ВХОД ДЛЯ ПАЦИЕНТОВ
вверх
поиск
админ
главная
исходное
последующие
|
Re: псевдоартроз
послал Andre Pakh 01 Май 2005, 22:19
|
Трогательная ирония ;)
AVM>Прочитал все сообщение и не совсем понял - это ? или case report?
Если есть конечный результат - это case report или ?
Кроме того в тексте знаков вопроса не стояло :)
AVM> 12 лет... начал искать зону роста... вроде бы помню как они выглядят в
AVM> А в этом возрасте это важно...
Сроки лечения не стоит забывать
AVM> Так когда же была травма?
Примерные сроки лечения в исходном тексте
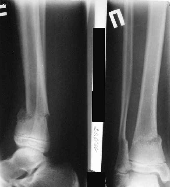
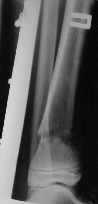
A>> Перелом костей н\3 правой голени со смещением.
AVM> Это от 13.10.04? А это близкие к первичным снимки?
Не смешно :) Зачем я о месяцах лечения писал?
AVM> Есть один осколок... Ма-аленький такой... Но из-за этого стоит ли весь
Есть даже тень периостальной костной мозоли и сросшийся перелом
малоберцовой кости.
(skipped....)
Речь шла о ложных суставах. Анамнез болезни изложил для
полноты картины.
A>> Скелетное вытяжение за пяточную кость.
A>> В первые сутки значительный отек с\3, н\3голени, стопы с развитием
A>> практически неуловимого в нашей стране ;) компартмент синдрома
A>> (фасциотомии не проводилось),
AVM> А вы как уловили? По развившемуся некрозу кожи?
Вы правы. Я недолжен был утвеждать.
Но учитывал развившуюся на фоне отека нейропатию
малоберцового нерва, положительная динамика в лечении которой
была отмечена через несколько месяцев, быстро развившийся и
длительно сохранявшийся остеопороз костей стопы, сложилось мнение.
Некроз кожи к компартмент синдрому не отношу.
AVM> А на вытяжении и в гипсповязке в течение 4 мес варуса видно не было?
AVM> Чего было ждать?
Деформация появилась и наростала во времени при фиксации в гипсовых повязках.
Были сложности с режимом и лечением( я не зря указал статус ребенка и снижение
его интеллекта), просто не стал вдаваться в лирические отступления.
A>> Спицы удалены через 1,5 недели после операции.
A>> Особого смысла в них не было.
AVM> Не было. Можно было, если особенно хотелось, провести одну
AVM> интрамедулярно...
Но только смысла не имело. Подвижности небыло. Рубцы хорошо держат.
A>> :), разрабатывает движения в г\стопном суставе.
AVM> А каково у него укорочение голени?
В пределах 2 см.
Не катастрофа. Рост продолжается, будем следить в динамике.
AVM> А резюмируя все...
AVM> Не было, по всей видимости, никаких "недочетов по укладке на скелетном
AVM> вытяжении",
Вы мне не верите :( Это больше касалось проблем с кожей.
AVM> а был у больного перелом дистального метафиза большеберцовой с чисто
AVM> варусным смещением на фоне пластической деформации малоберцовой на том
AVM> же уровне и того же характера.
Это конечно дело жизненного опыта, но травматических пластичеких деформаций у
подростков я не встречал. Тем более с такой дугой и на этом
уровне.
Это сросшийся перелом малоберцовой кости. И ложный сустав
н\3 б\берцовой кости.
AVM> Надо было в приемном покое отрепонировать больного и
AVM> зафиксировать б/б кость спицами крест-накрест (не обязательно двумя...
AVM> можно и 3... можно и 4... больше не нужно...)
AVM> Развился бы потом некроз по задней поверхности? Ну и бог с ним, вылечили
AVM> бы как и вылечили в итоге конечном...
Вы правы. Но в приемном отделении было наложено скелетное
вытяжение, хотя фиксация спицами при поступлении уберегла бы нас от осложнений в
виде некроза кожи.
Так как речь зашла непосредственно о травме, см этапные
снимки. Как все было
AVM> Парт ту...
(экспрессия :)
 Первичные
|
 Вытяжение
|
 Вытяжение
|
 Фиксация
|
 в гипсе
|
 Промежуточный
|
|
| Послать ответ |
Обратите внимание: Поля с жирными названиями обязательны.
Старайтесь отвечать в рамках обсуждаемой темы, а не начинать новые обсуждения.
Указывайте адекватную тему сообщения, чтобы было ясно, о чем оно.
Не послайте сообщений не по теме (оффтопик), раздраженных, грубых или обидных комментариев. Здесь это неуместно.
|