AOTRAUMA.ORG Центр Илизарова  

Ортопедия и травматология Общие вопросы/General questions Help Информационные технологии в медицине
 вверх
 отправить
 поиск
 админ
 главная


Потекли блокирующие винты после интрамедулярного остеосинтеза, что делать?
Ортопедия и травматология Отправлено Валентин 17 Январь 2005, 03:15
Уважаемые колеги!Представляю Вашему вниманию такой случай:З/перелом обеих костей голени на границе с/3 и н/3, блокирующий интрамедулярный остеосинтез фиксатором Сhm, через три месяца после операции в области блокирующих винтов появилась гиперемия, припухлость, боли.
Пункция- "мутная" гематома. Гематома роскрыта, перевязки на протяжении 3-х недель - рана не закрывается.Что делать?Если убрать винты - какой риск возникновения тотального остеомиелита при попадании инфекции в и/м - канал?

<  |  >

 

  • Сообщения о Ортопедия и травматология
  • Также Валентин
  • Связаться с автором
  • Ответить

    Re: Потекли блокирующие винты, после интрамедулярного остеосинтеза, что делать?
    Матвеев Родион 17 Январь 2005, 10:48
    Здравствуйте, Валентин. А какая разница какими винтами у Вас в клинике делали остеосинтез, ChM или любой другой фирмы, может это зависит от компетенции врача или степени сложности травмы.



    --
    С уважением,Матвеев Родион
    НПО "Деост" (095)798-97-00
    www.deost.ru (0967)73-59-73
    mailto:rodion@deost.ru
    [ Ответить ]

    Re: Потекли блокирующие винты, после интрамедулярн
    Alexander Chelnokov 17 Январь 2005, 12:28
    В> интрамедулярный остеосинтез фиксатором Сhm,

    Канальным или сплошным?

    В> через три месяца после операции в области блокирующих винтов
    В> появилась гиперемия, припухлость, боли.Пункция- "мутная" гематома.

    Винтов каких - вверху, внизу? Сколько там винтов? Снимков нет.

    В> Гематома роскрыта, перевязки на протяжении 3-х недель - рана не
    В> закрывается. Что делать?

    В первую очередь искать нестабильность.

    В> Если убрать винты - какой риск возникновения тотального
    В> остеомиелита при попадании инфекции в и/м - канал?

    Попадание уже есть, распространения надо опасаться а оно при нестабильности более вероятно. Так что первым дело лучше бы стабилизировать фиксатор - ввести запирающие винты во все отверстия, и блокрующие мимо гвоздя, если этого мало. Тогда больше шансов на отграничениек процесса. Без снимков не сориентироваться. Если нет подозрения на инфицирование зоны перелома, то желательно продержаться до сращения.
    [ Ответить ]

    • Re: Потекли блокирующие винты, после интрамедулярн
      Отправитель: Валентин 18 Январь 2005, 01:29
      Уважаемый Александр!
      Спасибо за ответ!
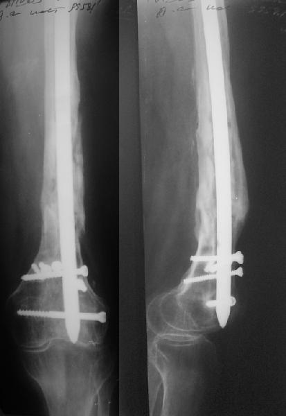
      Потекли дистальные винты!
      В дистальном отломке три винта( два медио-латеральных и один вентро-дорзальный).
      Медио-латеральные вынты - мимо блокирующих отверстий фиксатора, вентро -
      дорзальный винт - в отверстии.
      Проблемы с верхним дистальным медио - латеральным винтом - он в линии перелома (
      перелом косой).
      О нестабильности говорить тяжело, поскольку фиксатор очень плотно введен в и/м -
      канал.
      Я планирую убрать блокирующие винты, сделать посев на а/б-чуств., поставить
      промывную систему.




