AOTRAUMA.ORG Центр Илизарова  

Ортопедия и травматология Общие вопросы/General questions Help Информационные технологии в медицине
 вверх
 отправить
 поиск
 админ
 главная
 Предыдущее


Re: На фоне остеопороза
Djoldas Kuldjanov 16 Январь 2005, 00:54





























Уважаемые коллеги,

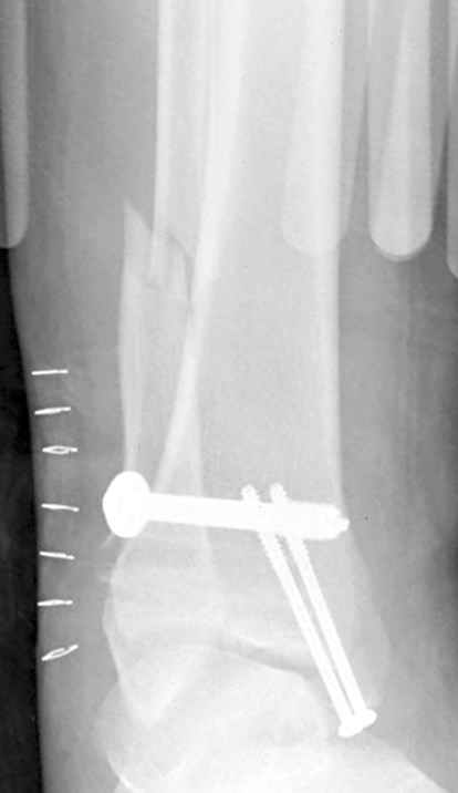
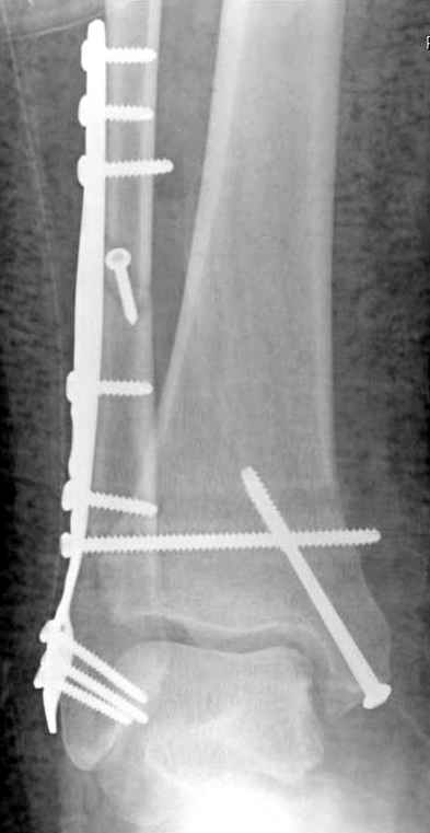
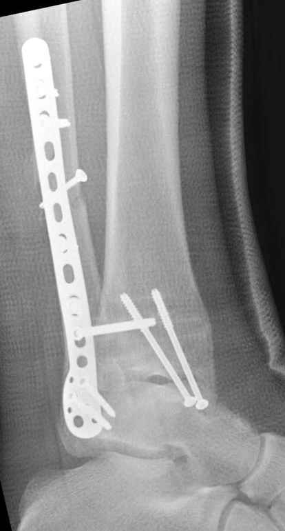
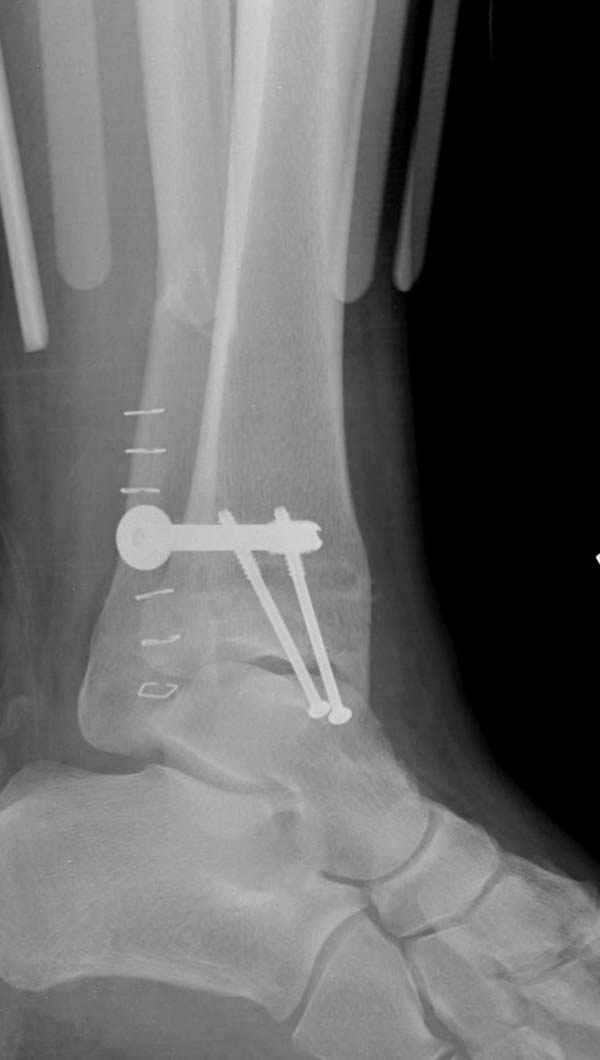
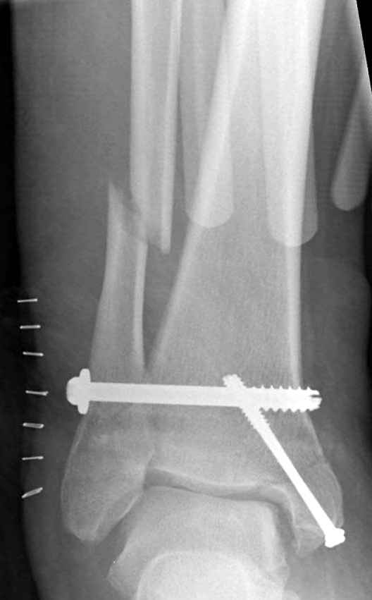
Если до сих ничего не сделано, с артродезом сустава в данный момент я бы повременил, на выставленных январских снимках хорошо сохранившийся сустав, а в "мортиз" (трехчетвертной) и на боковых снимках не менее 5 мм укорочение малоберцовой кости. Косые переломы лучше фиксировать пластинами, как то мы разбирали случай, где было отмечено, что это закон "таранная кость всегда следует за малоберцовой".

