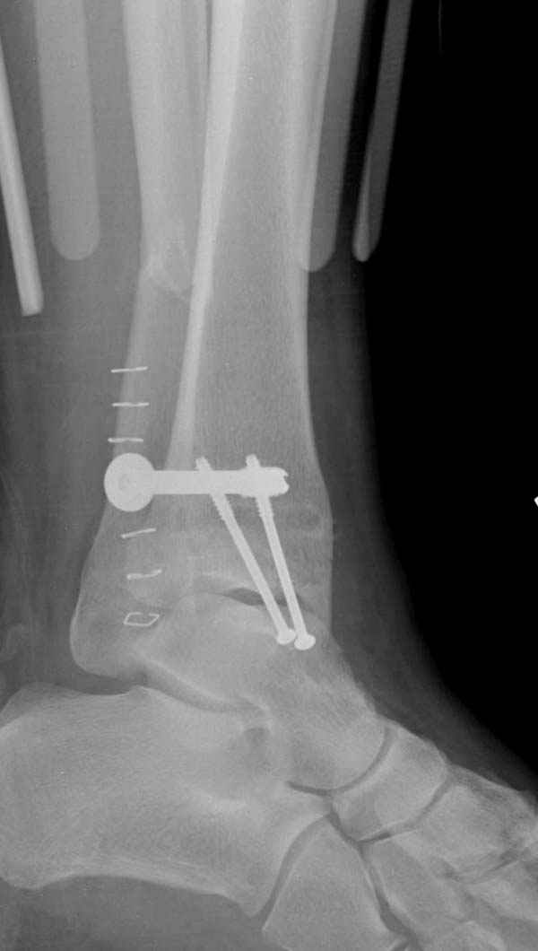
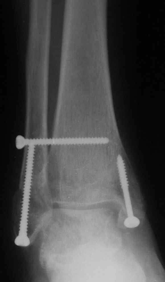
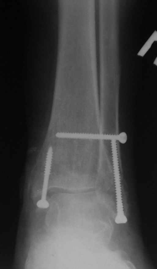
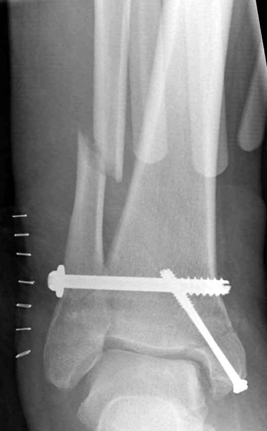
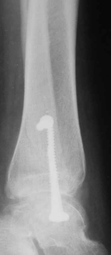
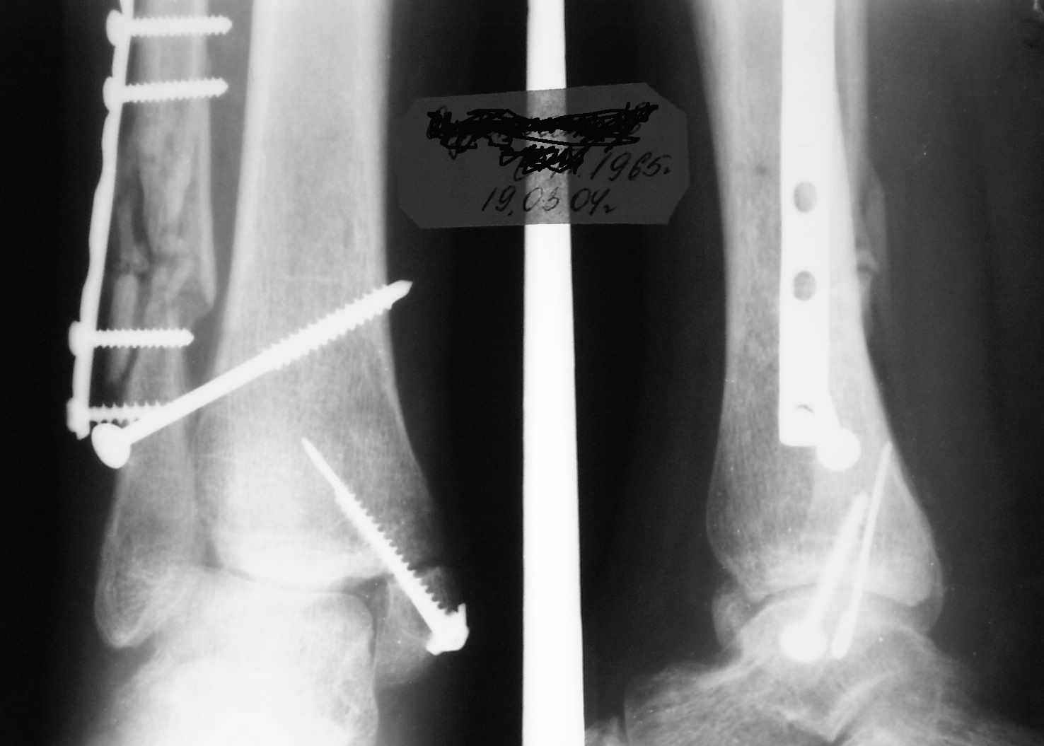
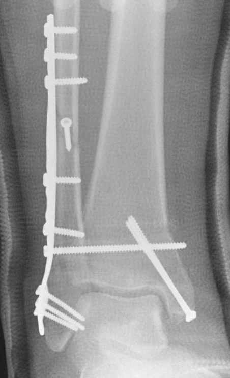
Ниже рентгенограммы