      [ Ответить ]
      • Re: Потекли блокирующие винты, после интрамедулярн
        Отправитель: Alexander Chelnokov 18 Январь 2005, 18:27
        Приветствую, Валентин,

        Tuesday, January 18, 2005, 8:34:56 AM, you wrote:

        В> Медио-латеральные вынты - мимо блокирующих отверстий фиксатора, вентро -
        В> дорзальный винт - в отверстии.

        То есть в дистальном отломке всего один запирающий винт. Маловато.

        В> Проблемы с верхним дистальным медио-латеральным винтом - он в
        В> линии перелома (перелом косой).

        Делали без усилителя рентгеновского изображения?
        Тогда итоговый снимок делать обязательно надо еще на столе, а то больного когда вывезли, вроде и надо бы вернуться и подправить - а уже стол занят, и следующему больному анестезию сделали...

        В> О нестабильности говорить тяжело, поскольку фиксатор очень плотно
        В> введен в и/м канал.

        Если в проксимальный отломок стержень сел туго, это не мешает дистальному (широкому и короткому, раз дистальное отверстие уже на уровне перелома) быть нестабильным, особенно если он фиксирован лишь одним винтом.

        В> Я планирую убрать блокирующие винты, сделать посев на а/б-чуств.,
        В> поставить промывную систему.

        На месте виднее, конечно, но если у передне-заднего винта спокойно, зачем его трогать? Соответственно, еще дистальнее - если там тихо, чего винт не провести? В общем, важнейшая задача сейчас - максимально стабилизировать отломки. Решать ее можно по-разному - переввести винты в отверстия, добавить poller-винты... Или, как Д. Кульджанов советует, использовать внешнюю иммобилизацию. Можно и наложить аппарат. Посев сделать - никогда не вредно, однако уповать на системную антибиотикотерапию при таком локальном процессе сильно не стоит.
        Система орошения - гораздо эффективнее, не очень, правда, себе представляю, как ее здесь установить.

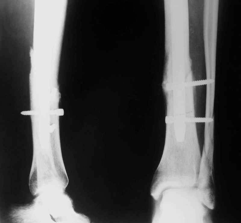
        В 2002 г. была у нас больная с ложным суставом бедра и остеомиелитом (как оказалось), после удаления пластины. Гвоздь с блокированием.
        Потекло через месяц - открылось 2 свища по старому рубцу от давно удаленной пластины. На фоне гноя раза три завинчивал обратно винты, которые вылезали латерально, прямо через свищ. Потом таки провел дополнительно винты мимо гвоздя, и убрал вверху статический винт. Острый гнойный процесс стих, свищи мыла она дома дважды в день водным хлоргексидином, ходила с возрастающей нагрузкой, а к 10 мес. и свищи закрылись, и срослось. Итоговые снимки от 18 апреля 2003 г. прилагаю.














        [ Ответить ]
        • Re: Потекли блокирующие винты, после интрамедулярн
          Отправитель: Пионтковский Валентин 19 Январь 2005, 02:28
          Здравствуйте Александр!
          Спасобо за прекрасные советы и примеры!
          Попробую убрать проблемный винт и воспользоваться скотч - кастовым гипсом. А уже после заживления раны буду определятся со стабилизацией фиксатора.
          При первой же возможности вышлю снимки.
          Еще раз огромное спасибо!!!!!!!!!

          [ Ответить ]
          • Re: Потекли блокирующие винты, после интрамедулярн
            Отправитель: Alexander Chelnokov 19 Январь 2005, 17:28
            ПВ> убрать проблемный винт и воспользоваться скотч - кастовым гипсом.

            В подобной ситуации, по-моему, скотч-каст никаких особых преимуществ перед обычным гипсом не имеет.

            ПВ> А уже после заживления раны буду определятся со стабилизацией
            ПВ> фиксатора

            Если заживет - это, может, уже и не так нужно будет. Я бы исходил из того, что стабилизация - основное условие заживления.