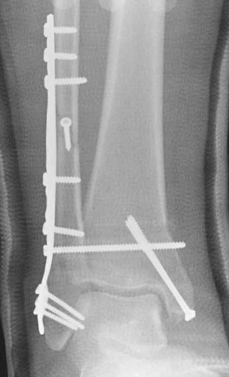
В данном случаи я бы уговорил больного на реконструкцию, для этого после удаления шурупов, спереди очистить от рубцов синдесмоз, несросшуюся наружную лодыжку - остеотомия по линии перелома и компрессирующий (lagging technique) кортикальный шуруп 3.5 мм по поперечнику остеотомии. Следующий этап - восстановление длины малоберцовой за счет удлинения, сделать поперечную остеотомию где-то на уровне сантиметр выше вашего синдесмозного шурупа, наложить длинную пластинку, прикрепить пластину за дистальный конец двумя или тремя шурупами; сохраняя контакт пластины с костью, имеющимся
compression&tension device AO system (при отсутствии любой lamina spreader подойдет, создать дистанцию между пластиной и шурупом, проведенным проксимальнее пластины) толкая проксимальный отдел пластины, низвести пластину, мортиз рентгенограмма подскажет на сколько. Если заранее сделать предоперационный план (ренгенограмма другой стороны), тогда точно можно определить, на сколько вам необходимо сделать поперечную остеотомию малоберцовой кости, для закрытия создавшегося дефекта.