До операции 28 июля
|

Операция 29 июля
|

Через месяц
|

Боковой через месяц
|

15 ноября прямой
|

15 ноября боковой
|

15 ноября трехчетвертной
|

12 января прямой
|

12 января боковой
|

12 января трехчетвертной
|
|
[
Ответить ]
|
Re: На фоне остеопороза
Отправитель: Alexander Chelnokov 15 Январь 2005, 17:56
|
Риторический вопрос - в каком руководстве рекомендован такой способ остеосинтеза наружной лодыжки?
Очевидно, такой результат операции был запрограммирован. При невосстановленной длине и практически нефиксированной малоберцовой кости (этот кортикальный винт - как карандаш в стакане), при неустраненном подвывихе, невправленной и тоже нефиксированной внутренней лодыжке нет стабильной вилки сустава. Если такую операцию сделать даже сразу, а не через 4 месяца, то результат ожидаем
тот же.
Вообще говоря, такое повреждение вполне успешно можно лечить без операции - если 6 недель подержать в гипсовом "сапожке" с хорошо устраненным подвывихом. Вероятное несращение внутренней лодыжки не обязательно компрометирует результат.
Ну а уж если выбран остеосинтез - нначать надо было с репозиции малоберцовой кости с точным восстановлением длины, с фиксацией треть-трубчатой пластиной по задней поверхности. Позиционный винт
избыточен - повреждение практически подсиндесмозное. А если бы
действительно было повреждение синдесмоза - в 4 месяца позиционный винт - не решение. Внутренню лодыжку такую - надо было бы спицами и проволочной петлей. Извините за эти банальности.
Вариант с артродезом уже обсудили. Хотя, после увиденых снимков, пессимизм насчет восстановительной операции у меня, например, несколько уменьшился. Особенного уж какого-то остеопороза не видно даже на январских снимках. Можно черед мини-доступы убрать винты, аппаратом вправить малоберцовую кость, устранить подвывих стопы. Ну а дальше фиксировать малоберцовую пластиной сзади. А может, и напряженной Y-спицей попробовать - Анатолий Федорович, как Вы полагаете? Внутреннюю - то, что осталось, если уже не получится сделать спицами и проволокой, то что-то типа пластики дельтовидной связки. А может, и не трогать ее вовсе... В общем, выбор непростой,
много факторов надо взвесить.
PS. Нет ничего легче, чем критиковать чужие ошибки и неприятности. Для компенсации обязуюсь свои тоже показывать ;-)
|
[
Ответить ]
|
|
Re: На фоне остеопороза
Evgueny Tschekashkin 15 Январь 2005, 15:40
|
Уважаемый Юрий Алексеевич,
К счастью не часто, но такие больные встречаются. Исходя из своего опыта (и Ваш случай наглядно демонстрирует) переломы лодыжек, не репонированные и не фиксированные в течении первых максимум 3-4 недель, репонировать и фиксировать практически не реально - всё рассыпается и винты не держат.
Поэтому если больной поступает поздно, я даже не пытаюсь открыто репонировать, держу в гипсе 6 недель (принятые сроки иммобилизации) и после этого восстановительный курс. Если через 3-4 недели с момента снятия гипса нога не опороспособна , то обсуждаем артродез, так как надеяться не на что... Было несколько случаев, когда опороспособность восстанавливалась с незначительными болями и ограничениями движений в суставе при абсолютно нарушенной анатомии и больные отказывались от артродеза, что вызывало всеобщее удивление. Возникающую вторичную деформацию стопы (при пронационных переломах - посттравм. плоскостопие) коррегировали ортоп. стельками (подъём медиального свода стопы), ортопедическая обувь, ограничивающая подвижность