            [ Ответить ]
            • Re: Потекли блокирующие винты, после интрамедулярн
              Отправитель: Пионтковский Валентин 20 Январь 2005, 02:21
              Рентгенограмы



















              [ Ответить ]
              • Re: Потекли блокирующие винты, после интрамедулярн
                Отправитель: Alexander Chelnokov 20 Январь 2005, 06:43
                Этот Файл размером 0 Kb, попробуйте перепослать.
                По поводу остальных - вспышкой пользоваться при съемке с негатоскопа не нужно.

                [ Ответить ]
                • Re: Потекли блокирующие винты, после интрамедулярн
                  Отправитель: Пионтковский Валентин 21 Январь 2005, 02:20
                  Не удается отправить первичные снимки. А что скажите по имеющимся?!

                  [ Ответить ]
                  • Re: Потекли блокирующие винты, после интрамедулярн
                    Отправитель: А. Миронов 21 Январь 2005, 20:49
                    Уважаемый Валентин!

                    Выполненный остосинтез нестабилен. Штифт надо заменить по "размеру" на солидный, дистльно три запирающих винта. Успехов!

                    С уважением А.Миронов

                    [ Ответить ]
                  • Re: Потекли блокирующие винты, после интрамедулярн
                    Отправитель: Alexander Chelnokov 21 Январь 2005, 21:31
                    Перелом спиральный, то есть низкоэнергетический, так что со сращением дело обстоит уже неплохо, лишь бы "костоеда" не развилась. Отломки выглядят уже стабилизированными костной мозолью, так что довводить винты, наверно, уже незачем. Разве что при клинической оценке подвижность еще есть - тогда можно для стабилизации наложить простейший аппарат, не опасаясь контакта его элементов с гвоздем, поскольку места в дистальном метафизе оставлено более чем достаточно.

                    [ Ответить ]
                    • Re: Потекли блокирующие винты, после интрамедулярн
                      Отправитель: Djoldas Kuldjanov, M.D. 21 Январь 2005, 23:48
                      С Александром согласен, нет необходимости делать дополнительные усилия для сращения, не большая компрессия аппаратом из двух колец и полная нагрузка доделает работу.

                      Джолдас Кульджанов


                      [ Ответить ]
                      • Re: Потекли блокирующие винты, после интрамедулярн
                        Отправитель: А.Миронов 23 Январь 2005, 11:48
                        Потекли блокирующие винты.
                        Удалять их всё равно придётся.
                        Уже имеется какое-то сращение. А в этих условиях выполнить реостеосинтез гвоздём не дольше, чем "накинуть" аппарат из двух колец. Ходить можно сразу с полной нагрузкой, да и качество жизни пациента без аппарата лучше.

                        С уважением А. Миронов

                        [ Ответить ]
    • Re: Потекли блокирующие винты, после интрамедулярн
      Отправитель: Валентин 18 Январь 2005, 01:31
      Фиксатор канюлированый.




      [ Ответить ]
    Re: Потекли блокирующие винты после интрамедулярно
    Djoldas Kuldjanov 18 Январь 2005, 09:01
    Что за ChM фиксатор? А то без снимков приходится гадать. Места блокирующих винтов могут инфицироваться при случае:
    1.за счет нестабильности в блокирующем винте
    2.длинный, раздражающий мягкие ткани винт
    3.технические трудности в момент блокировки, многократность сверления
    и введения винтов (обычно в дистальных винтах)
    4.большая диаметром дыра, которая не держит винт
    5.близость открытой раны

    Все перечисленные факторы приводят к нестабильности и могут привести к инфицированному ложному суставу или к остеомиелиту, поэтому рекомендуется удаление винта в операционной, с хорошим промыванием и кюретажем кости, профилактика антибиотиком, гипс или лонгету,
    воздержание от нагрузки до заживления раны. Рентгенограммы без гипса подскажут тактику дальнейшого лечения.