Убедившись, что желаемая длина восстановлена, окончательная фиксация пластины, при этом через пластину пару 3.5 мм шурупов на синдесмоз, предпочтительно в четыре кортекса и оставить на 3 мм длиннее, если под нагрузкой синдесмотический шуруп сломается, сломанный конец легче удалить с медиальной стороны.

Медиальная сторона не в нагрузочной зоне, и там большая дыра - если есть 2.7 мм шурупы, или пару спиц в ваших условиях или методика Лазарева. Необходимо уделить внимание к мягким тканям, обнажается кость с латеральной стороны и у места где проводится остеотомия.

На послеоперационный период наложить на хорошо укутанную многими слоями ваты заднюю лонгету, и после удаления дренажа, на первой перевязке через два дня, больного можно перевести в сапожок, чтобы иметь возможность начать движения в суставе не менее 3-4 раз в день, нагрузку разрешить после убеждения, что ваша конструкция держится и идет сращение.

Недавний случай, больной 56 лет получил политравму в Англии, после переведен в США, где его успешно лечил местный ортопед, огромная статья в газете об успешной операции, своеобразный пиар, из-за того, что больной был американский пожарник на пенсии, и за его переезд было заплачено международным пожарным союзом, короче по другим показаниям перевели больного в наш университетский госпиталь.

После 5-6 недели после травмы сделана повторная операция, обошлись без удлинения малоберцовой.


Джолдас
  • Сообщения о Ортопедия и травматология
  • Также Djoldas Kuldjanov
  • Связаться с автором
  • Ответить

    Re: На фоне остеопороза
    Evgueny Tchekashkine 16 Январь 2005, 23:14
    Джолдас,

    Об удлинящей остеотомии малоберцовой кости не думал - спасибо за совет, при подходящем случае попробую.

    Всего Доброго,
    Евгений И Чекашкин
    [ Ответить ]

    Re: На фоне остеопороза
    Sergey Zyryanov 18 Январь 2005, 12:29
    Уважаемый Джолдас, вы рекомендуете стягивать берцовые кости двумя винтами 3,5 мм достаточно ли это?
    Мы стягиваем берцовые кости болтом стяжкой или спонгиозным винтом 6,5 мм.

    Сергей Зырянов
    НСО г.Куйбышев ЦРБ
    [ Ответить ]

    • Re: На фоне остеопороза
      Отправитель: Djoldas Kuldjanov 18 Январь 2005, 12:43
      Сергей,

      Биомеханические опыты показали - не всегда диаметр имеет значения в лечении синдесмозных повреждении, а также показали, что трехкортикальная (динамическая) фиксация синдесмоза двумя 3.5 мм шурупами не имеет преимущества перед фиксацией одним 4.5 мм шурупом (жестким) проведенной через оба кортекса тибиа.
      Поэтому считаем, нецелосообразно применение больших диаметров спонгиозных шурупов через малоберцовую кость, а применение синдесмотических стяжек, из-за невозможности точного расчета длины после операции остается длинная медиальная часть, на отпиливание иногда теряется больше времени, чем на всю операцию. Также опасность чрезмерной натяжки в стяжке, который приведет к потере дорсального сгибания, в применении шурупной фиксации.

      Biomechanical comparison of syndesmosis fixation with 3.5- and 4.5-millimeter stainless steel screws. Thompson MC, Gesink DS. Foot Ankle Int 2000 Sep;21(9):736-41
      Overtightening of the Ankle Syndesmosis: Is It Really Possible? Paul Tornetta, III, MD et al. The Journal of Bone and Joint Surgery 83-A: 489 (2001)

      Джолдас Кульджанов

      [ Ответить ]

     

    ( Ответить )

    Powered by Zope  Squishdot Powered MedLink
    Посетитель: 0362589
      "По форме правильно, а по существу - издевательство" В.И.Ленин
    ©2001-2019Orthoforum Coordinator.
    [ Главная | Отправить сообщение | Поиск | Админ ]