голеностопа, или пневматический ankle guard. Не думаю, что развивающийся в осложненных ситуациях остеопороз более выраженный в дистальных отломках
можно устранить назначением бисфосфанатов с кальцием - остеопороз не системный, а локальный, хотя у пациентов с ожирением (адипозо-генитальный синдром) системный остеопороз может развиваться и допустима его коррекция гормонозаместительной терапией( типа FASOMAX 75 mg перорально раз в неделю).
Всего Доброго,
Евгений И Чекашкин
|
[
Ответить ]
|
Re: На фоне остеопороза
Alexander Artemiev 15 Январь 2005, 16:13
|
1. Сейчас Вы, наверное, сожалеете, что взялись за эту операцию. Кто последний - тот и отвечает...
2. Действительно съехало и не срослось...
ЮАБ> Рекомендую удаление фиксаторов, остеосинтез малоберцовой кости пластиной с угловой
ЮАБ> стабильностью.
Фиксаторы удалить можно, а вот остеосинтез скорее всего ничего не даст.
По-моему, доктор Волошин высказал мысль о необходимости артродеза, с которой я полностью согласен - это та операция, до которой больной должен дозреть.
А ничего кроме артродеза предложить ему и нельзя.
Только не уговаривайте его на эту операцию.
Пусть походит, помучается и скажет, что готов на всё.
В противном случае артродез у такого человека также будет сопровождаться проблемами, и даже при его наступлении возможны боли, отёки, язвы и пр. Плюс отсутствие подвижности.
И всё это он предъявит Вам.
Скажет, что до операции было лучше.
Так что пусть доживет до той поры, когда хуже быть не может.
Кстати, что такое хронос?
Удачи.
Александр Артемьев
|
[
Ответить ]
|
Re: На фоне остеопороза
Отправитель: Alexander Chelnokov 15 Январь 2005, 18:25
|
http://www.mathys.ru/chronos.htm
================================
Новый материал для заполнения костных дефектов в травматологии и нейротравматологии chronOS
Компания МАТИС Медикал Россия предлагает самый современный на сегодняшний день материал для замещения костных дефектов на основе с-трикальцийфосфата. Высокая пористость (60%), способность к замещению вновь образующейся костью (через 6 мес. на 50%; через 12-18 мес. полностью), делает этот материал уникальным и наиболее клинически адекватным.
chronOS Производится в виде блоков и гранул. Поставляется в стерильной упаковке по 5 х 5гр и 2 х 10гр.
================================
|
[
Ответить ]
|
|
Re: На фоне остеопороза
Djoldas Kuldjanov 16 Январь 2005, 00:54
|
Уважаемые коллеги,
Если до сих ничего не сделано, с артродезом сустава в данный момент я бы повременил, на выставленных январских снимках хорошо сохранившийся сустав, а в "мортиз" (трехчетвертной) и на боковых снимках не менее 5 мм укорочение малоберцовой кости. Косые переломы лучше фиксировать пластинами, как то мы разбирали случай, где было отмечено, что это закон "таранная кость всегда следует за малоберцовой".
В данном случаи я бы уговорил больного на реконструкцию, для этого после удаления шурупов, спереди очистить от рубцов синдесмоз, несросшуюся наружную лодыжку - остеотомия по линии перелома и компрессирующий (lagging technique) кортикальный шуруп 3.5 мм по поперечнику остеотомии. Следующий этап - восстановление длины малоберцовой за счет удлинения, сделать поперечную остеотомию где-то на уровне сантиметр выше вашего синдесмозного шурупа, наложить длинную пластинку, прикрепить пластину за дистальный конец двумя или тремя шурупами; сохраняя контакт пластины с костью, имеющимся
