AOTRAUMA.ORG Центр Илизарова  

Ортопедия и травматология Общие вопросы/General questions Help Информационные технологии в медицине
 ВХОД ДЛЯ ПАЦИЕНТОВ
 вверх
 поиск
 админ
 главная
 исходное
 последующие


Re: Потекли блокирующие винты, после интрамедулярн
послал Alexander Chelnokov 18 Январь 2005, 18:27
Приветствую, Валентин,

Tuesday, January 18, 2005, 8:34:56 AM, you wrote:

В> Медио-латеральные вынты - мимо блокирующих отверстий фиксатора, вентро -
В> дорзальный винт - в отверстии.

То есть в дистальном отломке всего один запирающий винт. Маловато.

В> Проблемы с верхним дистальным медио-латеральным винтом - он в
В> линии перелома (перелом косой).

Делали без усилителя рентгеновского изображения?
Тогда итоговый снимок делать обязательно надо еще на столе, а то больного когда вывезли, вроде и надо бы вернуться и подправить - а уже стол занят, и следующему больному анестезию сделали...

В> О нестабильности говорить тяжело, поскольку фиксатор очень плотно
В> введен в и/м канал.

Если в проксимальный отломок стержень сел туго, это не мешает дистальному (широкому и короткому, раз дистальное отверстие уже на уровне перелома) быть нестабильным, особенно если он фиксирован лишь одним винтом.

В> Я планирую убрать блокирующие винты, сделать посев на а/б-чуств.,
В> поставить промывную систему.

На месте виднее, конечно, но если у передне-заднего винта спокойно, зачем его трогать? Соответственно, еще дистальнее - если там тихо, чего винт не провести? В общем, важнейшая задача сейчас - максимально стабилизировать отломки. Решать ее можно по-разному - переввести винты в отверстия, добавить poller-винты... Или, как Д. Кульджанов советует, использовать внешнюю иммобилизацию. Можно и наложить аппарат. Посев сделать - никогда не вредно, однако уповать на системную антибиотикотерапию при таком локальном процессе сильно не стоит.
Система орошения - гораздо эффективнее, не очень, правда, себе представляю, как ее здесь установить.

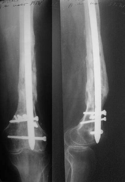
В 2002 г. была у нас больная с ложным суставом бедра и остеомиелитом (как оказалось), после удаления пластины. Гвоздь с блокированием.
Потекло через месяц - открылось 2 свища по старому рубцу от давно удаленной пластины. На фоне гноя раза три завинчивал обратно винты, которые вылезали латерально, прямо через свищ. Потом таки провел дополнительно винты мимо гвоздя, и убрал вверху статический винт. Острый гнойный процесс стих, свищи мыла она дома дважды в день водным хлоргексидином, ходила с возрастающей нагрузкой, а к 10 мес. и свищи закрылись, и срослось. Итоговые снимки от 18 апреля 2003 г. прилагаю.













Послать ответ

Имя
Email
Уведомление Сообщить мне по e-mail об ответах на это сообщение
Название
Комментарий
(Проверьте URL! Не забудьте написать http://!)
Кодировка
Если не знаете, что выбрать, выберите "Просто текст"!
Приложение
Можно приложить к сообщению файл c изображением, который затем будет доступен увидевшим сообщение.
Подготовка иллюстраций:
  • Рентгенограммы: черно-белые полутоновые изображения в формате JPEG (8 bit, greyscale) с разрешением от 300х200 до 1024х768 пикселов;
  • Клинические фотографии: полноцветные изображения в формате JPEG (24 bit, truecolor) с разрешением от 300х200 до 1024х768 пикселов;
  • Схемы и рисунки: черно-белые (2 bit) штриховые (line-art) изображения в формате GIF или compressed TIFF
  • Подберите степень сжатия файла JPEG и размер изображения таким образом, чтобы необходимые детали были различимы, но размер файла не превышал 75 кб.
  • Учтите, что текущая версия программного обеспечения Форума позволяет приложить к одному сообщению лишь один файл-вложение. Поэтому, если необходимо отправить несколько изображений, можно либо послать каждое как отдельное сообщение, либо в графическом редакторе объединить изображения в одно (сделать коллаж).
  • Если при подготовке изображений встречаются трудности, не стесняйтесь обратиться к координатору Форума.

  • Введите видимые символы в обратном порядке. Enter the above characters in reverse order (*Обязательно)
    В тексте сообщения можно использовать теги HTML <B> <I> <P> <A> <LI> <OL> <UL> <EM> <BR> <TT> <HR> <STRONG> <BLOCKQUOTE> <DIV .*> <DIV> <P .*>
  • Обратите внимание: Поля с жирными названиями обязательны.
  • Старайтесь отвечать в рамках обсуждаемой темы, а не начинать новые обсуждения.
  • Указывайте адекватную тему сообщения, чтобы было ясно, о чем оно.
  • Не послайте сообщений не по теме (оффтопик), раздраженных, грубых или обидных комментариев. Здесь это неуместно.
  • Powered by Zope  Squishdot Powered MedLink
    Посетитель: 0110812
      "По форме правильно, а по существу - издевательство" В.И.Ленин
    ©2001-2019Orthoforum Coordinator.
    [ Главная | Отправить сообщение | Поиск | Админ ]