AOTRAUMA.ORG Центр Илизарова  

Ортопедия и травматология Общие вопросы/General questions Help Информационные технологии в медицине
 ВХОД ДЛЯ ПАЦИЕНТОВ
 вверх
 поиск
 админ
 главная
 исходное


Re: псевдоартроз
послал Andre Pakh 18 Апрель 2005, 01:35
Может не совсем в тему.
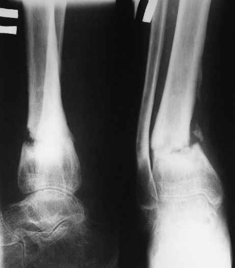
Ребенок 12 лет, поступил после падения с высоты примерно 2,5м.
(К сожалению первичных снимков не нашел)
Перелом костей н\3 правой голени со смещением. Перелом большеберцовой кости можно охарактеризовать как компрессионно-оскольчатый.
Скелетное вытяжение за пяточную кость.
В первые сутки значительный отек с\3, н\3голени, стопы с развитием практически неуловимого в нашей стране ;) компартмент синдрома (фасциотомии не проводилось), недочеты по укладке на скелетном
вытяжении.
Формирование некроза кожи по задней поверхности н\3 голени~ 1 %, вторичное заживление, кожная пластика. Нейропатия м\берцового нерва (отсутствие активного разгибания 1 пальца) На вытяжении около 8 нед, в дальнейшем в гипсовых повязках ~ 8 мес.
Положение осложнялось казенным положением ребенка (д\дом) и легкой степенью дебильности.
В январе 2005: варусная деформация н\3 голени, болевой с-м, комбинированная контрактура г\стопного сустава, нейропатия м\берцового нерва сохраняется слабость разгибания 1 пальца.
Операции: 1 Клиновидная резекция на вершине деформации м\берцовой кости.
2 Тугоподвижный ложный сустав н\3 б\берцовой кости. Рубцы выполняющие пространство между отломками, канал проксимального отломка иссечены.
Одномоментное устранение деформации, остеосинтез Г-образной пластиной.
Пластика по Хахутову.
Заживление проксимальной части раны вторичным натяжением без нагноения. Рана зажила. Спицы удалены через 1,5 недели после операции.
Особого смысла в них не было.
Учитывая фон (интеллект, etc) гипсовая повязка.
На данный момент ходит при помощи костыля (без присмотра -без костыля :), разрабатывает движения в г\стопном суставе.



















Послать ответ

Имя
Email
Уведомление Сообщить мне по e-mail об ответах на это сообщение
Название
Комментарий
(Проверьте URL! Не забудьте написать http://!)
Кодировка
Если не знаете, что выбрать, выберите "Просто текст"!
Приложение
Можно приложить к сообщению файл c изображением, который затем будет доступен увидевшим сообщение.
Подготовка иллюстраций:
  • Рентгенограммы: черно-белые полутоновые изображения в формате JPEG (8 bit, greyscale) с разрешением от 300х200 до 1024х768 пикселов;
  • Клинические фотографии: полноцветные изображения в формате JPEG (24 bit, truecolor) с разрешением от 300х200 до 1024х768 пикселов;
  • Схемы и рисунки: черно-белые (2 bit) штриховые (line-art) изображения в формате GIF или compressed TIFF
  • Подберите степень сжатия файла JPEG и размер изображения таким образом, чтобы необходимые детали были различимы, но размер файла не превышал 75 кб.
  • Учтите, что текущая версия программного обеспечения Форума позволяет приложить к одному сообщению лишь один файл-вложение. Поэтому, если необходимо отправить несколько изображений, можно либо послать каждое как отдельное сообщение, либо в графическом редакторе объединить изображения в одно (сделать коллаж).
  • Если при подготовке изображений встречаются трудности, не стесняйтесь обратиться к координатору Форума.

  • Введите видимые символы в обратном порядке. Enter the above characters in reverse order (*Обязательно)
    В тексте сообщения можно использовать теги HTML <B> <I> <P> <A> <LI> <OL> <UL> <EM> <BR> <TT> <HR> <STRONG> <BLOCKQUOTE> <DIV .*> <DIV> <P .*>
  • Обратите внимание: Поля с жирными названиями обязательны.
  • Старайтесь отвечать в рамках обсуждаемой темы, а не начинать новые обсуждения.
  • Указывайте адекватную тему сообщения, чтобы было ясно, о чем оно.
  • Не послайте сообщений не по теме (оффтопик), раздраженных, грубых или обидных комментариев. Здесь это неуместно.
  • Powered by Zope  Squishdot Powered MedLink
    Посетитель: 0000201
      "По форме правильно, а по существу - издевательство" В.И.Ленин
    ©2001-2019Orthoforum Coordinator.
    [ Главная | Отправить сообщение | Поиск | Админ ]