compression&tension device AO system (при отсутствии любой lamina spreader подойдет, создать дистанцию между пластиной и шурупом, проведенным проксимальнее пластины) толкая проксимальный отдел пластины, низвести пластину, мортиз рентгенограмма подскажет на сколько. Если заранее сделать предоперационный план (ренгенограмма другой стороны), тогда точно можно определить, на сколько вам необходимо сделать поперечную остеотомию малоберцовой кости, для закрытия создавшегося дефекта.
Убедившись, что желаемая длина восстановлена, окончательная фиксация пластины, при этом через пластину пару 3.5 мм шурупов на синдесмоз, предпочтительно в четыре кортекса и оставить на 3 мм длиннее, если под нагрузкой синдесмотический шуруп сломается, сломанный конец легче удалить с медиальной стороны.
Медиальная сторона не в нагрузочной зоне, и там большая дыра - если есть 2.7 мм шурупы, или пару спиц в ваших условиях или методика Лазарева. Необходимо уделить внимание к мягким тканям, обнажается кость с латеральной стороны и у места где проводится остеотомия.
На послеоперационный период наложить на хорошо укутанную многими слоями ваты заднюю лонгету, и после удаления дренажа, на первой перевязке через два дня, больного можно перевести в сапожок, чтобы иметь возможность начать движения в суставе не менее 3-4 раз в день, нагрузку разрешить после убеждения, что ваша конструкция держится и идет сращение.
Недавний случай, больной 56 лет получил политравму в Англии, после переведен в США, где его успешно лечил местный ортопед, огромная статья в газете об успешной операции, своеобразный пиар, из-за того, что больной был американский пожарник на пенсии, и за его переезд было заплачено международным пожарным союзом, короче по другим показаниям перевели больного в наш университетский госпиталь.
После 5-6 недели после травмы сделана повторная операция, обошлись без удлинения малоберцовой.
Джолдас
|
[
Ответить ]
|
Re: На фоне остеопороза
Отправитель: Evgueny Tchekashkine 16 Январь 2005, 23:14
|
Джолдас,
Об удлинящей остеотомии малоберцовой кости не думал - спасибо за совет, при подходящем случае попробую.
Всего Доброго,
Евгений И Чекашкин
|
[
Ответить ]
|
Re: На фоне остеопороза
Отправитель: Sergey Zyryanov 18 Январь 2005, 12:29
|
Уважаемый Джолдас, вы рекомендуете стягивать берцовые кости двумя винтами 3,5 мм достаточно ли это?
Мы стягиваем берцовые кости болтом стяжкой или спонгиозным винтом 6,5 мм.
Сергей Зырянов
НСО г.Куйбышев ЦРБ
|
[
Ответить ]
|
Re: На фоне остеопороза
Отправитель: Djoldas Kuldjanov 18 Январь 2005, 12:43
|
Сергей,
Биомеханические опыты показали - не всегда диаметр имеет значения в лечении синдесмозных повреждении, а также показали, что трехкортикальная (динамическая) фиксация синдесмоза двумя 3.5 мм шурупами не имеет преимущества перед фиксацией одним 4.5 мм шурупом (жестким) проведенной через оба кортекса тибиа.
Поэтому считаем, нецелосообразно применение больших диаметров спонгиозных шурупов через малоберцовую кость, а применение синдесмотических стяжек, из-за невозможности точного расчета длины после операции остается длинная медиальная часть, на отпиливание иногда теряется больше времени, чем на всю операцию. Также опасность чрезмерной натяжки в стяжке, который приведет к потере дорсального сгибания, в применении шурупной фиксации.
