AOTRAUMA.ORG Центр Илизарова  

Ортопедия и травматология Общие вопросы/General questions Help Информационные технологии в медицине
 вверх
 отправить
 поиск
 админ
 главная
 Предыдущее


Re: Застарелый вывих бедра (7 мес)
Иван Марков 16 Май 2005, 12:13
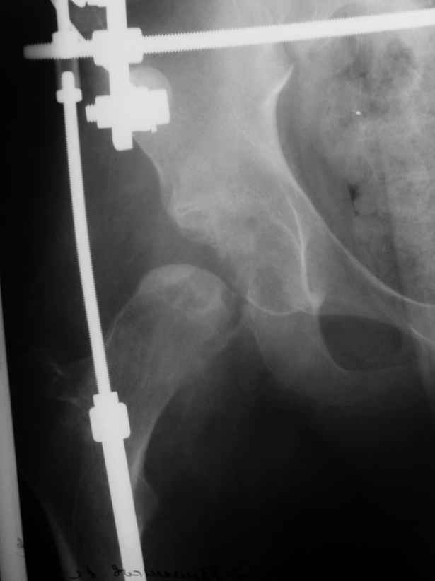
Уважаемые коллеги! Две недели назади мы прооперировали данного пациента: монтаж аппарата таз-бедро (с двусторонней фиксацией за крылья) и постепенная дистракция. Достигнуто низведение бедра.
планируется открытое вправление вывиха с удалением интерпонированных тканей.







  • Сообщения о Ортопедия и травматология
  • Также Иван Марков
  • Связаться с автором
  • Ответить

    Re: Застарелый вывих бедра (7 мес)
    Alexey Mozgounov 17 Май 2005, 01:31
    Dear Иван,

    И кончится все костно-фиброзным анкилозом...
    К сожалнению...
    Или я не прав???
    :-)
    В любом случае покажите отдаленные результатыв, ежели не затруднит...

    --
    Best regards,
    [ Ответить ]


    ( Ответить )

    Powered by Zope  Squishdot Powered MedLink
    Посетитель: 0132014
      "По форме правильно, а по существу - издевательство" В.И.Ленин
    ©2001-2019Orthoforum Coordinator.
    [ Главная | Отправить сообщение | Поиск | Админ ]