    Джолдас Кульджанов
    [ Ответить ]

    • Re: Потекли блокирующие винты после интрамедулярно
      Отправитель: Пионтковский Валентин 19 Январь 2005, 01:40
      Уважаемый Джолдас Кульджанов!
      Огромное спасибо за консультацию!
      Все перечисленные Вами пункты есть в даном случае.
      При первой же возможности - вышлю рентгенограмы(временно отсуцтвует ц.фотоаппарат).
      В даном случае я поступлю так как вы посоветовали, поскольку имею такое же мнение. О результатах лечения сообщу.
      Chm - польская фирма (Charkevich M.- директор фирмы). На польском рынке они работают около 20 лет. Лет 4-5 работают со странами СНГ.
      О самих фиксаторах Вам больше расскажет господин Челноков из Екатеринбурга - он их ставит уже давно.

      С ув. Пионтковский Валентин, Украина, г.Хмельницкий.








      [ Ответить ]
      • Re: Потекли блокирующие винты после интрамедулярно
        Отправитель: Alexander Chelnokov 19 Январь 2005, 10:53
        Есть много коллег из Москвы, Уфы и других регионов, кто с ними работает гораздо "давнее". У нас сделано только десятка два реконструкционных гвоздей ChM - впечатление хорошее. Что отрадно, при однотипном качестве заметно доступнее аналогов от Smith & Nephew, DePuy, Synthes и т.д.
        Увы, "фирменность" фиксатора сама по себе не гарантирует от технических ошибок и создаваемых ими проблем.

        [ Ответить ]
    Re: Потекли блокирующие винты после интрамедулярно
    Alexander Angelsky 05 Февраль 2005, 21:55
    Безусловное удаление винтов, и скорее всего штифта. Риск возникновения " канального" остеомиелита достаточно высок. Возникновение воспалительного процесса в области винтов с образованием гноя, ведет с стеканию его по металлу и распространению по всей длине расположения блокирующего гвоздя. Без удаления металлоконструкций чаще всего антибактериальная и противовоспалительная терапия не помогает.
    [ Ответить ]

    • Re: Потекли блокирующие винты после интрамедулярно
      Отправитель: Alexander Chelnokov 06 Февраль 2005, 10:12
      Саша, с твоим огромным опытом в гнойной ортопедии - какие подходы наиболее эффективны при уже развившемся канальном остеомиелите?

      [ Ответить ]
      • Re: Потекли блокирующие винты после интрамедулярно
        Отправитель: Александр Ангельский 27 Февраль 2005, 15:03
        Естесственно возникает вопрос: гематогенный или посттравматический? Если гематогенный, то полная трепанация по всему протяжению к\мозгового канала. Если посттравматический, то в зависимости от сросшегося на штифте или несросшегося перелома тактика безусловно разная. Вообще сейчас канальный посттравматический остеомиелит достаточно большая редкость. Все увлекаются "пластинизацией" переломов.Привожу пример тактического решения при наличии внутрикостного гвоздя(штифта и т.д.).При его отсутствии надо убрать в решении задачи этап "удаляем штифт". Если перелом не сросся: Удаляем штифт, заходим на уровень перелома проводим: остеонекрэктомию, секвестрэктомию, резекцию отломков, резекцию ложного сустава (см.что необходимо). Затем обработка каждого из отломков по каналу. Фрезы, ерши, ложки на длинных ручках и т.п. Далее дренирование каждого отломка и межотломкового промежутка. Фиксация вытяжением или гипсом, в зависимости от состояния больного. Аппарат Илизарова, на этом этапе, при всех его достоинствах, по нашему мнению, не желателен.
        В случае сросшегося перелома убрать штифт, остеонекрэктомия по ходу к\мозгового канала, дренирование по ходу к\мозгового канала. Фиксация конечности минимальная. При сросшемся переломе после удаления дренажей могут оставаться отдельные гнойные очаги, но их уже необходимо будет "громить" по отдельности.
        До встречи! С уважением Alexander Angelsky

        [ Ответить ]

     

    ( Ответить )

    Powered by Zope  Squishdot Powered MedLink
    Посетитель: 0106339
      "По форме правильно, а по существу - издевательство" В.И.Ленин
    ©2001-2019Orthoforum Coordinator.
    [ Главная | Отправить сообщение | Поиск | Админ ]