Biomechanical comparison of syndesmosis fixation with 3.5- and 4.5-millimeter stainless steel screws. Thompson MC, Gesink DS. Foot Ankle Int 2000 Sep;21(9):736-41
Overtightening of the Ankle Syndesmosis: Is It Really Possible? Paul Tornetta, III, MD et al. The Journal of Bone and Joint Surgery 83-A: 489 (2001)
Джолдас Кульджанов
|
[
Ответить ]
|
|
Re: На фоне остеопороза
Антон Андрианов 29 Январь 2005, 10:40
|
С подобным случаем приходилось сталкиваться у гормонозависимого пациента с 4 месячным подобным переломом после безуспешного лечения в аппарате Илизарова. Вальгусная стопа, остеопороз, диастаз в медиальной лодыжке. Произвел открытую репозицию мед лодыжки, синтез тяговым винтом 3.5 мм из титана, костную пластику спонгиозой, до 2 см куб из надлодыжечной зоны. Затем остеотомия по линии перелома малоберцовой кости узким долотом из 0.5 см доступа и ручная коррекция вальгуса . Блокирующий винт через обе кости. Остеосинтез по MIPO технологии пластиной 1-3 трубки. Внешней фиксации не применялось, перелом сросся за три месяца. Согласен с д-ром Кульжановым, без пластины в подобных случаях не обойтись.
|
[
Ответить ]
|
Re: На фоне остеопороза
Отправитель: Alexander Chelnokov 29 Январь 2005, 13:25
|
Делались ли сравнительные снимки, оба сустава в фас на одной пленке? Если с них сделать скиаграммы и наложить их, будет видно, удалось ли устранить наружный подвывих стопы.
Вообще-то начинать надо бы с восстановления длины малоберцовой кости. Вряд ли возможно сделать первой репозицию внутренней лодыжки точно, в таком сроке местных ориентиров нет. Соответственно, смещение внутренней лодыжки кнаружи только уменьшается, но не ликвидируется полностью. Тогда и таран из наружного подвывиха не удается полностью вывести.
|
[
Ответить ]
|
Re: На фоне остеопороза
Отправитель: Michael Berenstein 29 Январь 2005, 17:32
|
Уважаемые коллеги!
Совершенно согласен с др.Челноковым.
тарнная кость находится в латеральном подвывихе, что снижает шансы этого сустава.
Это видно по снимку - середина суставной поверхности тарана должна быть против середины суставной поверхности тибии. Причины, что это не так:
1. Внутренняя лодыжка не на месте
2. наружная лодыжка укорочена
3. Возможно есть компрессионный перелом наружной части пилона тибии.
В подобных случаях лучше всего начинать с главной цели - вправить таран, временно зафиксировать спицами и используя таран как шаблон поставить на место лодыжки, неважно в какой последовательности.
В данной ситуации я бы переделал или\и начал бы объснять пациенту что такое протезирование голеностопного сустава и артродез.
Наилучшие пожелания, удачи
Михаил Беренштейн
|
[
Ответить ]
|
Re: На фоне остеопороза
Отправитель: Aleksey V. Mozgounov 30 Январь 2005, 09:46
|
А нельзя посмотреть первичные снимки и снимки в аппарате?
--
Best regards,
~~~~~~~~~~~~~~~~~~~~~~~~~~~~~~~~~~~~~~~~~~~~~~
Aleksey V. Mozgounov, M.D., Ph.D.,
Department of Pediatric and Adolescents
Traumatology and Orthopaedics,
Research Centre of Tatarstan
"Rehabiltation Traumatology and Orthopaedics",
3, Gorky str., Kazan 420015, Russia
|
[
Ответить ]
|
|
( Ответить )
|
|